RESUMEN: El trauma dentoalveolar es considerado la segunda causa de urgencias odontológicas, sien los niños y adolescentes los más afectados. La etiología está relacionada a la edad; en niños preescolares, las caídas son una causa muy común de lesiones traumáticas dentales, mientras que en los niños de edad escolar, las lesiones son más frecuentes por actividades deportivas. Suelen suceder en entornos académicos como la escuela, donde el docente es el principal sujeto a quien acuden para la atención preliminar de este tipo de eventos. Por tales argumentos son importantes los conocimientos y actitudes que posean los docentes, debido a que dichas acciones determinarán el pronóstico y tratamiento, más aun, por la relación existente entre el tiempo transcurrido y las acciones realizadas por parte del profesional odontológico. El objetivo de esta revisión sistemática fue describir la existencia de conocimientos y actitudes de docentes de primaria y secundaria sobre el manejo del trauma dentoalveolar; en la cual N=9 publicaciones cumplieron con los criterios de elegibilidad, empleando las bases de datos Pubmed, Scielo y Clinical Keys y descriptores en idioma inglés y español. Se evidencia que existe conocimiento inadecuado, mientras que la actitud del docente frente al trauma dental en la mayoría de los estudios no fue evaluada.
Palabras clave: conocimientos y actitudes de preescolarconocimientos y actitudes de preescolar,primariaprimaria,secundariasecundaria,docentesdocentes,trauma dentoalveolartrauma dentoalveolar.
ABSTRACT: Dentoalveolar trauma is considered the second cause of dental emergencies, with children and adolescents being the most affected. The etiology is related to age: in preschool children, falls are a very common cause of traumatic dental injuries, while in school-age children, injuries are more frequent from sports activities. Dental falls usually happen in academic environments such as school, where the teacher is the main subject to whom ones go for the preliminary attention of this type of event. For such reasons, the knowledge and attitudes possessed by teachers are important, because their actions will determine the prognosis and treatment, especially due to the relationship between the time elapsed and the actions carried out by the dental professional. The objective of this systematic review was to describe the existence of knowledge and attitudes of primary and secondary school teachers on the management of dentoalveolar trauma. In the revision we evidence N = 9 publications met the eligibility criteria, using the Pubmed databases, Scielo and Clinical Keys and descriptors in English and Spanish. It is evident that there is inadequate knowledge, while the teacher's attitude towards dental trauma in most of the studies was not evaluated.
Keywords: Knowledge and attitudes of preschool, primary, secondary, teachers, dentoalveolar trauma.
Artículos originales
Conocimientos y actitudes de docentes de preescolar, primaria y secundaria sobre trauma dentoalveolar
Knowledge and Attitudes of Preschool, Primary and Secondary Teachers About Dentoalveolar Trauma
Recepción: 09 Febrero 2021
Aprobación: 09 Abril 2021
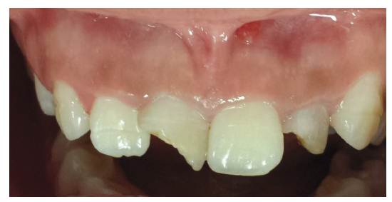
El trauma dentoalveolar (TDA) se define como una lesión de extensión e intensidad variables de origen accidental o intencional; es causado por fuerzas que actúan sobre el órgano dental y los tejidos que le rodean, pudiendo ser observadas o diagnosticadas a simple vista o con la ayuda de la radiografía (foto 1 y 2). Siempre debe ser considerado como una situación de urgencia que debe diagnosticar y tratar rápida y certeramente al odontólogo general integral 1. Sin embargo, su manejo es una fuente constante de dificultades para el clínico, debido a la complejidad del diagnóstico y tratamiento adecuado 2, entendiendo que el pronóstico dependerá de un rápido y adecuado tratamiento 3)-(5.
