RESUMEN: El mixoma odontogénico mandibular es un tumor mesenquimal de comportamiento benigno, recurrente y localmente invasivo, su principal localización es mandibular. Se describe un caso en una paciente femenina de 39 años de edad, con un mixoma odontogénico mandibular en zona parasinfisiaria derecha, asintomática y de tiempo de evolución desconocido. Se llevó a cabo un adecuado diagnóstico, ejecución de plan de tratamiento quirúrgico conservador del caso;, el análisis histopatológico confirmó la presencia de un mixoma odontogénico mandibular. Finalmente, con evolución posoperatoria favorable.
Palabras clave: Mixoma, mandibular, tumor, odontogénico, cavidad bucal.
ABSTRACT: Mandibular odontogenic myxoma is a benign, recurrent, and locally invasive mesenchymal tumor, its main location is mandibular. A case is described in a 39-year-old female patient with a mandibular odontogenic myxoma in the right parasymphyseal area, asymptomatic, and with an unknown evolution time. An adequate diagnosis was carried out, execution of the case's conservative surgical treatment plan, the histopathological analysis confirmed the presence of a mandibular odontogenic myxoma. Finally, with a favorable postoperative evolution.
Keywords: Myxoma, mandibular, tumor, odontogenic, oral cavity.
Caso clínico
Mixoma odontogénico mandibular en la parasínfisis: reporte de un caso infrecuente
Odontogenic Mandibular Myxoma in the Parasymphysis: Report of an Infrequent Case.
Recepción: 28 Enero 2021
Aprobación: 05 Octubre 2021
El mixoma odontogénico (MOM) pertenece a un raro grupo de neoplasias odontogénicas que afectan a los huesos maxilares. Surge de tejidos mesenquimales en etapas embrionarias y presenta un comportamiento variable y benigno, pero localmente agresivo, manifestándose como una tumefacción lenta, asintomática y altamente recurrente 1. El MOM rara vez se presenta a nivel de la zona parasinfisiaria 2-4.
La tomografia computarizada (TC) es una herramienta de gran valor, más cuando se requiere establecer los límites tumorales, perforación cortical e invasión a las estructuras adyacentes 3. Salti et al. lo describen como una lesión isodensa unilocular o multilocular con límites bien definidos, algunas veces con presencia de trabéculas escleróticas de variables apariencias, a veces con desplazamiento dental y reabsorción radicular 4.
Histopatológicamente, el MOM se caracteriza por células estrelladas y fusiformes incrustadas en una matriz extracelular, rico en tejido mixoide, con escaso colágeno y sin cápsula 3-5. El tratamiento empleado en la actualidad abarca desde legrado de la lesión hasta resección en bloque con amplios márgenes con el fin de evitar la recurrencia. De hecho, todavía no existe un consenso claramente establecido sobre el tratamiento quirúrgico específico del MOM 1,5,6.
El objetivo de este reporte es describir un caso clínico infrecuente de MOM en zona parasinfisiaria derecha. Se destacando la importancia de lo raro del caso en relación con la ubicación anatómica de presentación y el sexo del paciente.
Paciente femenina de 39 años de edad, sin antecedentes personales ni familiares de relevancia clínica, quien fue remitida de otro servicio a Estomatología y Cirugía Oral de una institución de salud de Barranquilla (Colombia). Al examen extraoral y revisión de órganos y sistemas no se evidenciaron hallazgos trascendentales. Se ordenaron exámenes paraclínicos, como el hemograma completo, los cuales se encontraron dentro de los parámetros normales.
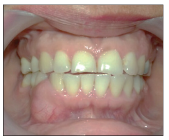
Al examen semiológico intraoral se evidenció tumefacción en la mandíbula, sin asimetría facial, en región parasinfisiaria a nivel de los dientes 43 y 44 por vestibular, que presentaron movilidad grado 2, de consistencia firme, indolora, de tamaño aproximado de 1 cm de diámetro, circunscrito, de base sésil y con mucosa de revestimiento, hidratada y rosada pálida igual a la mucosa adyacente, de evolución desconocido (figura 1). Se realizó inicialmente radiografías: panorámica y periapical, y se evidenció lesión radiolúcida circunscrita en región interproximal de órganos dentales 43 y 44 con desplazamiento de las raíces y con apariencia de pompas de jabón.

