Reporte de Caso
Recepción: 20 Septiembre 2022
Aprobación: 05 Enero 2023
DOI: https://doi.org/10.53732/rccsalud/2023.e5201
RESUMEN: La mucormicosis es una infección con una alta mortalidad, el pronóstico está en relación con el diagnóstico precoz, el tratamiento quirúrgico y antimicótico. Se presenta un varón de 65 años de edad, hipertenso conocido, tratado con losartan, ingresa con una historia de 15 días de evolución con astenia, anorexia, pérdida de peso y cefalea holocraneana, y ptosis palpebral de una semana de evolución. Al examen físico se constata una protrusión ocular y parálisis del tercer par del ojo derecho. Presentó hiperglicemia que fue revertida con insulina. La resonancia magnética de órbita y senos paranasales mostró un engrosamiento del nervio óptico derecho, ocupación de los senos paranasales. El paciente fue sometido a un tratamiento quirúrgico de la lesión retrocular, la biopsia de la lesión mostró al examen directo hifas hialinas compatible con mucorales. Se inició tratamiento con amfotericina B.
Palabras clave: Mucormicosis, diabetes mellitus, infecciones fúngicas invasoras.
ABSTRACT: Mucormycosis is an infection with high mortality, the prognosis is related to early diagnosis, surgical and antifungal treatment. We present a 65-year-old male, known hypertensive, under treatment with losartan, admitted with a 15-day history of asthenia, anorexia, weight loss and holocranial headache, and palpebral ptosis of one week's evolution. Physical examination revealed ocular protrusion and paralysis of the third pair of the right eye. The patient presented hyperglycemia that was reversed with insulin. Magnetic resonance imaging of the orbit and paranasal sinuses showed thickening of the right optic nerve, occupation of the paranasal sinuses. The patient underwent surgical treatment of the retrocular lesion, biopsy of the lesion showed hyaline hyphae compatible with mucorales on direct examination. Treatment with amphotericin B was started.
Keywords: Mucormycosis, diabetes mellitus, invasive fungal infections.
INTRODUCCIÓN
La mucormicosis es una infección fúngica poco frecuente, con alta morbilidad y mortalidad1-4. Los mucormicetos pertenecen al orden Mucorales, genero Rhisopus, Mucor, Rhisomucur, Lichtheimia, Cunninghamella, Saksenaea, Aphophysomyces1. El diagnóstico temprano y el tratamiento precoz quirúrgico y antimicótico se acompañan de un mejor pronóstico1.
Recientemente durante la pandemia del COVID-19, en julio 2021, se ha reportado en la India casos de mucormicosis en pacientes con COVID-19 severo, los pacientes eran diabéticos y se encontraban tratados con corticoides2.
Ante la sospecha de mucormicosis, es indispensable contar con los estudios de imágenes apropiados como la resonancia magnética para documentar la extensión de la enfermedad, seguida de una intervención quirúrgica. Así mismo se aconseja el tratamiento de primera línea con dosis altas de anfotericina B liposomal, mientras que se recomienda isavuconazol intravenoso y posaconazol intravenoso o comprimido de liberación retardada con una concentración moderada. Ambos triazoles son tratamientos de rescate altamente recomendados. No se recomienda el desoxicolato de anfotericina B debido a su toxicidad, pero puede ser la única opción en países con recursos limitados como el nuestro. El manejo de la mucormicosis depende del reconocimiento de los patrones de la enfermedad y del diagnóstico temprano1,3.
En este estudio se presenta un caso de un varón adulto mayor con una diabetes descompensada como debut con una mucormicosis rinocerebral, internado en el Hospital Nacional en agosto de 2022.
Caso clínico
Varón de 65 años, hipertenso conocido, tratado con losartan, quien consulta por un cuadro de 15 días de evolución, por astenia, anorexia, pérdida de peso, poliuria y polidipsia. Presenta cefalea holocraneana cuatro días antes del ingreso, que cede con analgésicos comunes. Refiere caída del parpado del lado derecho, una semana antes del ingreso; niega otros síntomas acompañantes.