Cada día el TDA toma mayor relevancia a nivel mundial, siendo considerado la segunda causa de atención a nivel odontológico, y se observa un aumento considerable por los cambios producidos en la vida moderna 5, siendo las poblaciones de la niñez y, adolescencia las más afectadas 1), (3)-(6.
Los factores etiológicos están muy relacionados a la edad del paciente; en niños preescolares las caídas son una causa muy común de injurias orales, mientras que en los niños de edad escolar las injurias son más a menudo causadas por la práctica de deporte; por tal razón es importante que el manejo inicial que se le dé al TDA sea el adecuado, así se podría reducir o evitar las posibles secuelas y no afectar la calidad de vida del paciente 6),(7.


En 2016, Marriaga et al. 3 describieron, en un estudio realizado a odontólogos generales del sector público de la ciudad de Barranquilla (Colombia), que el grado de conocimiento de TDA era regular en un 60.6 % y aceptable en un 18.8 %, mientras que el 12.12 % presentó un conocimiento malo, y solamente el 9.09 % de los encuestados presentó un grado de conocimiento considerado bueno 3. El TDA a menudo ocurre en la escuela o durante las actividades extracurriculares donde es supervisado por adultos, tales como personal escolar, quienes con frecuencia se encuentran cerca o en la escena del accidente 8; por tal motivo es de suma importancia el papel que juega el personal docente en el momento en que sucede el accidente, la actitud y el conocimiento básico sobre el TDA determinará el pronóstico y tratamiento, debido a que hay una estrecha relación entre el tiempo transcurrido y las acciones realizadas por parte del profesional. Es por ello que el objetivo de este artículo es describir la existencia de conocimientos y actitudes de docentes de primaria y secundaria sobre el manejo del TDA, mediante una revisión exploratoria de la literatura.
Se realizó una revisión sistemática de la literatura incluyendo análisis. Para garantizar la validez interna y externa, como la magnitud de los resultados, el protocolo de investigación cumplió con los aspectos conceptuales y metodológicos de la Declaración PRISMA 9.
La población objetivo para esta revisión fueron publicaciones de investigaciones descriptivas, que se orientaran a puntualizar en cuanto a los conocimientos y actitudes de profesores o cuidadores de pacientes con TDA. No existió intervención ni comparador de interés.
La revisión se realizó de forma manual y computarizada por dos auxiliares de investigación, empleando las bases de datos global Pubmed, Scielo y Clinical Keys. Finalmente, la búsqueda se efectuó eliminando las entradas repetidas y limitadas a los primeros 70 resultados, con fechas de publicación.
Se emplearon los siguientes descriptores de búsqueda en español: "Conocimientos sobre del TDA", "actitudes de docentes de primaria y manejo del TDA", "conocimientos y actitudes de docentes de sobre el manejo del TDA", "nivel conocimientos y actitudes de docentes de secundaria sobre el manejo del TDA", "avulsión dental y cuidadores", "TDA y profesores de secundaria", "TDA y docentes de primaria", "conocimientos de TDA en docentes de preescolar". Se emplearon los siguientes descriptores de búsqueda en idioma inglés: Knowledge about TDI, attitudes of primary school teachers about TDI management, knowledge and attitudes of teachers about TDI management, level ofknowledge and attitudes of secondary school teachers about TDI management, dental avulsion and caregivers, TDI and teachers high school, TDI and primary teachers. Knowledge and attitudes of preschool, and about TDI.
La selección se obtuvo mediante la pertinencia o no pertinencia, analizando 70 artículos en texto completo, de los cuales fueron excluidos 20 por no ser elegibles, con un remanente de 50 artículos para la revisión de los títulos y resúmenes arrojados por cada entrada. En esta revisión se excluyeron 30 artículos que no indicaban la pertinencia; después de analizar los títulos y resúmenes, restaban 20 artículos para la lectura del texto completo por no encontrar suficiente información en los resúmenes en la selección preliminar; de esta preselección se excluyeron nuevamente 11 artículos por no contener datos suficientes y se eligieron 9 para el análisis de datos final. Para extracción de los datos se tomaron en cuenta los autores, país, año de publicación, artículos de investigación, objetivo de la investigación, evaluación de conocimientos y actitudes, tipo de instrumentos empleados para tal fin, sexo de los profesores investigados y tipo de TDA (figura 1).

