Resumen
Introducción: Se ha documentado ampliamente el daño que puede causar la exposición al amianto en los seres humanos, ocasionando enfermedades como la asbestosis, placas pleurales, cáncer pulmonar, mesotelioma, engrosamiento de la pleura, derrames pleurales, entre otras.
Objetivo: Describir los efectos en salud que ocasiona la exposición a fibra de amianto, la legislación vigente en torno a la manipulación, la prohibición del uso de Asbesto-Amianto en Chile y la forma de abordar la calificación médico legal por la exposición a fibra de amianto.
Métodos: Se realizó una búsqueda exhaustiva en bases de datos médicas reconocidas, entre las que se incluyen PubMed, Scopus, MEDLINE y de la base de datos de la Biblioteca del Congreso Nacional de Chile/BCN, durante los años 2022 y 2023.
Resultados: En Chile, las patologías relacionadas con las fibras de amianto, tales como la asbestosis y el mesotelioma, han sido motivo de preocupación debido a los riesgos para la salud asociados con la exposición a este material. La asbestosis es una enfermedad pulmonar intersticial provocada por la inhalación de fibras de amianto. La fisiopatología que conduce a las alteraciones pleurales por fibras de amianto se debe a la infiltración pleural y a la activación de células inflamatorias, como macrófagos, que liberan mediadores inflamatorios y factores de crecimiento. La aparición mesotelioma pleural varía según los niveles de exposición al amianto en la población.
Conclusiones: Evitar la exposición al amianto, es la forma más efectiva de prevenir la aparición y/o prevalencia de enfermedades derivadas de este agente.
Palabras clave: Fibra de amianto, asbestosis, alteraciones pleurales, mesotelioma pleural.
Abstract
Introduction: The damage caused by asbestos exposure in humans has been extensively documented, resulting in diseases such as asbestosis, pleural plaques, lung cancer, mesothelioma, pleural thickening, pleural effusions, among others.
Objective: To describe the health effects of asbestos fiber exposure, current legislation regarding handling, the prohibition of Asbestos-Asbestos use in Chile, and how to approach medical-legal qualification for asbestos fiber exposure.
Methods: An exhaustive search was conducted in recognized medical databases, including PubMed, Scopus, MEDLINE, and the database of the National Congress Library of Chile/BCN, during the years 2022 and 2023.
Results: In Chile, pathologies related to asbestos fibers, such as asbestosis and mesothelioma, have been a cause for concern due to the health risks associated with exposure to this material. Asbestosis is an interstitial lung disease caused by the inhalation of asbestos fibers. The pathophysiology leading to pleural alterations by asbestos fibers is due to pleural infiltration and activation of inflammatory cells, such as macrophages, which release inflammatory mediators and growth factors. The occurrence of pleural mesothelioma varies according to asbestos exposure levels in the population.
Conclusions: Avoiding asbestos exposure is the most effective way to prevent the occurrence and/or prevalence of diseases derived from this agent.
Keywords: Asbestos fiber, asbestosis, pleural alterations, pleural mesothelioma.
Articulo de revisión
Mirada normativa: efectos en salud ocasionados por la exposición a fibra de amianto
Regulatory view: health effects caused by exposure to asbestos fiber
Received: 08 August 2023
Accepted: 15 November 2023
Se conoce como amianto a un grupo de minerales formados por silicatos hidratados de hierro, sodio y magnesio que se presentan en finas fibras. Está clasificado como un agente carcinógeno para los seres humanos por la IARC (Agencia Internacional de Investigación sobre el Cáncer) y la OMS (Organización Mundial de la Salud). 1 Se ha documentado ampliamente el daño que puede causar la exposición al amianto en los seres humanos, ocasionando enfermedades como la asbestosis, placas pleurales, cáncer pulmonar, mesotelioma, engrosamiento de la pleura, derrames pleurales, entre otras. Se estima que el amianto es responsable de aproximadamente la mitad de las muertes por cáncer ocupacional en todo el mundo, lo que representa un importante problema de salud pública. 2
Las fibras de amianto poseen propiedades fisicoquímicas que les otorgan un alto poder de aislamiento térmico y resistencia a la fricción, 3 lo que ha llevado a su utilización en diversos sectores industriales, agrícolas y de construcción. Aún se encuentran construcciones en muchos países donde se emplearon materiales que contienen fibras de amianto en su fabricación. 4
Otra forma documentada de exposición a este material cancerígeno se produce en los familiares de trabajadores 5,6 que llevaban fibras de amianto en su ropa de trabajo, calzado, etc., a sus hogares, así como en poblaciones cercanas a las zonas de extracción del mineral, 7 donde los polvos de fibra en suspensión en el aire afectaban a áreas que se encontraban a varios kilómetros de distancia. 8
El presente artículo pretende describir los efectos en salud que ocasiona la exposición a fibra de amianto y la legislación vigente en torno a la Ley chilena N° 16.744 sobre Accidentes del Trabajo y Enfermedades Profesionales, 9 el Decreto Supremo N° 594 sobre condiciones sanitarias y ambientales básicas en los lugares de trabajo 10 y el Decreto N° 656 que prohíbe el uso de Asbesto-Amianto en productos que indica, 11 los cuales en su conjunto permiten abordar la forma de calificación médico legal de los efectos en salud ocasionados por la exposición a fibra de amianto.
Se realizó una búsqueda exhaustiva en bases de datos médicas reconocidas, entre las que se incluyen PubMed, Scopus, MEDLINE y de la base de datos de la Biblioteca del Congreso Nacional de Chile/BCN. El objetivo primordial fue recopilar información pertinente sobre los efectos en la salud causados por la exposición a la fibra de amianto. La selección de estas bases de datos se basa en su reputación y amplitud en la cobertura de literatura científica y médica.
Para llevar a cabo el análisis de la información, se utilizaron términos específicos relacionados con los efectos en la salud vinculados a la exposición al amianto, normativa referente amianto en Chile. Estos términos fueron cuidadosamente seleccionados para garantizar la exhaustividad y la relevancia de los resultados.
El proceso de búsqueda se llevó a cabo durante los años 2022 y 2023, abarcando estudios y revisiones publicados en un rango temporal específico en la mayoría menores a 3 años. La estrategia de búsqueda se centró en identificar estudios clínicos, revisiones sistemáticas, metaanálisis y otros tipos de investigaciones que proporcionaran una visión integral de los efectos en la salud asociados con la fibra de amianto.
La búsqueda se realizó considerandos variables como la cronología de la publicación, la calidad metodológica de los estudios y la diversidad geográfica para obtener una perspectiva global de la problemática.
Una vez recopilados los resultados, se procedió a una revisión crítica de los artículos seleccionados, evaluando la validez de los métodos utilizados, la representatividad de las muestras y la coherencia de los hallazgos.
