Case presentation
Received: 15 March 2022
Accepted: 30 May 2022
Published: 13 July 2022
DOI: https://doi.org/10.7705/biomedica.6505
Abstract:
The persistent left superior vena cava is the most common venous anomaly in the systemic drainage in adults and tends to be asymptomatic. The persistent left superior vena cava causes rhythm disorders such as tachyarrhythmias or bradyarrhythmias.
We report a case of persistent left superior vena cava diagnosed in a 53-year-old female patient admitted due to an acute coronary syndrome associated with unstable bradycardia. A transvenous peacemaker impressed the left atrium; therefore, a transthoracic echocardiogram was required to diagnose persistent left superior vena cava. The patient needed management with percutaneous intervention; she had an adequate evolution and subsequent discharge from the intensive care unit
Keywords: Vena cava, superior, incidental fndings, heart defects, congenital, echocardiography, acute coronary syndrome, percutaneous coronary intervention, case reports.
Resumen:
La vena cava superior izquierda persistente es la anomalía venosa más frecuente en el drenaje sistémico en adultos; tiende a ser asintomática, pero causa trastornos del ritmo como taquiarritmias o bradiarritmias.
Se presenta un caso de vena cava superior izquierda persistente diagnosticada en una paciente de 53 años hospitalizada por un síndrome coronario agudo asociado a bradicardia inestable. Un marcapasos transvenoso dejó una impresión en la aurícula izquierda, por lo que se requirió un ecocardiograma transtorácico para diagnosticar la vena cava superior izquierda persistente. La paciente necesitó una intervención percutánea con una adecuada evolución y se le dio el alta de la unidad de cuidados intensivos
Palabras clave: vena cava superior, hallazgos incidentales, cardiopatías congénitas, ecocardiografía, síndrome coronario agudo, intervención coronaria percutánea, informes de casos.
The persistent left superior vena cava is the most common variant of the systemic venous drainage in adults with an incidence of 0.3 to 0.5% in the general population and 4 to 8% in patients with congenital heart disease 1-3. This condition results from a failure to obliterate the left common cardinal vein typically draining into the left subclavian vein and jugular veins into the right atrium through the coronary sinus 2. Approximately, 20% of the total venous blood returns from the left arm and left half of the head and neck in persistent left superior vena cava. Right atrial drainage occurs in 80 to 90% of cases 2.
This abnormality can be identifed incidentally on echocardiography as a dilatation of the coronary sinus through tomography or resonance imaging as a vessel that runs vertically from the lateral mediastinum to the aortic arch 2,4. In most individuals with persistent left superior vena cava, many cardiac anomalies may be identified: right-sided lesions, single ventricular abnormalities, left-side obstructive lesions, conotruncal malformations, shunt lesions, and aortic arch anomalies 4. However, persistent left superior vena cava does not usually have clinical repercussions unless it drains the left cavities 2,4.
The relationship of persistent left superior vena cava with intracardial, extracardiac, and chromosomal abnormalities in fetuses has been elucidated in a systematic review 5 while different clinical reports have studied it in adult and pediatric populations, as well as its absence 6. Therefore, describing this defect may contribute to new findings with implications for clinicians who place central venous devices, especially in adults. Given that the right access to the heart is more complex, implanting pacemakers up on persistent left superior vena cava patients may generate incorrect positioning.
Case report
A 53-year-old female patient with a history of heavy smoking was admitted to the emergency room due to oppressive chest pain, diaphoresis, and syncope associated with unstable sinus bradycardia and elevated troponin.
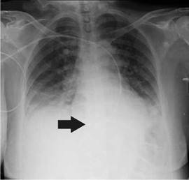
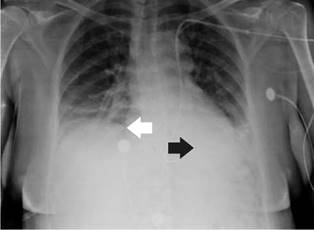
She was diagnosed with cardiogenic shock secondary to non-ST elevation acute myocardial infarction and sinus bradycardia. The initial management in the emergency room, therefore, included dual antiplatelet therapy, anticoagulation, norepinephrine, and dopamine. Then, the patient was transferred to the intensive care unit where a transvenous pacemaker was implanted using the right subclavian anatomical approach with adequate return and no suitable capture. A control chest radiography was performed which revealed no pneumothorax and hemothorax but evidenced the extreme of the pacemaker on the left atrium (figure 1). The pacemaker was considered to be poorly located, so a new one was placed through the left subclavian anatomical approach without complications and adequate capture. However, the team suspected a vascular malformation in the control chest radiograph because the extreme part of the pacemaker was located on the right ventricle (figure 2).


