Resumen: Una masa pulsátil en el triángulo posterior del cuello puede inducir preocupación cuando crece y comienza a molestar. Se presenta caso de mujer joven, que consulta por dicho motivo, en la que se identifica una arteria subclavia verticalizada por coexistencia con costilla cervical. Al ser, por el momento, asintomática únicamente requirió una actitud preventiva, además de un seguimiento evolutivo ante la posibilidad del desarrollo de un cuadro compresivo por el síndrome del desfiladero torácico y/o un aneurisma arterial.
Palabras clave:costilla cervicalcostilla cervical,arteria subclaviaarteria subclavia,síndrome del desfiladero torácicosíndrome del desfiladero torácico.
Abstract: A throbbing mass in the rear triangle of the neck can be of concern when it grows and begins to disturb. There is a case of a young woman, who consults for this reason, in which a verticalized subclavian artery is identified by cervical rib. Being, for the time being, asymptomatic only required a preventive attitude, in addition to an evolutionary follow-up to the possibility of the development of a compression picture by thoracic gorge syndrome and/ or an arterial aneurysm.
Keywords: cervical rib, subclavian artery, thoracic outlet syndrome.
Casos Clínicos
Masa pulsátil en el cuello: arteria subclavia sobre costilla cervical
Throbbing mass in the neck: subclavian artery on the cervical rib
Recepción: 09 Enero 2021
Aprobación: 17 Febrero 2021
Es importante familiarizarse con algunas malformaciones óseas como la costilla cervical, anomalía costal más frecuente, que puede inducir cambios de conformación en el cuello. Aunque lo habitual es que sea asintomática y un hallazgo casual radiológico, puede producir masas induradas además de otros síntomas (1,2,3). Una masa pulsátil es una forma poco usual de presentación (4,5,6), lo que es de cardinal importancia identificar para prevenir complicaciones potencialmente graves (7).
El diagnóstico diferencial incluye una malformación vascular, un tumor del cuerpo carotídeo o un desarrollo aneurismático. Se descartan quistes, linfangiomas, adenopatías y/o lipomas por no concordancia en las características del propio tumor o por la localización anatómica cervical (8).
Se presenta el caso de paciente joven que consulta por masa pulsátil molesta en el cuello a la que se identifica la arteria subclavia izquierda verticalizada por costilla cervical. La actitud generada es la instrucción sobre hábitos de vida para evitar la consecución del síndrome del desfiladero torácico (9,10). Además, se efectúa seguimiento reglado, por nuestra parte, para detección de un posible desarrollo aneurismático en el tiempo (7).
Mujer de 24 años, con buen estado general, que acude a la consulta de Atención Primaria (AP) por una masa en cuello, que refiere tener de toda la vida, pero nota más voluminosa desde hace unos meses, late y molesta, sin síncopes ni mareos asociados. No se reseñan antecedentes personales ni familiares de interés.
En la exploración se evidencia una masa pulsátil a nivel supraclavicular izquierdo, en triángulo posterior cervical, con un aspecto de ambas extremidades (desarrollo muscular, color, temperatura y distribución de vello y faneras) uniforme. Para comprobar la integridad del flujo vascular de la extremidad se efectúan las maniobras de Adson (persiste pulso radial con la abducción del brazo y la rotación lateral del cuello hacia el lado explorado) y de Wright (abducción de la extremidad hasta los 180 º en rotación externa) que fueron negativas; la tensión arterial bilateral, la auscultación y el electrocardiograma también fueron normales. (Figura 1)

En la misma consulta se realiza una ecografía con ecógrafo de bolsillo y sonda de alta frecuencia (7,5 MHz): se observa flujo turbulento bicolor al aplicar el Doppler, con formaciones irregulares rodeando luz (Figura 2).

Se plantea diagnóstico diferencial con paraganglio-ma carotídeo, aneurisma o malformación vascular, por lo que se solicita ecografía reglada de troncos supraaórticos e interconsulta a cirugía vascular, apuntando sospecha de paraganglioma.
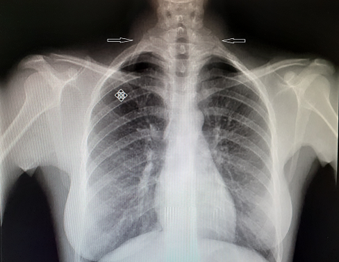
Además, se continúa estudio con radiografía de tórax, en la que se observa un pulmón sin cambios agudos, y una analítica, con perfil general de reconocimiento, con resultados dentro de la normalidad.