Los signos vitales fueron: presión arterial 140/80 mmHg, frecuencia central 90/ minuto, frecuencia respiratoria 16/minuto, temperatura 36°. A la inspección se lo encuentra lucido, colaborador, portador de patología crónica agudizada, llama la atención una protrusión del globo ocular y ptosis palpebral derecha. Al examen físico se observa lengua seca, saburral, piel seca, signo del pliegue dos cruces, protrusión del globo ocular y parálisis del tercer par craneal derecho, resto del examen sin datos de valor. La glicemia al ingreso fue de 479 mg/dl, la serología para VIH fue negativa, los hemocultivos y urocultivo fueron negativos.
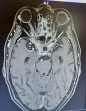
La resonancia magnética cerebral y de órbita mostró un engrosamiento del nervio ocular derecho y de su vaina nerviosa y signos inflamatorios de la grasa adyacente. Estos cambios se extienden hasta casi alcanzar el quiasma óptico. Ocupación casi completa de la luz de las celdillas etmoidales posteriores, del seno esfenoidal (Figura 1).
La resonancia magnética de senos paranasales mostró un engrosamiento mucoso con nivel hidroaéreo a nivel del seno maxilar izquierdo (Figura 2).
El estudio micológico directo con hidróxido de potasio del material de biopsia retrocular, se observan hifas hialinas cenocíticas compatibles con mucorales (Figura 3A).
En la coloración de Giemsa de material de biopsia de lesión retroocular se observan hifas hialinas cenocíticas compatibles con mucorales (Figura 3B).
El paciente fue tratado inicialmente con amoxicilina - sulbactan por la sinusitis, e insulina. Luego recibió tratamiento con anfotericina B con buena tolerancia. Hubo estabilización de la glicemia con insulina, con una glicemia de 153 mg/dl.



DISCUSIÓN
El paciente no se conocía diabético, debutó la enfermedad a los 65 años, fue tratado con hidratación parenteral, insulina regular con estabilización de la glicemia y recuperación del estado general. Por la protrusión ocular con parálisis del tercer par del ojo derecho se solicitó una resonancia magnética cerebral y de órbita, donde se observó un engrosamiento del nervio ocular derecho y de su vaina nerviosa y signos inflamatorios de la grasa adyacente. Estos cambios se extienden hasta casi alcanzar el quiasma óptico. También se observó una ocupación casi completa de la luz de las celdillas etmoidales posteriores, del seno esfenoidal. En los senos paranasales se observó un engrosamiento mucoso con nivel hidro-aéreo a nivel del seno maxilar izquierdo. Se inició antibióticos de amplio espectro por la sinusopatia. También al paciente se le realizó un tratamiento quirúrgico de la lesión retro orbitaria para diagnóstico y tratamiento, el examen directo de la lesión mostró hifas hialinas cenocíticas compatibles con mucorales, se inició anfotericina B que actualmente se encuentra recibiendo, con buena tolerancia.
Los agentes más frecuentes de mucormicosis son Rhizopus spp., Mucor spp. Y Lichtheimia (anteriormente Absidia y Mycocladus) spp. Los géneros de otros Mucorales, comoRhizomucor, Saksenaea, Cunninghamella y Apophysomyces, son más raros1.
La mucormicosis ha sido reportada en todo el mundo y los casos notificados van en aumento, probablemente por el aumento de los pacientes inmunocomprometidos, se considera que la mucormicosis en los países desarrollados se presenta sobre todo en los pacientes con neoplasias hematológicas y en los países en desarrollo en los pacientes con diabetes descompensada y secundaria a traumatismos1. Aldama et al, también reportaron cuatro casos de mucormicosis en el Paraguay, en pacientes con diabetes descompensada5. Las formas clínicas más frecuentes de la mucormicosis son la rino órbito cerebral como la presentada por nuestro paciente, la pulmonar, cutánea y la forma diseminada (1.
En pacientes inmunocomprometidos, la principal vía de infección parece ser la inhalación de esporangiosporas que causan infección pulmonar. La mucormicosis pulmonar se produce en pacientes con neutropenia profunda y en la enfermedad de injerto contra huésped1,4.