Se ordenó tomografía computarizada haz cónico (TCBC) sectorizada, la cual mostró un amplio campo de la lesión multilocular de limites definidos, trabeculado; la cortical vestibular se evidenció totalmente reabsorbida, sin perforación de la cortical lingual, la cual también se evidenció parcialmente reabsorbida. No se observó afectación de la basal mandibular ni reabsorción de los órganos dentales implicados (figura 2).

Se decidió realizar extirpación quirúrgica completa bajo anestesia local debido a la pequeñez de la lesión, según como evolucionara el procedimiento y según las características del espécimen por extraer, teniendo como impresiones diagnósticas ameloblastoma y queratoquiste odontogénico. Los procedimientos se ejecutaron previo a la firma de un consentimiento informado en el que se le explicó a la paciente posibles riesgos y los beneficios que se podrán obtener. Bajo anestesia local, técnica mandibular y lingual, con articaina al 4 % con epinefrina 1:100.000, incisión y colgajo mucoperióstico, se obtuvieron porciones de tejido cauchosos y resilentes, las cuales se evidenciaron adheridas al defecto óseo y al tejido blando; el lecho quirúrgico fue cureteado y fresado con el fin de evitar recidivas. Finalmente se realizó hemostasia y se suturó con sutura no reabsorbible Vycril 4-0. Los órganos dentales 43 y 44 no se extrajeron, debido a que la paciente decidió conservarlos, aunque se le explicó la posible recurrencia de la lesión si se mantenían. Las múltiples muestras obtenidas fueron incluidas en formol al 10 %, rotuladas y enviadas a laboratorio de patología oral. Finalmente se ordenaron medicamentos, tipo antibióticos y analgésicos antinflamatorios acompañado de recomendaciones preventivas posoperatorias.
Tras el control posquirúrgico (8 días) se retiraron los puntos de sutura, sin procesos infecciosos ni inflamatorios visibles, con buen proceso de cicatrización. El reporte patológico describió un tejido denso hipocelular con focos de hemorragia, células fusiformes y en forma de estrellas dispuestas de manera desordenada, asociado a MOM (figura 3). Finalmente, se le recomendó a la paciente controles clínicos radiográficos y tomográficos luego de 3 meses y 6 meses.

Los mixomas pueden presentar ubicación intraósea o periférica según la ubicación anatómica. Autores como Rowland et al. 6 lo describen anatómicamente aparte de la mandíbula, en región de terceros molares, a nivel de la base del cráneo, hueso nasal, hueso temporal, seno esfenoidal, paladar, huesos faciales o cigomático, mucosas yugales, encía, laringe; entre otras ubicaciones anatómicas de partes blandas de cabeza y cuello sin relación específica con la raza o sexo 7. Otros autores, como Goel et al. 8, han referenciado un caso de una paciente femenina con una tumefacción extraoral semejante a MOM y con la misma ubicación del caso reportado. Además, de algunas características coincidentes, este caso muestra la ubicación anatómica infrecuente en el sector de la parasínfisis mandibular. En otros casos como los reportados por Liu et al. 9, las lesiones suelen ser agresivas y deformantes involucran otras estructuras anatómicas faciales. Respecto a lo cual no existe coincidencia con este caso.
Los mixomas muestran un amplio espectro de apariencias radiográficas, como patrones perico-ronales, uniloculares, multiloculares, isodensos y/o radiolúcidos con un diente impactado o involucrado en la lesión, en la mayoría de los casos, los septos óseos son curvos y gruesos, pero los septos rectos y delgados representan un patrón parecido a una raqueta de tenis, panal de abejas o pompas de jabón, que es una característica rara del MOM 10, semejante al caso presentado.
El tratamiento quirúrgico para este tipo de lesiones varía según el tamaño y las estructuras anatómicas que involucre. En este caso se describió un procedimiento conservador, ya que el tamaño de la lesión favoreció la remoción sin complicaciones y no requirió métodos invasivos 11.
*Correspondencia: Martha Rebolledo Cobos: mrebolledo@unimetro.edu.co