An echocardiogram done showed coronary sinus dilation, which suggests persistent left superior vena cava with the electrode in the coronary sinus dilated. The computed tomography (CT) angiogram showed a superior vena cava on the left that drained abnormally on the left atrium communicating with the right atrium (figure 3). Subsequently, a left cardiac catheterization was performed in another institution on the patient due to myocardial infarction.

Discussion
The high incidence of persistent left superior vena cava usually responds to coexisting issues in these patients, such as congenital or rhythm abnormalities, requiring the placement of pacemakers due to the embryonic origin of pacemaker cells derivated near the root of the superior vena cava. Normal embryonic development on the right located in the venous sinus usually creates the sinus node 7,8. The left posterior cardinal vein migrates toward the coronary sinus. The tissue then loses the conduction capacity when the vein degenerates but it does not obliterate and persistent left superior vena cava is developed 7,8. Thus, persistent left superior vena cava generates tachyarrhythmias and bradyarrhythmias, especially when the catheterization or electrode pitch is done. Furthermore, there are cases of cardiac arrest, shock, angina, coronary sinus perforation of the brachycephalic vein, or even death due to these procedures in patients with this anomaly 7,8. Also, it is crucial to notice that stress factors may influence the genesis of arrhythmias in the conduction tissue, such as suitable atrium growth or coronary sinus dilation 9, as was the case in this patient.
The persistent left superior vena cava remains asymptomatic because it does not cause a right-to-left shunt; however, in some cases, this shunt is pronounced because of desaturation 4. It manifests itself with cyanosis, reduced exercise tolerance, progressive fatigue, and syncope 4, some of which were present in our patient. Likewise, these patients may develop brain abscesses and thromboembolic events; in this case, persistent left superior vena cava should be ligated or may be re-anastomosed to the coronary sinus 4.
Most of the cases of persistent left superior vena cava are discovered when difficulties arise during invasive procedures such as cardiac resynchronization therapy, central venous catheter insertion, or pacemaker implantation 4,10. The persistent left superior vena cava could complicate the implantation of the pacemaker by causing fixation difficulties of the electrode because of the tortuous course 3,4. The central venous catheter insertion may generate angina, hypotension, and heart perforation 4. Catheterization may be challenging and may change to the proper access. However, complications such as tamponade, cardiogenic shock, and arrhythmias can appear 4,11.
Appropriate entry is difficult in some cases when there is no right superior vena cava 4.In the literature, there are various cases with successful intracardiac device implants using the left approach 3,4,11. Different diagnostic methods such as transthoracic echocardiogram or transesophageal echocardiogram, conventional and cross-sectional venography and computed tomography (CT) venography are used to determine persistent left superior vena cava 12. Thus, CT venography may detect persistent left superior vena cava in 2.6% of patients with the dilation of coronary sinus being more frequent than other findings 13.
Generally, the presence of persistent left superior vena cava does not require surgical management, however, this approach can be considered in patients with anomalous drainage in the left atrium. Different surgical techniques may correct this abnormality depending on the anatomical characteristics of the patients, for example, reimplanting the left superior vena cava in the right atrium 14.
In our case, the patient presented intracardiac conduction abnormalities in the context of an acute coronary event. The incidental finding of persistent left superior vena cava was revealed by chest radiography showing the positioning of the transvenous pacemaker electrodes. Likewise, the patient presented coronary sinus dilation, one of the findings reported in the literature 4. However, our patient presented anomalous drainage of the vena cava superior to left cavities, which is unusual in most clinical reports. It is also noteworthy that the patient initially attempted the approach through the convenient internal jugular access without success and finally through the left subclavian access. This allowed the pacemaker to capture the rhythm and is the preferred approach in the case of isolated persistent left superior vena cava.