Los pacientes diabéticos típicamente presentan la forma rino-orbitaria. La infección rino-orbitaria-cerebral generalmente se origina en los senos paranasales, con destrucción ósea y posterior invasión de la órbita, el ojo y el cerebro. Puede haber edema facial unilateral, proptosis y fístula palatina o palpebral que se convierte en necrosis3.
La mucormicosis cutánea y de tejidos blandos son las formas más frecuentes de mucormicosis en pacientes inmunocompetentes, principalmente después de la rotura de la piel debida a una lesión traumática3.
Las tasas de mortalidad de la mucormicosis varían entre el 40 % y el 80 %, con tasas variables según las condiciones subyacentes y los sitios de infección. La enfermedad diseminada, especialmente al SNC, a menudo se asocia con tasas de mortalidad superiores al 80%3.
La sospecha de mucormicosis requiere una intervención rápida, debido a la naturaleza rápidamente progresiva y destructiva de la infección. El retraso en el inicio de la terapia se asocia con una mayor mortalidad3.
El diagnóstico de mucormicosis sobre la base histomorfológica es un desafío, y la causa más común de un diagnóstico morfológico incorrecto es la identificación errónea de Mucorales como Aspergillus spp. La aplicación de inmunohistoquímica con anticuerpos monoclonales disponibles comercialmente o técnicas de PCR en tejido fresco o fijado en formalina e incluido en parafina, ha demostrado ser altamente específica, pero estas pruebas solo están disponibles en los centros de referencia3,4.
El desbridamiento quirúrgico es fundamental para el diagnóstico y tratamiento y debe realizarse precozmente. Además de la cirugía y la terapia antimicótica, la reversión del factor de riesgo subyacente de infección es importante para la respuesta al tratamiento (1-6. La resección o el desbridamiento deben repetirse según sea necesario3,4.
Actualmente, se cuentan con los nuevos antifúngicos (posaconazol e isavuconazol), que aún no están disponibles en los hospitales públicos en nuestro país, y la anfotericina B liposomal, que sigue siendo el fármaco de elección para el tratamiento antifúngico inicial (1,3. Actualmente, se están desarrollando nuevas drogas para tratar esta micosis y disminuir la mortalidad por este hongo7.
Se desconoce la duración de la terapia necesaria para tratar la mucormicosis. En general, se administran semanas o meses de terapia. Si se resuelve el defecto inmunitario, por ejemplo, se controla la diabetes, se resuelve definitivamente la neutropenia, se puede disminuir o detener la inmunosupresión, se puede continuar la terapia hasta la resolución de los signos y síntomas de infección y una mejoría radiográfica sustancial3,4.
A fines del año 2020, la mucormicosis fue reportada en pacientes con COVID-19 y la mayoría de los casos informados eran de la India2,9. Los casos se incrementaron y la Organización Mundial de la Salud9, tuvo que emitir una alerta epidemiológica en junio del 2021 debido al aumento de casos de mucurmicosis en personas con COVID-19, que eran sobre todo personas con diabetes mellitus y tratadas con esteroides, principalmente, en la India. Los casos de mucormicosis ya estaban aumentando en la India antes de la pandemia. Lo que dio lugar al término de Mucormicosis asociada a Covid-19 (CAM) por sus siglas en inglés9. Esta alta incidencia se ha relacionado principalmente con el aumento de la población de pacientes con diabetes no controlada en la India10.
Las afecciones preexistentes, el uso de antibióticos de amplio espectro y glucocorticoides, se consideraron como los probables factores de riesgo para la presentación de micosis sistémicas en los pacientes con COVID-19 grave2,9. Luego los casos también fueron reportados en varios países del mundo11-14.
