Resumen: La ultrasonografía corresponde a un examen mínimamente invasivo que aporta gran información, pero es importante considerar que para realizar un correcto diagnóstico es preciso conocer la visualización ecográfica normal de cada sistema. Esta herramienta está siendo cada vez más utilizada en la práctica médica de animales exóticos, sin embargo, existe escasa información publicada, tanto en normalidad como en circunstancias patológicas, por lo que este examen se realiza de manera subjetiva. Se realizó un estudio ecográfico del sistema reproductivo en 27 erizos de tierra (Atelerix albiventris), para describir las características ecográficas y morfométricas de este sistema, debido a que en estas especies han sido descritas algunas patologías de importancia clínica, cuya aproximación diagnóstica debe realizarse vía ecográfica. Los resultados morfométricos se expresaron en centímetros (cm) y los promedios obtenidos fueron: Vagina, alto: 0,51. Cérvix, diámetro: 0,61. Cuerpo uterino, diámetro: 0,4. Cuerno uterino izquierdo, diámetro: 0,38. Cuerno uterino derecho, diámetro: 0,34. Ovario izquierdo, ancho: 0,32. Ovario derecho, ancho: 0,33. Testículo izquierdo, ancho: 1,27; alto: 0,90; largo: 1,62. Testículo derecho, ancho: 1,26; alto: 0,90; largo: 1,64. Epidídimo izquierdo, ancho: 0,33; alto: 0,26. Epidídimo derecho, ancho: 0,39; alto: 0,24. Próstata, ancho: 1,38; alto: 0,44; largo: 1,60. Los resultados obtenidos indican que las hembras poseen cuerpo uterino, lo que difiere de lo publicado por otros autores. En un 73% de los casos, el cuerno uterino izquierdo es de mayor diámetro que el derecho. En la imagen testicular, la no visualización de una línea ecogénica permite inferir que el mediastino de ésta especie sería menos fibroso o con un menor desarrollo. La forma y tamaño de la próstata es muy variable entre individuos sanos, independiente del peso del animal. Este estudio permitió obtener valores y características referenciales del sistema reproductor del erizo de tierra, información de utilidad para objetivar el estudio ecográfico en esta especie.
Palabras clave:Atelerix albiventrisAtelerix albiventris,ecografíaecografía,sistema reproductorsistema reproductor,morfometríamorfometría.
Abstract: Ultrasonography is a minimally invasive procedure that provides a lot of information, but it is important to consider that it is necessary to know the normal view of each system to make a correct diagnosis. This tool is being more used in medical practice of exotic animals, there is limited published information, such as normal and pathological circumstances, so this procedure is performed in a subjective manner. An ultrasound study was performed of the reproductive system in 27 hedgehogs (Atelerix albiventris) to describe ultrasonographic and morphometric characteristics of this system, because in this species they have been described some pathologies with clinically significant which approach to diagnosis should be performed by ultrasound. The average morphometric results were expressed in centimeters: Vagina high: 0.51. Uterine Cervix diameter: 0.61. Uterine corpus diameter: 0.4. Uterine Horn left diameter: 0.38. Uterine Right Horn diameter: 0.34. Ovary left width: 0.32. Ovary right width: 0.33. Left Testicle width: 1.27; high: 0.90; long: 1.62. Right Testicle width: 1.26; high: 0.90; long: 1.64. Left epididymis width: 0.33; high: 0.26. Right epididymis width: 0,39; high: 0.24. Prostate width: 1.38; high: 0.44; long: 1.60. The obtained results indicate that females have uterine corpus, which differs from other authors publications. 73% of cases the left horn is larger in diameter than the right one. In testicular image, no echogenic line display which allows inferring that the mediastinum of species is less fibrous or with a less developed. The shape and size of the prostate is highly variable among healthy individuals independent of the weight of the animal. This study allows to obtain referential values and characteristics of the hedgehog reproductive system, useful information to objectify ultrasound study in this species.
Keywords: Atelerix albiventris, ultrasound, reproductive system, morphometry.
CARACTERIZACIÓN ECOGRÁFICA DEL SISTEMA REPRODUCTOR DE MACHOS Y HEMBRAS DE ERIZO DE TIERRA AFRICANO (Atelerix albiventris)
Ecographic Characterization of Reproductive System of Male and Females of African Hedgehog (Atelerix albiventris)
Recepción: 29 Noviembre 2016
Aprobación: 31 Mayo 2017
La ultrasonografía corresponde a una técnica mínimamente invasiva que se ha convertido en una herramienta cada vez más utilizada en la práctica médica de animales exóticos, ya que el nivel de estrés que puede presentar este tipo de pacientes dificulta la realización de un correcto abordaje clínico. En el último tiempo ha habido un aumento en la adquisición de animales exóticos y el erizo de tierra africano (ETA) (Atelerix alvibentris), es considerado el más difundido como mascota alrededor del mundo [3, 4, 10]. A pesar de lo anterior, existe escasa información publicada en relación a los valores ecográficos, tanto en normalidad como en circunstancias patológicas de esta especie.
Mikaelian y Reavill [5], describieron de manera clínica lesiones proliferativas uterinas en 15 hembras de erizo de tierra africano en cautiverio, entre éstas se encuentran: adenosarcomas, sarcomas del estroma endometrial, adenoleiomiosarcoma y adenoleiomioma, indicando que dichas lesiones en su mayoría cursan con hematuria, por lo tanto, es imprescindible evaluar la cavidad abdominal para verificar la procedencia del sangrado, que puede ser, tanto uterino como urinario. También se han reportado casos de pólipos endometriales en ETA, aunque es una patología rara e incluye sólo a unas pocas especies [8].
La ecografía sirve para evaluar adecuadamente el sistema reproductor, sin embargo, la evaluación ecográfica se hace de manera subjetiva debido a que, hasta la fecha, no se cuenta con valores referenciales y descripción ecográfica del ETA. Dentro de la información disponible en publicaciones, hay descripciones ecográficas para el sistema reproductor, principalmente de conejo (Oryctulagus cuniculus) y hurón (Mustela putorius furo), por lo cual en la clínica se tiende a extrapolar información de éstos para el ETA.
Algunas características anatómicas justifican el uso de herramientas alternativas para una correcta evaluación clínica, como por ejemplo el hecho de que los erizos no poseen saco escrotal y los testículos se encuentran intra abdominal y además son de pequeño tamaño, lo que dificulta su examinación mediante la palpación [2].
En relación a la hembra de ETA, algunos autores indican que posee dos cuernos uterinos que se abren directamente a la vagina [2], sin presencia de cuerpo uterino [6, 11]. Además, indican que la vagina puede dividirse en tres secciones debido a su extensión: baja, media y alta [2].
El objetivo de este estudio fue realizar una caracterización ecográfica del sistema reproductor de hembras y machos de ETA, clínicamente sanos, aportando información relevante para una correcta evaluación de este sistema con valores referenciales para un adecuado diagnóstico ecográfico.
Para el presente estudio se utilizó un ecógrafo marca Sonosite ®, modelo M Turbo, fabricante Fujifilm, EUA, con un transductor lineal de alta frecuencia (modelo HFL50 de 15 MHz). El tamaño muestral fue de 27 individuos; 16 hembras y 11 machos. Los criterios de exclusión se indican en la TABLA I.