Conclusions
The persistent left superior vena cava is not an infrequent clinical finding. It is important, therefore, that the clinician acquire adequate knowledge regarding this vascular abnormality because these anatomical variants can result in unconventional paths observed in chest radiographs. It generates erroneous conclusions for the decisions regarding the placing of different intravascular devices as in certain circumstances, changing the device is unnecessary. In cases such as ours, draining into the left atrium may generate clinical repercussions such as arrhythmias and bradyarrhythmias, although this finding is not frequent.
References
Martínez-Villar M, Gran F, Ferrer Q, Giralt G, Sabaté-Rotés A, Albert DC. Vena cava superior izquierda persistente con agenesia de la vena cava superior derecha. Rev Esp Cardiol.2016;69:220-1. https://doi.org/10.1016/j.recesp.2015.10.004
Irwin RB, Greaves M, Schmitt M. Left superior vena cava: revisited. Eur Heart J Cardiovasc Imaging. 2012;13:284-91. https://doi.org/10.1093/ehjci/jes017
Morgan LG, Gardner J, Calkins J. the incidental fnding of a persistent left superior vena cava: implications for primary care providers-case and review. Case Rep Med. 2015;2015:198754. https://doi.org/10.1155/2015/198754
Azizova A, Onder O, Arslan S, Ardali S, Hazirolan T. Persistent left superior vena cava: clinical importance and differential diagnoses. Insights Imaging. 2020;11:110. https://doi.org/10.1186/s13244-020-00906-2
Gustapane S, Leombroni M, Khalil A, Giacci F, Marrone L, Bascietto F, et al. Systematic review and meta-analysis of persistent left superior vena cava on prenatal ultrasound: associated anomalies, diagnostic accuracy and postnatal outcome. Ultrasound Obstet Gynecol. 2016;48:701-8. https://doi.org/10.1002/uog.15914
Sheikh AS, Mazhar S. Persistent left superior vena cava with absent right superior vena cava: review of the literature and clinical implications. Echocardiography. 2014;31:674-9. https://doi.org/10.1111/echo.12514
Tak T, Crouch E, Drake GB. Persistent left superior vena cava: incidence, signifcance and clinical correlates. Int J Cardiol. 2002;82:91-3. https://doi.org/10.1016/s0167-5273(01)00586-1
Nandakumar KP, Maitra S. Persistent left superior vena cava: What an anesthesiologist needs to know? J Anaesthesiol Clin Pharmacol. 2018;34:407-8. https://doi.org/10.4103/joacp.JOACP_301_17
Morgan DR, Hanratty CG, Dixon LJ, Trimble M, O’Keeffe DB. Anomalies of cardiac venous drainage associated with abnormalities of cardiac conduction system. Europace. 2002;4:281-7. https://doi.org/10.1053/eupc.2002.0248
Jović Z, Mijailović Z, Obradović S, Tavciovski D, Matunović R, Rusović S, et al. Successful implantation of a permanent pacemaker through a persistent left superior vena cava by using a right subclavian approach. Vojnosanit Pregl. 2011;68:792-4. https://doi.org/10.2298/vsp1109792j
Meijboom WB, Vanderheyden M. Biventricular pacing and persistent left superior vena cava. Case report and review of the literature. Acta Cardiol. 2002;57:287-90. https://doi.org/10.2143/AC.57.4.2005428
Povoski SP, Khabiri H. Persistent left superior vena cava: review of the literature, clinical implications, and relevance of alterations in thoracic central venous anatomy as pertaining to the general principles of central venous access device placement and venography in cancer patients. World J Surg Oncol. 2011;9:173. https://doi.org/10.1186/1477-7819-9-173
Kula S, Cevik A, Sanli C, Pektas A, Tunaoglu FS, Oguz AD, et al. Persistent left superior vena cava: experience of a tertiary health-care center. Pediatr Int. 2011;s53:1066-9. https://doi.org/10.1111/j.1442-200X.2011.03443.x
Restrepo G, Trespalacios E, Ahumada S, Toro N. Vena cava superior izquierda persistente. Rev Colomb Cardiol. 2014;21:115-8. https://doi.org/10.1016/S0120-5633(14)70263-3
Notes
Author notes
*Corresponding author: Cristhian D. Morales, Carrera 17 No 5-18, Guadalajara de Buga, Colombia Teléfono: (602) 237 5858, extensión 1872 cridamo@ebmdevelopingcountries.org
Conflict of interest declaration