En el Paraguay, Almirón et al15, reportaron un caso de mucormicosis gastrointestinal en un varón de 65 años, hipertenso y obeso. Fue ingresado por un cuadro de COVID-19 severo, presento un síndrome de distrés respiratorio agudo asociado a Covid-19, fue conectado a Asistencia Respiratoria Mecánica, recibió tratamiento con dexametasona (8mg/EV/día). Al mes de tratamiento, el paciente presentó un sangrado intestinal, la colonoscopía en colon ascendente, mostró una tumoración protruyen te en ciego con estigmas de sangrado reciente. La anatomía patológica reveló un “material necroinflamatorio y fragmentos de tejido de granulación, presencia de estructuras micóticas compatibles morfológicamente con mucormicosis”, imágenes observadas con coloración de rutina (Hematoxilina y Eosina). Se sometió a laparotomía exploradora de urgencia, con hallazgo operatorio de proceso tumoral estenosante y ulcerado de 5cm en el colon transverso, con rotura de la cara posterior del colon, se realizó resección tumoral en bloque más vaciamiento ganglionar del eje mesentérico quirúrgico. La anatomopatológica mostró células gigantes multinucleadas con hifas gruesas en su interior, ramificaciones en ángulo recto, compatible morfológicamente con Mucormicosis. Los cultivos fueron negativos. Recibió tratamiento con Anfotericina B liposomal, a dosis de 5mg/kp, falleció 21 días después de iniciado el tratamiento. El caso reportado representa una forma rara de presentación de la mucurmicosis no pudiendo descartarse otras localizaciones de la infección en el paciente. El diagnóstico de mucurmicosis fue hecho en el paciente por los hallazgos histológicos, los cultivos fueron negativos.
Para confirmar una infección histológicamente, se deben mostrar hifas no pigmentadas que muestren invasión de tejido en secciones de tejido teñidas con hematoxilina-eosina (HE), tinción de ácido peryódico de Schiff (PAS) o tinción de plata-metenamina de Grocott-Gomori (GMS), o ambas. Histopatológicamente, las hifas de Mucorales tienen un ancho variable de 6 a 16 μm, pero pueden tener hasta 25 μm y son no septadas o pauciseptadas. En el tejido, las hifas aparecen en forma de cinta con un patrón irregular de ramificación. Las hifas pueden parecer artificialmente tener tabiques porque el tejido puede doblarse sobre sí mismo durante el procesamiento, lo que puede crear líneas artificiales que pueden confundirse con tabiques. De manera similar, el ángulo de ramificación de 90° históricamente descrito de Mucorales en el tejido, en comparación con el ángulo de ramificación de 45° de los mohos septados, puede ser difícil de identificar en el tejido debido a las presiones intersticiales ejercidas sobre los hongos por el tejido y las alteraciones en la arquitectura del tejido durante el procesamiento. Por lo tanto, la naturaleza más ancha e irregular (en forma de cinta) de las hifas son características distintivas más confiables que los tabiques y el ángulo de ramificación4.
Muthu et al11, reportaron que la diabetes mellitus se observó con mayor frecuencia en los casos notificados en la India que en otros lugares (66,1 % frente a 54,8 %), mientras que las neoplasias malignas hematológicas y los receptores de trasplantes de órganos se notificaron con mayor frecuencia en el resto del mundo. La mucormicosis se diagnosticó después de una media de 19,5 días desde el diagnóstico de COVID-19, y la mayoría de los casos fueron CAM tardía. El veinticinco por ciento de los casos de mucormicosis de la India se diagnosticaron dentro de los siete días posteriores a la COVID-19 (CAM temprana) en comparación con casi el 36 % del resto del mundo (p= 0,028). En general, la mucormicosis rino-orbital (ROM) y rino-órbito-cerebral (ROCM) fueron las presentaciones más frecuentes de CAM.
La notificación uniforme sería el paso inicial para proporcionar pistas significativas al analizar la base del resurgimiento de la mucormicosis en el contexto de COVID-1911.
Es necesario aumentar la sospecha clínica, contar con los nuevos métodos diagnósticos, los cuales aumentarían la rentabilidad diagnostica junto con los métodos diagnósticos convencionales como el examen directo y los cultivos para tratar de disminuir la mortalidad por este hongo..
REFERENCIAS BIBLIOGRÁFICAS
Skiada A, Lass-Floerl C, Klimko N, Ibrahim A, Roilides E, Petrikkos G. Challenges in the diagnosis and treatment of mucormycosis. Med Mycol. 2018 Apr 1; 56(suppl_1):93-101. https://doi.org/10.1093/mmy/myx101
Selarka L, Sharma S, Saini D, Sharma S, Batra A, Waghmare VT, et al. Mucormycosis and COVID-19: An epidemic within a pandemic in India. Mycoses. 2021 Oct; 64(10): 1253-60. https://doi.org/10.1111/myc.13353 .