Para determinar si los pacientes estaban sanos o enfermos se les realizó un completo examen clínico general y por sistemas. Además de esto, se analizó cada ficha clínica de los pacientes, con ello observar si en el historial poseían antecedentes de enfermedad del aparato reproductor en alguna consulta anterior. Los pacientes sanos y sin historial de enfermedad del aparato reproductor, se sometieron a un examen ecográfico y solo los que tuvieron resultados normales pudieron ingresar al estudio.
Para llevar a cabo este estudio se recomendó un periodo de ayuno no mayor a cuatro o cinco horas para prevenir la hipoglicemia. Antes del examen ecográfico, los pacientes fueron pesados en una balanza digital, marca Kern, modelo EMB 2200-0, Alemania. Luego se realizó un examen clínico que incluyó la medición de temperatura, palpación abdominal y auscultación torácica. Una vez determinados como sanos, se les realizó el examen ecográfico. Para lograr el posicionamiento óptimo para la obtención de las imágenes, los ETA fueron anestesiados mediante el uso de anestesia inhalatoria mediante un equipo marca Engstrom modelo Cavendish 460, Reino Unido. En este estudio se utilizó isofluorano administrado a través de una máscara en circuito cerrado, el que contempla también la administración de oxígeno. La anestesia incluye un periodo corto de inducción anestésica a dosis altas de isofluorano (4-5%) y luego una mantención con dosis más bajas (2-2,5%).
Los individuos fueron posicionados en decúbito supino para el examen ecográfico. Con la finalidad de aumentar el contacto con el transductor, se aplicó gel ecográfico en la región abdominal. Para prevenir la hipotermia durante el examen, se utilizó una manta térmica eléctrica, sobre la cual fueron posicionados los ETA.
En cuanto a la obtención de imágenes, se analizó ecográficamente en detalle el sistema reproductor, evaluando útero, ovarios, vagina, próstata y testículos. Respecto a los aspectos cualitativos, se evaluó las características de ecogenicidad del útero, ovarios, próstata y testículos, especificando la forma e intensidad de los ecos, además se registró la textura y homogeneidad de cada órgano evaluado. En relación a los aspectos morfométricos cuantitativos se realizaron cortes longitudinales y transversales con el transductor, obteniendo valores de alto, ancho y largo, según el órgano evaluado. Los resultados morfométricos se expresaron en promedios y desviaciones estándar. Se utilizó test de Pearson para analizar posibles asociaciones entre las variables testiculares y el peso corporal, para esto se usó el programa IMB SPSS® v. 23 para Windows (SPSS Inc, Chicago IL, EUA).
Topográficamente, la vagina y el útero se encontraron dorsal a la vejiga urinaria. En un corte transverso fue posible ubicarlos entre la vejiga y el colon descendente, o desplazados hacia la derecha o izquierda.
La vagina fue la primera porción en visualizarse y encontrándose en ella dos segmentos distintos, evaluados en corte transverso. El primero de ellos corresponde a una estructura tubular, hipoecoica, de granulado fino y homogéneo (FIG. 1). El segundo segmento, craneal al anterior, corresponde a una estructura con forma de óvalo plano, donde, en algunas ocasiones, fueron diferenciables tres capas: siendo la más interna hiperecoica que correspondería a presencia de mucus intraluminal, la banda media hipoecoica y la más externa hiperecoica (FIG. 2).