Para abordar estos temas, fue esencial adoptar una perspectiva metodológica basada en el paradigma socio jurídico. Esto se debe en parte a que la realidad presenta una variedad de posibilidades, problemas y debates que enriquecen la perspectiva teórica, especialmente en áreas de urgente actualidad como el diagnóstico en las patologías relacionadas con la fibra de amianto.
En Chile, las patologías relacionadas con las fibras de amianto, como la asbestosis, cáncer pulmonar y el mesotelioma pleural, han sido motivo de preocupación desde la década del 50 debido al alto riesgo que representa para la salud de las personas por la exposición a este agente.
En Chile se desconoce la incidencia de Mesotelioma pleural. Existen grupos de alto riesgo debido a su exposición a asbesto, especialmente trabajadores de industrias de confección de materiales de construcción y aislantes que contienen altos componentes de estas fibras. 12 Asimismo, la asbestosis también ha sido identificada en trabajadores expuestos al amianto en diferentes sectores industriales, como la construcción y la minería. La latencia entre la exposición al amianto y la aparición de los síntomas puede ser prolongada, generalmente de varias décadas.
A fines de la década del 90 el Estado de Chile se suscribe al convenio 162 de la OIT movido por el caso Pizarreño en el cual cientos de trabajadores, sus familias y poblaciones aledañas a esta empresa se vieron afectados por la exposición al amianto con consecuencias incluso fatales, desde entonces se ha implementado de forma paulatina una serie de medidas para restringir la producción, uso, manipulación y disposición final del amianto, con el objetivo de proteger la salud pública, controlar los procesos de demolición, desmantelamiento, modificación y descontaminación de ambientes con presencia de este agente, además de controlar la exposición a estas fibras peligrosas, entre estas medidas destaca la solicitud de autorización ante la autoridad sanitaria para intervenciones que involucren la exposición a asbesto en estado friable y la notificación cuando se trata de intervenciones que involucran asbesto en estado no friable. Desde el año 2001, se encuentra vigente el Decreto 656, 11 que prohíbe la extracción, elaboración y comercialización de amianto y productos que lo contengan en el territorio chileno. Esto incluye la prohibición de la importación de productos que contengan amianto, además de fijar las bases para los procesos de retiro, descontaminación y disposición final del asbesto ya existente en la infraestructura chilena. Esta prohibición se basa en la Convención Internacional sobre la Prohibición del Amianto, 13 ratificada por Chile en 1998.
Además, existen otras normativas y reglamentos relacionados con el amianto en Chile, sin embargo, todas tienen su sustento en la constitución Política de la República de Chile la cual declara en su artículo N° 19 que “todas las personas tienen derecho a la vida y a la integridad física y psíquica”, 14 y en el artículo N°184 del Código del Trabajo el cual indica que “el empleador estará obligado a tomar todas las medidas necesarias para proteger eficazmente la vida y salud de los trabajadores, informando de los posibles riesgos y manteniendo las condiciones adecuadas de higiene y seguridad en las faenas, como también los implementos necesarios para prevenir accidentes y enfermedades profesionales”. 15 La normativa y reglamentos de mayor relevancia que tienen directa relación con el amianto en chile son: El Decreto N° 656 que Prohíbe el asbesto en productos que indica, el Decreto 17 que Modifica el Decreto N° 656 de 2000. 16 El Decreto Supremo N° 594 sobre Condiciones sanitarias y ambientales básicas en los lugares de trabajo y que regula el límite permisible para las concentraciones ambientales de amianto en todas sus formas, 17 el Decreto N° 148 que Aprueba el reglamento sanitario sobre manejo de residuos peligrosos, 18 el Decreto N° 18 sobre certificaciones de calidad de elementos de protección personal contra riesgos ocupacionales, 19 el decreto N° 40 que aprueba el reglamento sobre prevención de riesgos profesionales y que mandata al empleador a informar a sus trabajadores sobre los riesgos que entrañan en sus labores, 20 el manual para la elaboración de un plan de trabajo con materiales que contienen asbesto friable y no friable, 21 la resolución exenta N° 29 que aprueba el protocolo para la toma de muestras de materiales en que existe o se sospecha la presencia de asbesto en los lugares de trabajo, 22 la resolución exenta N° 0236 que aprueba el protocolo para la toma de muestra de polvo sedimentado, 23) la resolución exenta N°18 que aprueba el protocolo para la determinación de la concentración de fibras de asbesto en aire para efectos de contaminación comunitaria y de reingreso a áreas intervenidas en base al método de microscopía de contraste en fase (PCM), 24 el protocolo para la determinación del cálculo de incertidumbre asociado al volumen de muestreo y la guía para la selección y control de equipos de protección respiratoria. 25 Estas normativas y reglamentos tienen por objetivo establecer requisitos mínimos de seguridad y protección para prevenir, controlar y/o disminuir la exposición a las fibras de amianto y garantizar la gestión y disposición final adecuada de los residuos. 26
Las enfermedades relacionadas con el amianto o formas clínicas son las siguientes: 27
Asbestosis.
Alteraciones pleurales.
Mesotelioma pleural.
Estas formas clínicas pueden darse en forma pura o combinadas entre sí.
Cabe subrayar de antemano las diferencias existentes entre los distintos tipos de efectos dañinos tanto cancerosos como no, ocasionados por el asbesto en el aparato respiratorio, como consecuencia de la exposición por inhalación de fibras de la fracción “respirable”. Específicamente, la asbestosis y el cáncer de pulmón son patologías típicamente “dependientes de la dosis” (incluso bajo el concepto de “dosis acumulada”, a lo largo de la vida laboral de un individuo), mientras que el mesotelioma pleural, por ejemplo, puede surgir incluso después de exposiciones mucho más cortas (incluso extremadamente cortas), y con un período de latencia que puede llegar a medio siglo o incluso más.