Al-Tawfiq JA, Alhumaid S, Alshukairi AN, Temsah MH, Barry M, Al Mutair A, et al. COVID-19 and mucormycosis superinfection: the perfect storm. Infection. 2021 Oct; 49(5): 833-853. https://doi.org/10.1007/s15010-021-01670-1.
Cornely OA, Alastruey-Izquierdo A, Arenz D, Chen SCA, Dannaoui E, et al. Global Guideline Writing Group. Global guideline for the diagnosis and management of mucormycosis: an initiative of the European Confederation of Medical Mycology in cooperation with the Mycoses Study Group Education and Research Consortium. Lancet Infect Dis. 2019 Dec; 19(12): e405-e421. https://doi.org/10.1016/S1473-3099(19):30312-3 .
Aldama Caballero A, García Duarte J, Aldama Negrete F, Insaurralde S, Mendoza de Sánchez G, Celías L. Mucormicosis rinocerebral - Reporte de 4 casos. An. Fac. Cienc. Méd. (Asunción) [Internet]. 2017 Dec [cited 2022 Sep 03]; 50(3): 75-82. https://doi.org/10.18004/anales/2017.050(03)75-082
Steinbrink JM, Miceli MH. Mucormycosis. Infect Dis Clin North Am. 2021 Jun; 35(2):435-52. https://doi.org/10.1016/j.idc.2021.03.009 .
Jeong W, Keighley C, Wolfe R, Lee WL, Slavin MA, Kong DCM, Chen SC. The epidemiology and clinical manifestations of mucormycosis: a systematic review and meta-analysis of case reports. Clin Microbiol Infect. 2019 Jan; 25(1):26-34. https://doi.org/10.1016/j.cmi.2018.07.011.
Imran M ASA, Tauseef M, Khan SA, Hudu SA, Abida. Mucormycosis medications: a patent review. Expert Opin Ther Pat. 2021 Nov; 31(11): 1059-74. https://doi.org/10.1080/13543776.2021.1939308 .
Organización Mundial de la Salud. Alerta Epidemiológica Mucormicosis asociada a la COVID-19. https://fi-admin.bvsalud.org
Dilek A, Ozaras R, Ozkaya S, Sunbul M, Sen EI, Leblebicioglu H. COVID-19-associated mucormycosis: Case report and systematic review. Travel Med Infect Dis. 2021 Nov-Dec; 44: 102148. https://doi.org/10.1016/j.tmaid.2021.102148
Muthu V, Rudramurthy SM, Chakrabarti A, Agarwal R. Epidemiology and Pathophysiology of COVID-19-Associated Mucormycosis: India Versus the Rest of the World. Mycopathologia. 2021 Dec; 186(6): 739-54. https://doi.org/10.1007/s11046-021-00584-8
Song G, Liang G, Liu W. Fungal Co-infections Associated with Global COVID-19 Pandemic: A Clinical and Diagnostic Perspective from China. Mycopathologia. 2020 Aug; 185(4): 599-606. https://doi.org/10.1007/s11046-020-00462-9.
Bhatt K, Agolli A, Patel MH, Garimella R, Devi M, Garcia E, et al. High mortality co-infections of COVID-19 patients: mucormycosis and other fungal infections. Discoveries (Craiova). 2021 Mar 31; 9(1): e126. https://doi.org/10.15190/d.2021.5
Pemán J, Ruiz-Gaitán A, García-Vidal C, Salavert M, Ramírez P, Puchades F, et al. Fungal co-infection in COVID-19 patients: Should we be concerned? Rev Iberoam Micol. 2020 Apr-Jun; 37(2): 41-46. https://doi.org/10.1016/j.riam.2020.07.001
Almiron D, Ramírez A, Jara V, Ortiz W, Soto N, Dávalos K, et al. Un caso fatal de mucormicosis gastrointestinal asociada a Covid-19. Rev cient cien salud. 2022; 4(1): 130-4. https://doi.org/10.53732/rccsalud/04.01.2022.130
Notas
Notas de autor
Autor correspondiente: Dora Montiel. email: dradoramontiel@hotmail.com