En algunos individuos se visualizó una región hipo o anecoica, la que correspondería a líquido presente en el interior del lumen, lo que en pequeñas cantidades podría considerarse como normal. Estos segmentos descritos corresponderían a vagina media y alta, respectivamente. La no visualización de la tercera porción de la vagina, correspondiente a la vagina baja, indicaría que este segmento se encontraría intrapélvico, lo que impediría su evaluación mediante ecografía. La diferencia de forma y diámetro entre los segmentos medio y alto de la vagina, esquematizados también por Reeve [11], podría deberse a que éste órgano, al estar formado por paredes musculares y no presentar contenido, como por ejemplo una gestación, que haga mantener su forma tubular, pasa a colapsarse y formar un óvalo plano.
Continuando el recorrido se observó el cérvix uterino, el cual, a diferencia de perros y gatos, donde se encuentra casi completamente dentro de la cavidad pélvica, en los ETA se localiza desplazado cranealmente, lo que guarda relación con la longitud de la vagina, coincidiendo con lo publicado por Alvariño [1] en conejos, y se atribuye al largo de la vagina, característico de los roedores. Se visualizó de forma circular, de mayor diámetro e hipoecoico en relación a la vagina, en algunas ocasiones fue posible visualizar un anillo hiperecoico en su interior, imagen que podría corresponder a la característica más fibrosa de esta estructura.
Craneal al cérvix se observó la continuación de una estructura tubular de menor diámetro y ligeramente hiperecoica en relación al cérvix e isoecoica con la vagina media y, al igual que ésta, en algunas ocasiones, se visualizó una banda hiperecoica en su interior, una banda media hipoecoica y una banda hiperecoica externamente (FIG. 3). Desde allí nacen ambos cuernos uterinos, por lo que este segmento correspondería al cuerpo uterino. Algunos autores indican, que las hembras de erizo de tierra africano no poseen cuerpo uterino [2, 6, 10], lo que se contradice con los resultados obtenidos en este estudio, Sería muy importante realizar un estudio anatómico, acompañado de muestras histológicas para verificar estos resultados.