La búsqueda en todas las bases de datos anteriormente descritas finalizó el 22/09/2020. Todos los resultados se consignaron en una matriz de Microsoft Excel, donde se registró la fecha de búsqueda, la ecuación definida, los limitadores aplicados, el número de resultados obtenidos y las referencias seleccionadas. Como ejemplo de esto, la búsqueda en PubMed se inició el 01/07/2019 y finalizó el 22/01/20. Se aplicó la ecuación de búsqueda definida con las cuatro categorías mencionadas, y se obtuvo un total de 1131 resultados filtrados y revisados por "abstract", para un total de 70 potencialmente elegibles, sometidos posteriormente a lectura completa para evaluación de calidad metodológica y cumplimiento de todos los criterios de inclusión.
En esta revisión se seleccionaron n=9 artículos para el análisis de datos final. Los más antiguos corresponden a el año 2005, siendo n=2 los más actuales para 2018; n=4 autores latinoamericanos y n=5 autores extranjeros 8)-(17.
Todos los estudios incluidos en esta revisión fueron investigaciones descriptivas transversales, de los cuales solo n=1 estudio fue multicéntrico 11.
En todos los estudios fueron evaluados docentes de primaria y secundaria de acuerdo con conocimientos y actitudes sobre TDA, un total de N=4608 estudiados, siendo el grupo de menor proporción el realizado por Angenscheidt Bidegain L et al. 12, con un n=44.
De acuerdo con el sexo biológico de los docentes evaluados, la mayoría de los estudios describe que corresponden al femenino, siendo la docencia el área de formación más frecuente en este género.
En cuanto a nivel de escolaridad en que los docentes ejecutaban sus labores, n=4 estudios fueron en docentes de primaria exclusivamente; n=2 dictaban sus clases en preescolar, primaria y secundaria, y n=2 no especificaron en qué grado escolar pertenecían 13),(14 (tabla 1).
Del total de los estudios seleccionados en esta revisión se logró identificar que solo n=2 especifican el motivo del TDA, y describen que la etiología fue relacionada a caídas por escaleras, actividad deportiva y trauma contundente directo 13),(14.
Con relación al tipo de TDA, n=1 estudio analizado en esta revisión describe la fractura coronal y avulsión dental; n=2 hacen referencia solo a avulsión dental; n=2 describen TDA con relación a fractura dental, sin especificar de qué tipo y avulsión dental; n=1 se refiere a fractura, luxación y avulsión dental, y n=2 no especifican el tipo de TDA (tabla 1)
En cuanto a los instrumentos de investigación empleados para evaluar y determinar el nivel de conocimientos y actitudes frente al TDA en profesores, en esta revisión sistemática exploratoria se logró identificar que n=7 estudios emplearon cuestionarios estructurados elaborados por los propios autores; n=1 ejecutó una encuesta, y solo n=1 incluyó escala de opinión 12 (tabla 2).
En cuanto a los resultados de los estudios analizados en esta revisión, respecto a los conocimientos de los profesores, McIntyre J et al. 8 concluyen que tenían deficientes conocimientos con relación al TDA, pero no especifican el nivel de actitudes presentada. Chávez et al. 10 categorizan descriptivamente los conocimientos en "malo", "regular" y "bueno", siendo "regular" el resultado más frecuente. El mismo autor caracteriza las actitudes en "negativa", "indiferente" y "positiva". La mayor frecuencia la presenta "indiferente" (tabla 2).