La asbestosis es una enfermedad pulmonar fibrosa causada por la inhalación de fibras de amianto. Estas fibras consisten en silicatos minerales, principalmente silicatos de magnesio hidratados, y se clasifican en dos categorías principales según su forma: serpentina y anfíboles. Las fibras de serpentina incluyen el crisotilo, que son fibras rizadas y flexibles, y son menos patógenas que las fibras de anfíboles (Figura 1). El crisotilo, al ser más flexible y curvado, tiende a asentarse en las vías respiratorias superiores. El tracto respiratorio superior presenta una función mucociliar más efectiva, lo que facilita la eliminación de las fibras de crisotilo. Por otro lado, los anfíboles (crocidolita, amosita, tremolita y antofilita) son fibras rectas, rígidas y más frágiles. Son más tóxicas que las fibras de serpentina, ya que son menos solubles y penetran más profundamente en los pulmones y el intersticio al atravesar el epitelio. 28

La fisiopatología de la asbestosis implica una respuesta inflamatoria y fibrogénica en los tejidos pulmonares como resultado de la inhalación de estas fibras. Cuando las fibras de amianto son inhaladas, se depositan en los pulmones y causan irritación y lesiones en los tejidos respiratorios. 29) Las fibras de amianto son resistentes y no se pueden eliminar fácilmente del tejido pulmonar una vez que se han depositado. Esto desencadena una respuesta inflamatoria crónica en los pulmones, que a su vez conduce a la formación de tejido cicatricial o fibrosis. La fibrosis pulmonar resultante afecta la capacidad de los pulmones para expandirse y contraerse adecuadamente durante la respiración. 30 También puede llevar a una disminución de la capacidad pulmonar y dificultad para obtener suficiente oxígeno de la respiración. 31
Además de la fibrosis, la asbestosis también puede causar la formación de placas pleurales, que son depósitos de tejido fibroso en la membrana que recubre los pulmones y la cavidad torácica. Estas placas pueden causar dolor en el pecho y limitar la capacidad pulmonar. A lo largo del tiempo, la acumulación continua de fibrosis y cambios en los tejidos pulmonares pueden resultar en una disminución progresiva de la función pulmonar y causar síntomas como falta de aliento, tos crónica y debilidad general. 32 La fisiopatología pulmonar relacionada con inhalación crónica es típicamente restrictiva. Además, la asbestosis también se ha asociado con un mayor riesgo de desarrollar enfermedades pulmonares graves, como el cáncer de pulmón y el mesotelioma pleural. 33 La incidencia de la asbestosis ha disminuido en muchos países gracias a la implementación de regulaciones más estrictas sobre el uso del amianto y a la adopción de medidas de protección en el lugar de trabajo. Sin embargo, aún se pueden encontrar casos de asbestosis en personas que han estado expuestas al asbesto en el pasado y que pueden desarrollar síntomas y complicaciones años después de la exposición inicial (el cáncer pulmonar, entre ellas). Es importante destacar que la asbestosis es una enfermedad de desarrollo lento y generalmente requiere una exposición prolongada al amianto para que se desarrolle. Los trabajadores expuestos a altos niveles de amianto durante un período prolongado tienen un mayor riesgo de desarrollar asbestosis. 34
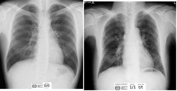
Obligatoria: Radiografía de tórax con técnica OIT. 35 Informe de lectura de la radiografía de tórax con técnica OIT, realizada por lector acreditado.
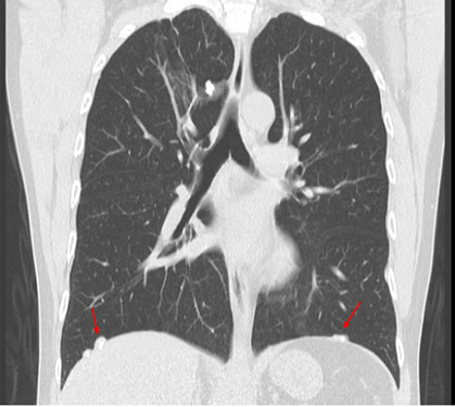
Complementaria: Tomografía computadorizada de tórax de alta resolución. 36 (TCAR), sin contraste: en caso de lectura de radiografía de tórax con técnica OIT que muestre opacidades irregulares de predominio, en bases pulmonares con profusión 1/0 y 1/1. Además, es una herramienta fundamental para la realización de diagnóstico diferencial (Figura 2).

El diagnóstico diferencial se realizará principalmente con las siguientes condiciones:
Fibrosis pulmonar idiopática: En la asbestosis, se observa poca inflamación y una mayor presencia de fibrosis en la pleura visceral, lo cual es poco común en la fibrosis pulmonar idiopática. El patrón radiológico en ambos casos es irregular, pero en la asbestosis predomina en la región basal, 37 mientras que en la fibrosis pulmonar idiopática sigue un patrón basal con extensión hacia la corteza pulmonar.
Neumonitis por hipersensibilidad: La neumonitis por hipersensibilidad es una causa común de afectación intersticial y está relacionada con la inhalación de diferentes polvos orgánicos. 38 Clínicamente, se presentan formas agudas o subagudas que pueden progresar hacia la cronicidad. El diagnóstico se basa en la identificación del alérgeno, presencia de disnea, crepitantes, patrón restrictivo en las pruebas funcionales respiratorias, imágenes tomográficas compatibles (con frecuencia se observa opacidad en vidrio esmerilado y nódulos broncocéntricos), linfocitosis en el lavado bronquioloalveolar (LBA) y hallazgos histológicos de inflamación intersticial linfocítica y granulomas mal definidos. 39
Neumoconiosis de los Trabajadores del Carbón: Se desarrolla debido a la exposición acumulada al polvo de sílice en las minas de carbón. 40 En las radiografías se pueden observar opacidades redondas, a veces asociadas con enfisema centrolobulillar. 41
Neumoconiosis del Caolín: Es una neumoconiosis de polvo mixto causada por la inhalación de sílice y caolín (silicato de aluminio hidratado). Se caracteriza por tener una aparición precoz y una evolución rápida. Radiológicamente, se pueden observar opacidades redondas, especialmente en los ápices pulmonares. (42
Beriliosis: Es una enfermedad pulmonar ocupacional crónica causada por una reacción de hipersensibilidad retardada al berilio. 43 Se presenta en dos formas clínicas diferentes: aguda, similar a una neumonía química, y crónica, similar a una sarcoidosis. Se pueden requerir pruebas inmunológicas complementarias para su diagnóstico.
Siderosis: Es una neumoconiosis pulmonar benigna que se desarrolla como resultado de la exposición al hierro metálico o al polvo de óxido de hierro. Las ocupaciones asociadas con la siderosis incluyen la minería, la soldadura, la fabricación de acero, la fabricación de óxido de hierro, la fabricación de muelas abrasivas y la fabricación de joyas de plata. 44 Cuando se inhala sílice junto con el hierro, se produce una neumoconiosis de polvo mixto llamada sidero-silicosis.
Neumoconiosis por Inhalación de Otros Metales: El estaño, el antimonio y el bario pueden causar imágenes radiológicas similares a la siderosis. Estas neumoconiosis causadas por metales, en las que no hay una reacción fibrosa patológica, suelen denominarse 45) "neumoconiosis benignas".
Existen varios puestos de trabajo en los que los trabajadores pueden estar expuestos al amianto y, por lo tanto, tener un mayor riesgo de desarrollar asbestosis. Algunos de los puestos de trabajo de riesgo asociados a la asbestosis son: 46
Mineros de amianto: Los mineros que extraen amianto están expuestos a altos niveles de fibras de amianto en el aire durante el proceso de extracción.