La paciente acude de nuevo a consulta con preocupación por latido persistente en cuello, el cual es posible evidenciar por simple observación externa. Se realiza nuevo ecodoppler visualizando un intenso flujo bicolor en arteria dilatada. Ante la posibilidad de tratarse de un desarrollo aneurismático se deriva a urgencias hospitalarias.
Ya en el hospital el Servicio de Radiología emite un primer diagnóstico, tras ecografía de cuello, apuntando una malformación vascular venosa supraclavicular izquierda que fue seguida de una Resonancia Magnética (RM) en el mismo día, con diagnóstico radiológico de cadena de ganglios cervicales y supraclaviculares de morfología reactiva.
La exploración se completa unos días más tarde en el Servicio de Cirugía vascular. La Angiotomografia de troncos supraaórticos descarta patología urgente.
Tras alta, y conclusión dada por Radiología, efectuamos, una segunda analítica en la que añadimos biomarcadores de fase aguda, b2 microglobulina y quantiferón, para descartar linfoma, tuberculosis u otros tipos de patología tumoral o infecciosa. El resultado fue normal en todos los casos.
Posteriormente, llegada la cita, el Servicio de Radiología realiza un ecodoppler de troncos supraórticos y revisa placa de tórax, donde observa costilla cervical bilateral (Figura 3). Al realizar el estudio ecográfico dirigido al hueco supraclavicular izquierdo se identifica una arteria subclavia izquierda posterior a la primera costilla cervical, discretamente más dilatada que la derecha, pero sin imágenes aneurismáticas ni signos de complicaciones vasculares. Se trata de una variante anatómica sin significación clínica en la actualidad, pero de la que conviene conocer su existencia ya que a lo largo del tiempo podría presentar sintomatología asociada al síndrome del desfiladero torácico por compresión del plexo braquial, vena o arteria subclavias.

Por último, se hace una derivación a Cirugía torácica, que no plantea ningún tipo de intervención en la paciente, por el momento, asintomática.
De nuevo en consulta de AP se instruye a la paciente en hábitos de vida, con especial prevención en evitar movimientos repetitivos de la extremidad en hiperabducción y levantando pesos. Se plantea seguimiento reglado para control evolutivo de masa pulsátil, así como aparición de sintomatología que requeriría nueva derivación para una posible descompresión inmediata.
Mayoritariamente asintomática y descubierta de modo casual, suele ser bilateral y asimétrica hasta en el 50% de los casos, tanto como rudimento o completa. Cuando es única está en el lado izquierdo. Sólo en el 10% genera dolor o masa indurada en cuello (1,2,3); son menos los casos en los que se manifiesta como masa pulsátil por desplazamiento de la arteria subclavia (4,5,6)o por formación de un aneurisma postestenótico (7) cuando concurre con una costilla completa (1,5,8). (Nuestra paciente presenta costilla completa izquierda e incompleta derecha).
Existe una clasificación en 4 grupos (Gruber): 1/ se extienda más allá de la apófisis transversa, 2/casi toca la primera costilla, 3/se une a ella a través de bandas fibrosas o cartilaginosas, 4/la fusión es completa (8); posteriormente ampliada por Blanchard (9), pero finalmente simplificada en dos grupos: parcial o completa (tipo 4 de Gruber) (10).
En las formas completas la tendencia, durante el desarrollo, es a fusionarse con la 1ª costilla o con la apósifis transversa C7 (apofisomegalia); las incompletas terminan libremente en los tejidos blandos del cuello.
Las costillas cervicales se desarrollan al final de 4º mes, durante la embriogénesis, en relación con una mutación del gen HOX. Las anomalías en la expresión del gen HOX también se han relacionado con la oncogénesis (5) y la mortalidad fetal: presentan mayor prevalencia en fetos nacidos muertos con respecto a los nacidos vivos, lo que ha sugerido una actuación como marcadoras de eventos desventajosos durante etapas críticas del desarrollo (11).
Otro gen involucrado es el gen factor diferenciador del crecimiento 11 (GDF11), cuya desactivación se traduce en un patrón anormal del esqueleto axial (4). Hay que señalar que esta malformación constituye una característica fenotípica constante en la monosomía del cromosoma X o Síndrome de Turner.