Marcano CM et al. 11 describen, según la evaluación de los conocimientos, que cuando exista fractura coronal el 50 % de los docentes enviaría al estudiante a enfermería o la casa de sus padres y el 63 % buscaría el fragmento del diente fracturado. Cuando exista avulsión, el 75.4 % buscarían el diente; 5.8 % lo haría para reposicionarlo y un 66.7 % lo guardaría y lo enviaría al odontólogo o médico. El 58.9 % almacenaría el diente en un ambiente seco, y solo el 49.8 % consideró que la atención dental debería ser recibida lo antes posible. Concluyeron que el conocimiento es inadecuado según sus categorías de evaluación. En cuanto a las actitudes, describieron que el 90 % está de acuerdo en que deberían saber sobre la atención primaria de odontología en relación con TDA. Más del 90 % estuvo de acuerdo en que con un breve entrenamiento el cuidado del trauma dental definitivamente mejoraría; 41.5 % de todos los profesores de la escuela creía que los primeros auxilios de trauma dental son estrictamente profesionales y no requieren la atención por parte del profesor.
Caglar et al. 13 refieren, en cuanto a conocimientos, que de los N=78 profesores evaluador, n=58 admitieron no tener conocimiento de trauma dental. Describen que el conocimiento sobre los medios de almacenamiento óptimos para los dientes permanentes avulsionados fue muy bajo. Asimismo, que la mayoría de los maestros no conocían la importancia del control de la vacuna contra el tétanos después de un trauma dental. En general, el nivel de conocimiento de los profesores sobre el trauma dental fue inadecuado. En relación con las actitudes, los profesores presentaron una actitud negativa en la con respecto al nivel de respuesta frente al TDA (tabla 2)
Al-Jundi et al. 14 concluyen en su estudio que en cuento a conocimientos, el 56.3 % de los profesores evaluados manejó inadecuadamente casos de fractura dental, y el 80.5 % inadecuadamente casos de avulsión dental. El 97 % de los encuestados pensó que su conocimiento sobre el manejo de emergencia del trauma dental era insuficiente. En general, el conocimiento de los profesores sobre el manejo de emergencia de los casos de TDA fue deficiente. En relación con las actitudes, mostraron una actitud positiva con respecto al interés por mejorar su nivel de conocimiento sobre TDA (Tabla 2)
Alsadhan S et al 15, describe en su investigación, respecto a los conocimientos de los profesores evaluados, que más de la mitad de los participantes de la muestra declaró que no sabía cómo manejar las lesiones de tejidos blandos en caso de trauma; solo el 15 % respondió correctamente el manejo de fractura dental; un 6,2 % respondió correctamente sobre el manejo de los dientes avulsionados; un 55.1 % describió que ha experimentado algún tipo de trauma dental en sus estudiantes, y el 55.7 % informó que no pudo diferenciar entre dientes primarios y permanentes. No hubo diferencia estadísticamente significativa entre los docentes de escuelas públicas o privadas. Igualmente, se identificó que los profesores en edades entre 41 a 50 años y aquellos con años de experiencia más largos tenían el más alto nivel de conocimiento. Concluyeron que existe falta de conocimiento entre los maestros sobre el trauma dental y su manejo. No se evaluaron variables en relación con las actitudes (tabla 2).
Moré Posada et al. 16 describen que el 68,2% de los docentes investigados no recibió información sobre trauma dental; el 25 % respondió desconocer qué hacer ante la situación de un diente avulsionado, y el 30,5 % indicó desconocer el medio de almacenamiento ideal para un diente avulsionado. Concluyeron que los docentes tienen un bajo nivel de conocimiento sobre trauma dental, y no evaluaron variables inherentes a las actitudes, semejante al estudio realizado por Al-Sehaibany 17 (tabla 2).