Trabajadores de la construcción: Los trabajadores de la construcción que realizan tareas como demolición, renovación o reparación de edificios que contienen materiales de construcción que contienen amianto friable, como techos, pisos, aislamiento, tuberías y paneles, corren el riesgo de inhalar fibras de amianto liberadas durante estas actividades.
Trabajadores de la industria naval: Los trabajadores que construyen, reparan o desmantelan barcos pueden estar expuestos al amianto presente en los materiales utilizados en la construcción de barcos, como aislamientos, juntas, revestimientos y frenos.
Trabajadores de la industria automotriz: Los trabajadores que fabrican automóviles, especialmente aquellos que trabajan en la fabricación de frenos y embragues, pueden estar expuestos a fibras de amianto liberadas durante el proceso de fabricación y en el servicio de mantención de los frenos.
Trabajadores de la industria del aislamiento: Los trabajadores que instalan o retiran materiales de aislamiento que contienen amianto, como en tuberías, calderas y sistemas de calefacción, pueden estar expuestos a fibras de amianto durante estas actividades.
Trabajadores de la industria del acero: Los trabajadores que participan en la producción y manipulación de acero pueden estar expuestos al amianto presente en los materiales utilizados en la industria, como aislamientos térmicos y productos de revestimiento.
Estos son solo algunos ejemplos de puestos de trabajo en los que los trabajadores pueden estar en riesgo de exposición al amianto y, por lo tanto, desarrollar asbestosis y otras patologías relacionadas con este material.
Cabe destacar que la evolución del conocimiento y la conciencia del riesgo por asbesto en diferentes sectores y condiciones de trabajo se describió con precisión en una conferencia celebrada en Nueva York en junio de 1990: “La tercera ola de la enfermedad del asbesto: exposición al asbesto aplicado”. 47 De hecho, se han identificado tres fases u “olas” de enfermedades relacionadas con el asbesto, hablando de diferentes procesos y/o escenarios de exposición, como podemos ver a continuación:
primera “ola”: se remonta al final de la Primera Guerra Mundial, y en ella destacaban las patologías en los trabajadores empleados en la extracción y separación del mineral y su conversión en productos manufacturados, textiles especialmente.
segunda “ola”: se ubica temporalmente entre las décadas de 1920 y 1970, y se refiere a los efectos sobre la salud de los trabajadores empleados en el aislamiento y en la costrucción de edificios que empleaban el amianto como refuerzo (cemento-amianto), efectos descritos en la Conferencia celebrada en 1978 en la Academia de Ciencias de Nueva York.
tercera “ola”: la atención de los especialistas se centra en los efectos vinculados a la exposición al denominado “asbestos in place”, es decir, a quienes estuvieron expuestos a polvo que contenía fibras de amianto no aplicadas por ellos, por ejemplo a bordo de barcos, en fábricas, en vagones y locomotoras, en centrales termoeléctricas, en la industria petroquímica, en edificios; también se señala que dichos efectos podrían afectar no solo a los trabajadores involucrados en los trabajos de mantenimiento, sino a prácticamente todos los ciudadanos (“threatened almost everybody”).
El diagnóstico de asbestosis se basa en una evaluación exhaustiva que incluye los siguientes aspectos:
Historia laboral y exposición al amianto: Se recopila información detallada sobre el historial laboral del paciente, incluyendo los puestos de trabajo y las actividades que implicaron exposición al amianto. Esto ayuda a identificar el nivel y la duración de la exposición.
Examen físico: El médico realiza un examen físico completo, prestando atención a los signos y síntomas asociados a la asbestosis, como la presencia de crepitaciones en los pulmones o la deformidad de las uñas (dedos en palillo de tambor).
Pruebas de función pulmonar: Se realizan pruebas para evaluar la función pulmonar y determinar si hay alguna limitación en la capacidad respiratoria. Estas pruebas incluyen la espirometría, que mide las propiedades mecánicas del sistema respiratorio, siendo el estándar de oro para identificar obstrucción al flujo aéreo, y la capacidad de difusión del monóxido de carbono (DLCO), que evalúa el intercambio de gases en los pulmones.
Radiografía de tórax con técnica OIT: La radiografía de tórax con técnica OIT es una herramienta clave en el diagnóstico de la asbestosis. Puede mostrar la presencia de opacidades pulmonares características (opacidades irregulares), que son indicativos de la enfermedad.
Tomografía computarizada (TC) de tórax: En casos más avanzados o cuando la radiografía de tórax con técnica OIT no es concluyente, se puede realizar una TC de tórax para obtener imágenes más detalladas de los pulmones y las estructuras pleurales.
Biopsia pulmonar: En algunos casos, se puede requerir una biopsia pulmonar para confirmar el diagnóstico de asbestosis. Se extrae una pequeña muestra de tejido pulmonar para su análisis microscópico, lo que permite identificar la presencia de fibras de amianto y los cambios característicos en los tejidos pulmonares.
Es importante tener en cuenta que el diagnóstico de asbestosis requiere una evaluación médica completa y la interpretación de varios factores, incluyendo la historia ocupacional de exposición al amianto, los hallazgos clínicos y los resultados de las pruebas diagnósticas. Por lo tanto, es fundamental consultar a un médico especialista en enfermedades pulmonares ocupacionales para obtener un diagnóstico preciso y adecuado.
En resumen, se considera en estadio temprano con una Radiografía de Tórax con técnica OIT (Organización Internacional del Trabajo), en categoría 1 de la Clasificación OIT, interpretada (leída) a lo menos por dos lectores certificado en esta técnica, e informadas en profusión 1/0 o mayor, que muestre opacidades irregulares. 35 Se debe realizar tomografía computarizada de tórax de alta resolución sin contraste (TCAR), cuando la lectura de Radiografía de Tórax con técnica OIT se defina en profusiones 1/0 y 1/1, que muestre opacidades irregulares. Historia Ocupacional (HO) para fibra de amianto: la valoración exhaustiva del sitio donde el trabajador está expuesto a fibras de amianto por el profesional higienista es fundamental, quien proveerá datos sobre tipo/cantidad de fibras de amianto, tiempo/ calidad de la protección colectiva y personal, altura geográfica y tiempo de exposición en días/semanas/años.