Los cuernos uterinos se visualizaron como estructuras tubulares, hipoecoicas, homogéneas, de granulado fino, naciendo desde el cuerpo uterino y dirigiéndose cráneo-lateral para luego girar caudo-lateral. En algunos individuos, fue visible una banda hiperecoica en su interior, al igual que en la vagina y cuerpo uterino.
Los ovarios pueden ser localizados siguiendo el recorrido del cuerno uterino, o de manera más sencilla, haciendo un barrido caudal al polo caudal de cada riñón, ubicándose en la pared dorso lateral abdominal. Se visualizaron como pequeñas estructuras hipoecoicas, rodeadas de cantidad variable de tejido adiposo. Aquellas hembras en que el tejido adiposo era abundante, la visualización ecográfica del ovario fue más fácil.
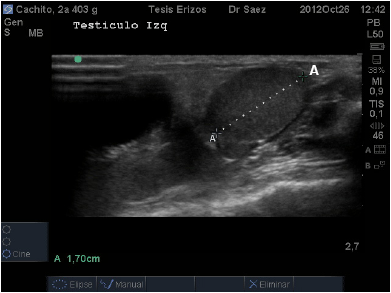
Topográficamente los testículos de los ETA se encuentran intra abdominales, vía ecográfica se observan caudo-ventralmente en el abdomen caudal y ubicados dentro de los recesos para-anales. El órgano presentó forma circular en el corte transverso, en la parte media, a diferencia del corte longitudinal donde se observaron ovalados. Su eje largo presentó una ligera oblicuidad siendo dorso-craneal/caudo-ventral. Su parénquima se presentó de mediana ecogenicidad, granulado fino y homogéneo. No se visualizó la línea ecogénica que describió Nyland [7] en el interior del testículo de animales domésticos, que correspondería al mediastino testicular (FIG. 4), esto podría deberse a que probablemente el mediastino en esta especie es menos fibroso o podría ser menos desarrollado y ubicarse en el extremo craneal del testículo, tal como ocurre en el equino (Equus caballus). Sería recomendable realizar un estudio morfoestructural para confirmar esta observación.

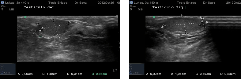
El epidídimo fue visualizado en el corte transverso de cada testículo. Se observó como una estructura circular, hipoecoica en relación al testículo, y en algunos casos, tendiendo a no generar ecos. Su ubicación fue variada, encontrándose en cinco individuos medial a cada testículo, en tres se localizó lateral a cada testículo y en dos casos, se visualizó el epidídimo lateral al testículo izquierdo y el epidídimo medial al testículo derecho. Esta ubicación variable sugiere que los testículos, dentro del abdomen, tienen cierto grado de movilidad, permitiendo así que se giren levemente, lo que ecográficamente se visualiza con el epidídimo lateral, medial o en algunos casos ambos lados, en relación al testículo (FIG. 5, 6 y 7).



La próstata se localizó caudal a la vejiga, en un corte transverso fue posible visualizarla ventral al colon descendente y medial a cada testículo. En este corte, en cuatro individuos, cada lóbulo presentó una forma de “gota” con su eje mayor horizontal, siendo más redondeada lateralmente y fusiforme hacia medial (FIG. 8).

En el resto de los pacientes, se observó cada lóbulo de forma aplanada y alargada, teniendo la misma altura tanto medial como lateralmente, o si presentaban el extremo medial aguzado, éste era muy sutil (FIG. 9).