El síndrome del desfiladero torácico, salida u opérculo torácico incluye un conjunto de síntomas secundarios a la compresión del haz neurovascular (plexo braquial, arteria y vena subclavias) situado en la salida torácica o espacio triangular en la base del cuello, entre músculos escalenos anterior y medio, clavícula y primera costilla. La presencia de una costilla accesoria reduce este espacio y fuerza a las estructuras neurovasculares hacia arriba.
El compromiso neurovascular ocurre en tres espacios: triángulo del escaleno, el espacio costoclavicular y el espacio del pectoral menor. Implica, por tanto, síntomas neurológicos, venosos y/o arteriales (7).
La incidencia es de 3 a 80/1000, siendo la afectación neurogénica, con alcance del tronco o plexo braquial originado en las raíces nerviosas de C5 a T1 (C5 –C7 Plexo braquial superior y C8-T1 Plexo braquial inferior), el 90-95% de los casos. Le sigue el síndrome venoso (3-5 %) y en último lugar el arterial (1-2%), con implicación subclavia y axilar e inicio de síntomas entre los 20 y 50 años, de modo unilateral y por igual en ambos sexos (12).
Los mecanismos que pueden provocar el síndrome del desfiladero abarcan traumatismos, movimientos repetitivos y variantes anatómicas. Entre los traumatismos el latigazo cervical, fractura de clavícula, hemorragias y hematomas. La hipertrofia muscular subsecuente a los movimientos repetitivos e intensos de la extremidad puede provocar compresión, edema, circulación colateral y trombosis venosa, como en el caso del síndrome Paget–Schroetter. Entre las variantes anatómicas la más común es la costilla cervical, explicando hasta el 20% de los casos de implicación neurológica. Un escaleno supernumerario, anomalías en la primera costilla o tumores invasivos pueden ser causa de compresión local.
La afectación neurológica comprende síntomas como parestesias y debilidad de miembros superiores, sobre todo del territorio cubital y la eminencia tenar (es característica la mano de Gilliatt-Sumner si coexiste atrofia), dolor cervical, hombro, trapecios, supraclavicular, pectoral, cefalea occipital y de pabellón auricular.
La afectación arterial por compresión de costilla anómala o bandas fibrosas, de escaleno anterior o del tendón del pectoral menor implica una estenosis y aneurisma distal (lo cual fue la sospecha y el motivo de derivación a urgencias con nuestra paciente ) inductor tanto de una isquemia aguda de la extremidad (dolor, cianosis, palidez, frialdad, retardo relleno capilar, ausencia de pulsos distales , e incluso lesiones isquémicas de los dedos como úlceras y necrosis), fenómeno de Raynaud secundario, como de cuadros embolígenos responsables de accidentes cerebro vasculares(12,13,14).
El diagnóstico se efectúa con electromiografía (neurogénico), Rx de tórax, ecografía doppler, tomografía computerizada, angiotomografía, arteriografía y/o venografía (7).
En los cuadros neurológicos el tratamiento es conservador, incluida la fisioterapia durante 4 a 6 meses, y sólo será quirúrgico cuando éste fracase. En los cuadros vasculares la elección es la trombolisis intracatéter y/o intervención quirúrgica para descompresión de estructuras comprometidas: resección vía transaxilar o supraclavicular, escalenectomía o escalenotomía e incluso supresión de la primera costilla (7,10,15).
La complicación menos prevalente, pero sí peligrosa, (por las implicaciones isquémicas, embolígenas y/o hemorrágicas), son los aneurismas de la arteria subclavia, por lo que es recomendable un estrecho seguimiento evolutivo(12,13) ,el cual se explica y es llevado a cabo con nuestra paciente.
Una masa pulsátil en hueco supraclavicular a veces constituye una variante anatómica de la normalidad: arteria subclavia verticalizada por costilla cervical. Pensar en esta última al leer una radiografía de tórax puede ayudar a orientar el diagnóstico y evitar escalada de pruebas innecesarias. No obstante, es preciso un cuidadoso diagnóstico diferencial para descartar patologías graves o urgentes.
Con el tiempo puede causar el síndrome del desfiladero torácico, con sintomatología neurológica, venosa y/o arterial. Hasta el momento en que se inicien síntomas el tratamiento es únicamente preventivo, fundamentalmente evitando movimientos repetitivos y vigorosos con la extremidad.
Fuente de financiamiento
El estudio fue de carácter autofinanciado.
Contribución de los autores
Todos los autores participaron en todo el proceso de la investigación.
Conflicto de Interés
Declaramos no tener conflicto de interés.
Revista Peruana de Investigación en Salud: ISSN: 2616 - 6097