Altay et al. 18 realizaron un estudio en Turquía en el que demostraron que las lesiones traumáticas en niños y adolescentes son un problema común. Aguirre et al. por medio de un estudio retrospectivo observaron diferentes valores epidemiológicos concernientes al TDA, mostraron que existe una mayor incidencia en hombres (72,01 %) sobre las mujeres (27,99 %) y un promedio de edad de 6 a 10 años (31,52 %), seguido de 11 a 15 años (14,76 %). Así mismo, evidenciaron que el incisivo central superior era el órgano dental más afectado (65,65 %), seguido del incisivo lateral superior (19,67 %). Los factores etiológicos más frecuentes son las caídas (51,71 %), accidentes de tránsito (22,90 %), violencia (5,67 %), actividades deportivas (5,43 %), entre otros. En lo referente a tipo de traumas reportaron que la fractura coronal no complicada es la de mayor aparición (26,95 %), seguida de avulsión (18,30 %) y fractura coronal complicada (17,71 %).
A nivel local, Eraso et al. 19 examinaron 325 escolares durante dos años, 24 estudiantes (7,4 %) habían presentado algún tipo TDA; de este grupo, 17 (70,8 %) tenían 11 años de edad, siendo más frecuente en hombres, con 17 casos (70,8 %). La relación fue de 2.3:1 con respecto al sexo femenino. De acuerdo con el lugar de ocurrencia, el TDA se presentó principalmente en la casa, con 10 casos (41,7 %); en la calle, con 8 casos (33,3 %), y 6 casos (25 %) en el colegio.
Con respecto al conocimiento de TDA en odontólogos generales, estudios independientes realizados en diferentes países, como Australia, Dinamarca, Brasil, Argentina y Estados Unidos de América, han demostrado que el conocimiento sobre TDA no es muy conciso.
Traebert et al. 20 en Brasil reportaron que el 28 % de los profesores tuvo un nivel de conocimiento regular, y solo el 2,2 % tuvo un nivel de conocimiento adecuado.
Intyre y col. en Estados Unidos reportan que solo el 25 % de los profesores escolares afirmó haber recibido información acerca de TDA; el 44 % respondió que frente a una avulsión no reimplantarían el diente, y el 28 % no sabía cómo hacerlo.
Chávez et al. 10 evaluaron la actitud de los estudiantes de pedagogía del último semestre, y evidenciaron que el 63,1 % de los encuestados presentó una actitud indiferente ante un TDA; de igual manera, Quintana et al. 21 reportaron que el 44,1 % de los profesores tuvo una actitud inadecuada al momento de presenciar un TDA.
Marcano et al. 11,en su estudio multicéntrico en Colombia con 251 escuelas entre públicas y privadas, y a través de una encuesta a 2390 maestros con preguntas relacionadas con su conocimiento y actitud hacia el manejo del TDA de emergencia, encontraron que la mayoría de los docentes escolares (95 %) nunca había recibido capacitación relacionada con el trauma dental; el 35 % había presenciado al menos 1 caso de TDA, y solo el 5,8 % habría reimplantado un diente avulsionado. Se encontró una asociación entre la experiencia laboral y el manejo adecuado de un diente avulsionado. Concluyeron que el conocimiento de los maestros de escuela en Colombia sobre el manejo del trauma dental de emergencia es inadecuado.
Acorde con los hallazgos en la revisión realizada, logramos observar que el género femenino predominó como objeto de estudio de la mayoría de las investigaciones consultadas, y el grado de educación básica primaria fue el foco de estudio considerando la edad de los infantes. Respecto al tipo de trauma dental, la fractura y la avulsión fueron los traumatismos más analizados en los estudios examinados, teniendo en cuenta la relevancia de estos en el pronóstico del diente traumatizado. Así mismo, predomina el conocimiento inadecuado, mientras que la actitud del docente frente al trauma dental en la mayoría de los estudios no fue evaluada. Lo cual puede tener cierta importancia, debido a que los primeros minutos de haberse presentado el trauma dental son claves para la supervivencia del diente y, por ende, pero el éxito del tratamiento posterior; a su vez, el cuestionario es el instrumento de recolección de datos más utilizado por parte de los estudios analizados, por encima de la entrevista, la cual para un individuo que no está familiarizado con un tema específico, podría ser más manejable al momento de realizarla.