La fisiopatología que conduce a las alteraciones pleurales por fibras de amianto se debe a la infiltración pleural y a la activación de células inflamatorias, como macrófagos, que liberan mediadores inflamatorios y factores de crecimiento. 48 Esto lleva a la proliferación excesiva de tejido conectivo y la formación de alteraciones pleurales por la exposición al amianto. 49 Las alteraciones pleurales relacionadas con la exposición al amianto, como la pleuritis fibrosa difusa y las placas pleurales, son bastante comunes en individuos expuestos al amianto. Sin embargo, es importante destacar que estas alteraciones pleurales son consideradas como hallazgos subclínicos, lo que significa que no siempre presentan síntomas clínicos evidentes y no todos los casos requieren tratamiento médico. 50
La incidencia de las alteraciones pleurales relacionadas con el amianto varía según la población y la intensidad de la exposición al amianto. Se ha observado que las placas pleurales son la forma más común de alteración pleural en individuos expuestos al amianto, y su incidencia es dosis dependiente, aumentando con la duración y la intensidad de la exposición. 51 Se estima que hasta el 60-70% de los trabajadores expuestos al amianto pueden presentar placas pleurales en algún momento de sus vidas. En cuanto a la pleuritis fibrosa difusa, que es una forma más grave de alteración pleural, su incidencia es menos frecuente que las placas pleurales, pero también está relacionada con la exposición al amianto. 52 Esta condición se caracteriza por la formación de una fibrosis extensa en la pleura, lo que puede llevar a la reducción de la función pulmonar y la aparición de síntomas como disnea y dolor torácico.
Es importante tener en cuenta que las alteraciones pleurales relacionadas con el amianto se consideran enfermedades ocupacionales y están sujetas a la legislación laboral y a los sistemas de compensación en muchos países. La detección temprana y el seguimiento regular de los trabajadores expuestos al asbesto son fundamentales para identificar cualquier alteración pleural y brindar el tratamiento y el apoyo adecuados.
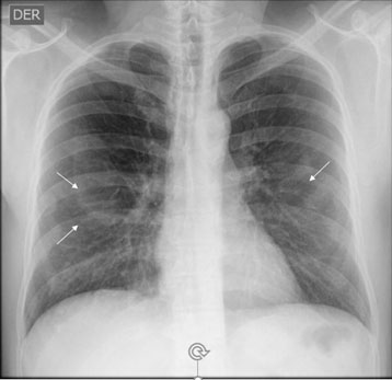
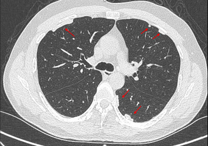
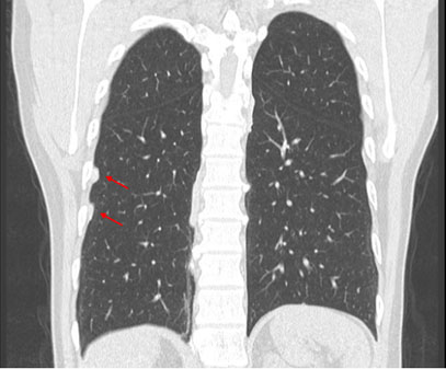
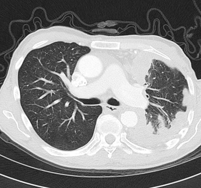
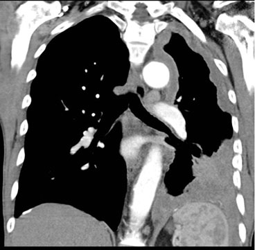
Frente a la presencia de alteraciones pleurales en la Radiografía de tórax con técnica OIT y confirmadas con tomografía computarizada de tórax de alta resolución sin contraste (TCAR), será de vital importancia realizar el diagnóstico diferencial sobre alteraciones pleurales asociadas a la exposición al amianto (Figuras 2, 3, 4 y 5). Entre las patologías diferenciales se incluyen: 53
Placa pleural: La lesión pleural por fibra de amianto se caracteriza por la presencia de tejido fibroso en la pleura parietal, 54 principalmente en las zonas intercostales laterales y posteriores, así como en la pleura mediastínica y diafragmática. 55 Estas lesiones suelen ser bilaterales, pero no simétricas, y con el tiempo, el tejido fibroso tiende a fusionarse y calcificarse. 56 Aunque no se comprende completamente el proceso fisiopatológico detrás de la formación de placas pleurales por amianto, se cree que una vez que las fibras de amianto son inhaladas, se localizan en la pleura parietal debido a la baja resistencia tisular y al gradiente de presión subatmosférico presente en el espacio subpleural. Este fenómeno puede ocurrir incluso con una exposición a baja concentración. Es crucial reconocer la presencia de placas pleurales secundarias a procesos infecciosos, traumas o cirugías, para evitar errores en la detección de placas pleurales por amianto.
Derrame pleural benigno: Es una manifestación frecuente relacionada con la exposición a fibras de amianto, 57 puede presentarse dentro de los primeros 20 años después del primer evento de exposición. El diagnóstico se realiza mediante tomografía computarizada de tórax, donde se observa un ensanchamiento de la pleura que afecta al menos una cuarta parte de la pared torácica. Este ensanchamiento pleural es unilateral y tiende a predominar en el lado izquierdo. El diagnóstico se basa en la exclusión de otras causas y requiere un seguimiento de 1 a 3 años, 58 para descartar derrame pleural causado por el mesotelioma.
Engrosamiento pleural difuso: Se produce como resultado de la fibrosis de la pleura visceral, a menudo bilateralmente, 59 y es considerablemente menos común que las placas pleurales. Requiere una exposición a mayores cantidades de fibras de amianto para desarrollarse. La detección se realiza mediante tomografía axial computarizada de tórax, y se observa un engrosamiento de bordes irregulares y mal definidos que se extiende por más de cuatro espacios intercostales. Por lo general, el engrosamiento pleural difuso se extiende hacia arriba a lo largo de la pared torácica lateral y se registra solo en presencia de un ángulo costo frénico obliterado continuo. Las lesiones raramente se calcifican. Una de las características del engrosamiento pleural difuso es que produce alteraciones funcionales restrictivas sin afectar el parénquima pulmonar subyacente. 60
Atelectasias redondas: Es una anormalidad poco común de la pleura que se pliega sobre sí misma, atrapando el tejido pulmonar adyacente y dando lugar a la formación de una imagen curva en los bronquios y vasos sanguíneos que se dirigen hacia esa zona, lo que se conoce radiológicamente como "cola de cometa". 61 Aunque teóricamente puede verse en la fibrosis pleural de cualquier origen, en la práctica la mayoría de los casos están asociados a la exposición a fibras de amianto. En la tomografía axial computarizada de tórax, se identifica por tres signos radiológicos característicos: una masa redonda u ovalada de 2.5 a 7 cm que contacta la superficie pleural, la presencia de una estructura lineal en forma de cola en su interior correspondiente a los elementos broncovasculares y el engrosamiento de la pleura subyacente. 62 Es importante distinguir una atelectasia redonda de un carcinoma broncogénico, ya que su apariencia en la imagen puede ser similar.