En el corte longitudinal presentó la misma forma, es decir, aquellos individuos que presentaron lóbulos prostáticos en forma de gota al corte transverso, la mantenían al corte longitudinal, siendo el extremo craneal el más redondeado y el extremo caudal más aguzado. Y aquellos individuos que presentaron forma aplanada al corte transverso, la mantenían al corte longitudinal. El órgano se observó con ecogenicidad media, de granulado fino y homogéneo.
Los resultados cuantitativos de morfometría fueron medidos en centímetros (cm) y expresados en promedios junto con desviación estándar (X ± DE). Se analizó el diámetro ecográfico de la Vagina, Cérvix Uterino, Cuerpo Uterino, Cuernos Uterinos (derecho e izquierdo) y Ovarios (derecho e izquierdo). Los resultados se especifican en la TABLA II.

El Cuerpo Uterino fue el segmento que presentó menor variabilidad de tamaño entre individuos. Los Cuernos Uterinos presentaron gran diferencia de tamaños, con un máximo de diferencia de 0,16 cm., siendo en el 73,33% de los casos, el cuerno izquierdo de mayor diámetro que el derecho, esto podría deberse a que tal vez en el cuerno izquierdo se producen mayores gestaciones que en el contralateral; sería importante realizar estudios ecográficos en hembras gestantes para verificar ésta observación. La medición de los ovarios se realizó solamente en trece hembras, en las tres restantes no se pudo medir ya que no fue posible visualizarlos, lo que podría deberse a una escasa cantidad de tejido adiposo alrededor del ovario que no permita un adecuado contraste para la visualización de estas estructuras tan pequeñas. En una de las hembras se visualizó sólo el ovario derecho, lo que podría deberse a una posible agenesia del ovario contralateral, ya que no hay antecedentes de cirugía.
Los resultados cuantitativos de morfometría fueron medidos en centímetros (cm) y expresados en promedios junto con desviación estándar (X ± DE). Se midió ancho, alto y largo de Testículo Izquierdo, y Testículo Derecho. En el caso del Epidídimo se midió ancho y alto de epidídimo en diez machos, ya que en uno de los pacientes no fue observable. En el 80% de los casos en el epidídimo predominó el ancho sobre el largo. Se midió el ancho, alto y largo de la Próstata. Los resultados se especifican en la TABLA III.

En relación a la Próstata, llama la atención la diferencia de valores obtenidos para tamaño prostático entre individuos, llegando en algunos casos a bordear 1 cm, pudiéndose suponer una relación entre éstos valores y el peso del animal, sin embargo los resultados estadísticos de correlación demostraron relación baja entre las variables y no significativa (P˃0,05). Se puede inferir, por lo tanto, que el tamaño de la glándula no es constante entre individuos sanos, independiente de otras variables como el peso, lo que se debe tener presente para no cometer errores diagnósticos al evaluar este órgano.
Este estudio permitió obtener información relevante respecto a la ecogenicidad, forma y tamaño de los órganos del sistema reproductor de hembras y machos de ETA, estos datos cualitativos y cuantitativos serán de utilidad para los médicos veterinarios que realicen examen ecográfico en estas especies, haciendo que éste tenga características objetivas, permitiendo un correcto diagnóstico ecográfico en estos pacientes.
Debido a la alta incidencia de neoplasias reportadas en ETA, aproximadamente el 37% de los diagnósticos histopatológicos según lo descrito por Ramos-Vara [9], es importante conocer la apariencia ecográfica normal de cada órgano, ya que hay neoplasias de tipo difusas que alteran la ecogenicidad y homogeneidad del órgano afectado.
El presente estudio concluye que la ecografía es un buen método diagnóstico para evaluar el sistema reproductor en ETA. Los valores referenciales morfométricos obtenidos en el presente estudio son de utilidad clínica para diagnosticar patologías en este sistema, objetivando el uso de esta técnica en ésta especie. Por lo anterior, las características cualitativas del sistema reproductor informadas en los resultados obtenidos deben ser consideradas como valores referenciales para el estudio ecográfico y clínico en estas especies. La información específica de valores y características del sistema reproductor en esta especie es necesaria para evitar extrapolar información de otros pequeños mamíferos exóticos.
Se agradece a la Clínica Veterinaria ExzooticVet, Santiago, Chile, por disponer los pacientes e imágenes ecográficas para este estudio.