Mesotelioma: Es un tipo de cáncer poco común y de mal pronóstico, 63 que está fuertemente asociado en un 80% de los casos con antecedentes de exposición a fibras de amianto. Suele presentarse en pacientes de entre 50 y 70 años, 64 siendo más frecuente en hombres con una relación de 4:1. En la tomografía axial computarizada de tórax se puede observar un engrosamiento pleural circunferencial, nodular y con un espesor mayor a 1 cm. A menudo se asocia con derrame pleural unilateral y una disminución del volumen del hemitórax afectado. El diagnóstico se confirma mediante la obtención de tejido pleural a través de una biopsia, preferiblemente de naturaleza quirúrgica. 65-67
La detección de las alteraciones pleurales obedece casi siempre a un hallazgo en el contexto de la vigilancia epidemiológica la salud de los trabajadores con exposición a fibras de amianto:
Obligatoria: Radiografía de tórax con técnica OIT. 35 Informe de lectura de la radiografía de tórax con técnica OIT, realizada por lector acreditado. Tomografía computadorizada de tórax de alta resolución 36 (TCAR), sin contraste.
Entre los principales diagnósticos diferenciales, se encuentran:
Lesiones pleurales secuelares por: TBC, infecciones virales, otras infecciones. Lesiones pleurales secundarias a enfermedades del mesénquima.
Los puestos de trabajo asociados a alteraciones pleurales debido a la exposición a fibras de amianto y otros agentes irritantes incluyen:
Trabajadores de la industria naval: Incluyendo constructores de barcos, reparadores y desmanteladores de barcos, ya que los materiales utilizados en la construcción naval, como aislamientos y revestimientos, a menudo contienen amianto.
Mineros de amianto: Los trabajadores involucrados en la extracción de amianto están expuestos a altos niveles de fibras de amianto.
Trabajadores de la industria del acero: En particular, aquellos que están expuestos a materiales de aislamiento que contienen amianto, como aislamientos térmicos utilizados en tuberías y calderas.
Trabajadores de la industria química: Algunos productos químicos utilizados en la industria pueden liberar sustancias irritantes para la pleura, lo que aumenta el riesgo de desarrollar alteraciones pleurales.
Trabajadores de la industria del petróleo y el gas: Especialmente aquellos expuestos a productos químicos y sustancias tóxicas que pueden afectar la pleura.
Trabajadores de la construcción de túneles: Debido a la exposición a polvos y sustancias irritantes presentes durante la excavación y construcción de túneles.
Estos son solo algunos ejemplos de puestos de trabajo que conllevan un mayor riesgo de desarrollar alteraciones pleurales debido a la exposición a agentes irritantes, como el amianto.
El diagnóstico de las alteraciones pleurales se realiza a través de un enfoque integral que incluye los siguientes aspectos:
Historia clínica y exposición laboral: Se recopila información detallada sobre la historia clínica del paciente, incluyendo síntomas presentes, antecedentes médicos y exposición a factores de riesgo, como el amianto u otros agentes relacionados con las enfermedades pleurales.
Examen físico: El médico realiza un examen físico completo, prestando especial atención a los signos y síntomas relacionados con las alteraciones pleurales, como la presencia de dolor torácico, dificultad respiratoria, roce pleural o derrame pleural.
Radiografía de tórax con técnica OIT: La radiografía de tórax con técnica OIT es una herramienta inicial para evaluar las alteraciones pleurales. Puede revelar la presencia de derrame pleural, engrosamiento o calcificaciones pleurales (Figura 3).

Ecografía o ultrasonido de tórax: La ecografía de tórax puede proporcionar imágenes en tiempo real de la cavidad pleural y ayudar a identificar la presencia de derrame pleural o engrosamiento pleural.
Tomografía computarizada (TC) de tórax: La TC de tórax es una técnica de imagen más precisa que puede mostrar con mayor detalle las alteraciones pleurales, como engrosamiento, calcificaciones, masas o derrame pleural (Figuras 4, 5 y 6).



Biopsia pleural: En algunos casos, se puede requerir una biopsia de la pleura para obtener una muestra de tejido y realizar un análisis histopatológico. Esto puede realizarse a través de diferentes métodos, como la toracoscopia, la biopsia pleural con aguja o la biopsia por aspiración con aguja fina.
El diagnóstico de las alteraciones pleurales requiere la evaluación conjunta de la historia clínica, los hallazgos físicos y los resultados de las pruebas de imagen y biopsia. Es importante consultar a un médico especialista en enfermedades respiratorias o un neumólogo para obtener un diagnóstico preciso y establecer el plan de tratamiento adecuado.
En resumen, se considera en estadio temprano una Radiografía de Tórax con técnica OIT (Organización Internacional del Trabajo), con lectura final que muestre cualquier anomalía pleural consistente con neumoconiosis (leída) a lo menos por dos lectores certificados con esta técnica. TAC de tórax de alta resolución sin contraste que confirme anomalía pleural consistente con neumoconiosis. Historia Ocupacional (HO) para fibra de amianto: la valoración exhaustiva del sitio donde el trabajador está expuesto a fibras de amianto por el profesional higienista es fundamental, quien proveerá datos sobre tipo/cantidad de fibras de amianto, tiempo/ calidad de la protección colectiva y personal, altura geográfica y tiempo de exposición en días/semanas/años.
Cáncer pleuropulmonar progresivo, caracterizado por un período de latencia de 20 a 40 años incluso hasta los 60 años, presenta una sobrevida promedio de 9 a 12 meses desde el momento del diagnóstico. Este diagnóstico requiere un estudio inmunohistológico de las muestras tumorales para su confirmación. 36 En fases avanzadas de la enfermedad se producen compresiones de órganos intratorácicos, con disfonía, disfagia, síndrome de vena cava superior y dolor irradiado al brazo correspondiente. La fisiopatología que conduce al mesotelioma pleural se lo relaciona al daño genético en las células de la pleura, lo que resulta en su crecimiento descontrolado y la formación de tumores.
La incidencia del mesotelioma pleural varía significativamente según la región y el país, así como según los niveles de exposición al amianto en la población. Las tasas de incidencia suelen ser más altas en áreas donde ha habido una exposición ocupacional significativa al amianto, como en industrias relacionadas con la minería, la construcción y la fabricación de productos que contienen amianto 68. Es importante destacar que la incidencia del mesotelioma pleural ha ido en aumento en muchas partes del mundo debido a la exposición acumulativa al amianto a lo largo de las décadas anteriores.
La incidencia del mesotelioma pleural también puede estar influenciada por factores como el sexo y la edad. Se ha observado que los hombres tienen una mayor incidencia de mesotelioma pleural en comparación con las mujeres, posiblemente debido a una mayor exposición ocupacional al amianto en trabajos tradicionalmente ocupados por hombres. La enfermedad tiende a manifestarse en personas de mayor edad, siendo más frecuente en individuos mayores de 65 años. 69
Obligatorias: Radiografía de tórax con técnica OIT. 36 Informe de lectura de la radiografía de tórax con técnica OIT, realizada por lector acreditado. Tomografía computadorizada de tórax de alta resolución 36 (TCAR), sin contraste.
Complementaria: Biopsia pleural: en caso de otras patologías pleurales. 70,71 (Muy excepcional).
El mesotelioma pleural es un tipo de cáncer que afecta el revestimiento delgado que rodea los pulmones y la cavidad torácica, conocido como mesotelio. El diagnóstico diferencial del mesotelioma pleural implica distinguirlo de otras enfermedades que pueden presentar síntomas similares (Figuras 7 y 8). Algunas de las condiciones que deben considerarse en el proceso de diagnóstico diferencial incluyen:


Adenocarcinoma bronquial: El adenocarcinoma pulmonar es un tipo de cáncer de pulmón de células no pequeñas que puede presentar síntomas similares al mesotelioma pleural. La diferenciación entre ambos suele requerir pruebas de imagen, como tomografía computarizada (TC) o resonancia magnética (RM), así como la obtención de muestras de tejido para análisis histopatológico. 72
Carcinoma de mama: En algunos casos, el carcinoma de mama metastásico puede extenderse a la pleura y causar síntomas similares a los del mesotelioma pleural. El diagnóstico diferencial implica la evaluación de la historia clínica, estudios de imagen, análisis de líquido pleural y biopsia para confirmar el origen del cáncer.
Timoma maligno: El timoma maligno es un tipo de cáncer que se origina en el timo, una glándula situada en la parte superior del tórax. Puede causar engrosamiento pleural y síntomas similares al mesotelioma pleural. Los estudios de imagen y la biopsia son necesarios para diferenciar entre ambos. 73
Linfoma: Algunos linfomas pueden afectar la pleura y presentar síntomas similares al mesotelioma pleural. La realización de pruebas de imagen, análisis de líquido pleural y biopsia son fundamentales para el diagnóstico diferencial.
Derrame pleural benigno por amianto: La exposición previa al amianto puede causar derrames pleurales benignos, que pueden presentar síntomas similares al mesotelioma pleural. La evaluación de la historia de exposición, pruebas de imagen y análisis del líquido pleural pueden ayudar a distinguir entre ambos.
Engrosamiento pleural tuberculoso: La tuberculosis pleural es una infección bacteriana que puede provocar engrosamiento pleural y síntomas similares al mesotelioma pleural. Los análisis de líquido pleural y pruebas de tuberculosis son esenciales para el diagnóstico diferencial.
Empiema bacteriano: El empiema es una acumulación de pus en la cavidad pleural debido a una infección bacteriana. Puede causar síntomas similares al mesotelioma pleural, y los análisis de líquido pleural y pruebas microbiológicas ayudan a distinguir entre ambas condiciones.
Enfermedades autoinmunes: Algunas enfermedades autoinmunes, como el lupus eritematoso sistémico o la artritis reumatoide, pueden afectar la pleura y causar síntomas similares al mesotelioma pleural. La historia clínica, los análisis de sangre y, en algunos casos, la biopsia puede ser necesarios para el diagnóstico diferencial.
Es importante destacar que el diagnóstico diferencial de estas enfermedades debe ser realizado por profesionales médicos, y los resultados de las pruebas y la evaluación clínica son fundamentales para llegar a un diagnóstico preciso.
Los puestos de trabajo de riesgo asociados al mesotelioma pleural, que es una forma de cáncer de la membrana que recubre los pulmones, incluyen:
Industria del amianto: Los trabajadores involucrados en la minería, producción, manipulación, instalación o remoción de productos que contienen amianto están expuestos a altos niveles de fibras de amianto y tienen un mayor riesgo de desarrollar mesotelioma pleural.
Industria de la construcción: Especialmente aquellos que trabajan en la demolición, renovación o reparación de edificios que contienen materiales que liberan fibras de amianto, como techos, aislamientos, paneles y pisos.
Industria naval: Los trabajadores de la construcción, reparación y desmantelamiento de barcos están expuestos a materiales que contienen amianto, como aislamientos y revestimientos.
Industria química: Algunos productos químicos utilizados en la industria pueden aumentar el riesgo de desarrollar mesotelioma pleural.
Industria del acero: Los trabajadores expuestos a materiales de aislamiento que contienen amianto, como aislamientos térmicos utilizados en tuberías y calderas, tienen un mayor riesgo de mesotelioma pleural.
Trabajadores de la industria del petróleo y gas: La exposición a productos químicos y sustancias tóxicas en esta industria puede aumentar el riesgo de mesotelioma pleural.
Es importante tener en cuenta que la exposición al amianto es el factor de riesgo principal para el desarrollo del mesotelioma pleural.
El diagnóstico de mesotelioma pleural implica una evaluación integral que incluye los siguientes pasos:
Historia clínica y exposición laboral: Se recopila información detallada sobre la historia clínica del paciente, incluyendo síntomas presentes, antecedentes médicos y exposición a factores de riesgo, como la inhalación de amianto. La exposición ocupacional o ambiental al amianto es un factor de riesgo importante para el desarrollo de mesotelioma pleural.
Examen físico: El médico realiza un examen físico completo, prestando especial atención a los signos y síntomas relacionados con el mesotelioma pleural, como la presencia de dolor torácico, dificultad respiratoria, derrame pleural, engrosamiento de la pleura o masa palpable en el tórax.
Pruebas de imagen: Se utilizan diversas pruebas de imagen para evaluar la presencia de anormalidades en la cavidad pleural. Estas pueden incluir radiografías de tórax con técnica OIT, tomografía computarizada (TC) de tórax, resonancia magnética (RM) y ecografía de tórax. Estas pruebas ayudan a detectar la presencia de derrame pleural, engrosamiento pleural, masas o nódulos en la pleura.
Análisis de líquido pleural: Si hay presencia de derrame pleural, se puede realizar una toracentesis para obtener una muestra del líquido pleural y realizar un análisis. El análisis del líquido pleural puede ayudar a descartar otras causas de derrame pleural y puede mostrar características sugestivas de mesotelioma, como la presencia de células malignas.
Biopsia pleural: La confirmación definitiva del diagnóstico de mesotelioma pleural generalmente requiere una biopsia de la pleura. Esto se puede realizar mediante una biopsia pleural con aguja, toracoscopia o cirugía torácica más invasiva. El tejido obtenido se envía para su análisis histopatológico, que permite evaluar las características celulares y determinar si existen células malignas consistentes con el mesotelioma.
Es importante tener en cuenta que el diagnóstico de mesotelioma pleural puede ser complejo y requiere la evaluación de un equipo médico especializado, que puede incluir oncólogos, patólogos y radiólogos con experiencia en enfermedades pleurales malignas.
En resumen, se considera en estadio temprano una Radiografía de Tórax con técnica OIT (Organización Internacional del Trabajo), con lectura final que muestre cualquier anomalía pleural consistente con mesotelioma (leída) a lo menos por dos lectores certificados con en esta técnica. TAC de tórax de alta resolución sin contraste que confirme anomalía pleural consistente con mesotelioma. Historia Ocupacional (HO) para fibra de amianto: la valoración exhaustiva del sitio donde el trabajador está expuesto a fibras de amianto por el profesional higienista es fundamental, quien proveerá datos sobre tipo/cantidad de fibras de amianto, tiempo/ calidad de la protección colectiva y personal, altura geográfica y tiempo de exposición en días/semanas/años.
COMPIN: Comisión de Medicina Preventiva e Invalidez (COMPIN) es un organismo en Chile encargado de evaluar y determinar el grado de invalidez y discapacidad de las personas que presentan enfermedades o lesiones que afectan su capacidad para trabajar.
Asbestosis: En los casos de asbestosis en los que se constate únicamente a través de radiografía de tórax con técnica OIT o evaluación clínica, se aplicará lo estipulado en los artículos 71 de la ley N° 16.744 (que estableció el seguro social contra los riesgos por accidentes del trabajo y enfermedades profesionales); y los artículos 17, 18 y 24 del Decreto Supremo Nº 109 (que aprueba el reglamento para la calificación y evaluación de los accidentes del trabajo y enfermedades profesionales). En los casos, en que sólo exista comprobación radiológica o clínica se considerará un 25% de pérdida de capacidad de ganancia (PCG), por lo que tendrá derecho a indemnización por única vez. Si la incapacidad es principalmente para un trabajo específico, se aplicará un rango que va del 40% al 65% de (PCG), lo que dará derecho a una pensión parcial. Si la incapacidad imposibilita realizar cualquier tipo de trabajo, se aplicará un rango del 70% al 90%, dando derecho a una pensión total.
Mesotelioma: En el caso de que el mesotelioma genere principalmente una incapacidad laboral para un trabajo específico, se asignará un porcentaje de incapacidad que oscilará entre el 40% y el 65%. Si la enfermedad incapacita para cualquier tipo de trabajo, se aplicará un rango de incapacidad que va del 70% al 90%. En situaciones de casos irrecuperables, se asignará una incapacidad del 90%.
La presencia de placas pleurales u otras anomalías pleurales causadas por la exposición al amianto también se asocia con un aumento en el riesgo de cáncer de pulmón, aunque según la legislación chilena, este tipo de alteraciones pleurales no se consideran una enfermedad profesional.
Se cumplió el objetivo al describir claramente los efectos en salud que ocasiona la exposición a fibra de amianto y la base teórica apegada a la legislación vigente en torno la Ley chilena N° 16.744 sobre Accidentes del Trabajo y Enfermedades Profesionales, la normativa asociada a la fibra de amianto, la manera cómo abordar la calificación de Asbestosis y Mesotelioma pleural. Al no existir estudios similares que focalicen las alteraciones pleurales como enfermedad pulmonar de origen ocupacional, el estudio se ve limitado, sin embargo, abre oportunidades para el desarrollo de investigación en los diferentes países de la región, que también están inmerso en la problemática de salud ocupacional de trabajadores de grandes, mediana, pequeñas empresas como de los rubros artesanales que para su proceso productivo utilizan aún polvos que contienen fibra de amianto, sin olvidar a los trabajadores que estuvieron expuesto en años anteriores previa a la prohibición en sus respectivos países de este agente neumoconiógeno.
La exposición a las fibras de amianto puede causar diversas enfermedades, como el mesotelioma pleural, cáncer de pulmón, placas pleurales, engrosamiento pleural difuso, derrame pleural benigno, atelectasias redondas y asbestosis. Estas enfermedades suelen desarrollarse después de una exposición prolongada al asbesto y pueden tener consecuencias graves para la salud. La detección temprana de las enfermedades relacionadas con el amianto es fundamental para un mejor pronóstico y tratamiento. Los métodos de detección incluyen pruebas de imagen, como radiografías de tórax con técnica OIT, tomografías computarizadas (TC), ecografía o ultrasonido de tórax y resonancias magnéticas (RM), así como pruebas de función pulmonar y biopsias para el diagnóstico definitivo.
Evitar la exposición al amianto es la forma más efectiva de prevenir la aparición y/o prevalencia enfermedades derivadas de este agente, sin embargo, cuando se requiere manipular, es primordial identificar los peligros y evaluar sus riesgos, a fin de poder controlarlos. La especialización por parte de los profesionales de la prevención de riesgos, la detección a través de herramientas cualitativas y cuantificación del asbesto a través del campo de la higiene industrial, la formación teórica/práctica de los trabajadores, la correcta selección junto con el uso adecuado y el cuidado de equipos de protección personal, la descontaminación del personal post procesos de manejo de asbesto, la adecuada ventilación de los ambientes de trabajo y el cumplimiento de las regulaciones de seguridad y salud ocupacional son medidas fundamentales para prevenir la inhalación de fibras de amianto, en consecuencia, realizar un manejo seguro es esencial para proteger la salud de los trabajadores y el público en general (Figura 9, 10, 11, 12, 13, 14, 15, 16, 17, 18, 19, 20, 21, 22, 23, 24, 25, 26).


















La conciencia y la educación sobre los peligros del amianto son fundamentales para prevenir la exposición y las enfermedades relacionadas. Tanto los empleadores como los trabajadores deben recibir capacitación adecuada sobre los riesgos del amianto, las medidas de seguridad y la importancia de seguir las pautas de prevención. En general, es esencial abordar de manera adecuada y responsable la presencia de amianto para prevenir la exposición y proteger la salud de las personas. La colaboración entre gobiernos, empresas, profesionales de la salud y la sociedad en general es clave para lograr un ambiente seguro y libre de amianto. Finalmente, en Chile los tribunales de justicia, han sostenido que la seguridad de los trabajadores es una obligación para las empresas, impuesta por la ley y los reglamentos de seguridad sanitaria e industrial. 74
a nuestros estimados estudiantes latinoamericanos, quienes nos inspiran a seguir profundizando en la investigación sobre los desafíos resultantes de la exposición de las personas a sustancias perjudiciales para la salud. el conocimiento que obtenemos nos capacita para educar a la sociedad civil acerca de los riesgos laborales y comunitarios, a través de estudios de investigación colaborativos junto a destacados científicos a nivel mundial.
Correspondencia: Diemen Delgado-García, Esmeraldas 761, 2100438, Los Andes, Chile. Email: diemen.delgado@uac.cl

























