Resumen: El objetivo de este estudio fue describir los cambios morfológicos, histológicos e inmunohistoquimicos de biopsias de músculo de equinos con deformación del borde dorsal del cuello. Fueron estudiados 150 caballos de las razas: Pura Raza Española (84/150), Hispano Árabe (33/150), Lusitano (19/150), Cruzados (14/150), entre 5-15 años, todos con deformación del borde dorsal del cuello (DBDC), en las Comunidades Autónomas de Andalucía y Extremadura, España. A cada equino se le realizó un examen clínico, morfológico, se realizó la técnica de biopsia de la región dorsal del cuello. Los fragmentos de tejido fueron procesados por los métodos histológicos convencionales y fueron clasificadas por los patrones de reconocimiento histológico, se empleó el anticuerpo Desmina para el estudio inmunohistoquimico. Se realizó un análisis estadístico ANOVA y adicionalmente un análisis de covarianza de las variables estudiadas. Los resultados obtenidos evidencian DBDC en todos los equinos estudiados, con predominio del grado de deformidad del borde dorsal del cuello de 3 (67%), grado de deformidad 4 (25%) y grado de deformidad del cuello 5 (8%). El anticuerpo Desmina fue negativo para los grados de deformidad del cuello 3, 4 y 5 (Desmina Negativo---). Los resultados estadísticos muestran una correlación negativa entre el grado de deformidad y las medidas morfométricas de la biopsia (-0,71), así como en el resto de las variables estudiadas. En conclusión, los cambios morfológicos observados fueron procesos metabólicos degenerativos asociados a infiltración grasa, estos cambios se observaron en la miofibrilla muscular, caracterizada por aumento del espacio intercelular, pérdida del citoesqueleto celular y perdida de las bandas Z, asociada a la infiltración grasa (lipomatosis), en los equinos estudiados.
Palabras clave:CrestaCresta,cuellocuello,deformacióndeformación,equinosequinos.
Abstract: The aim of this study was to describe the morphological, histological and immunohistochemical changes in muscle biopsies in equines with dorsal neck deformation. They were studied 150 horses of the races: Spanish Pure Breed Spanish (84/150), Arabic-Hispanic (33/150), Lusitano (19/150), Cross (14/150), between 5-15 years, all with DBDC, in the Autonomous Communities of Andalucia and Extremadura, Spain. A clinical and morphological examination was performed on each equine. The biopsy technique was performed on the dorsal neck region. The tissue fragments were processed by conventional histological methods and were classified by histological recognition patterns; the Desmina antibody was used for the immunohistochemical study. An ANOVA statistical analysis was performed, as well as a covariance analysis of the studied variables. The results showed DBDC (cresty neck) in all equines studied, with predominance of neck deformation grade 3 (67%), grade 4 (25%) and grade 5 (8%). Desmin antibody was negative for grades of neck deformity 3, 4 and 5 (Negative Desmin ---). The statistical results show a negative correlation between the degree of deformity and the morphometric measurements of the biopsy (-0.71), as well as in the rest of the studied variables. In conclusion, the morphological changes observed were degenerative metabolic processes associated with fat infiltration, these changes were observed in the muscular myofibril characterized by increased intercellular space, cellular cytoskeletal loss and loss of Z bands, associated with fat infiltration (lipomatosis), in the equine studied.
Keywords: Cresty, deformation, neck, equines.
ASPECTOS MORFOLÓGICOS DE BIOPSIAS MUSCULARES EN EQUINOS CON DEFORMACIÓN DEL BORDE DORSAL DEL CUELLO
Morphological features of muscle biopsies from equines with cresty neck
Recepción: 18 Enero 2017
Aprobación: 13 Octubre 2017
En los equinos se describen habitualmente tres amplias regiones cervicales, dorsal, lateral y ventral, así como en otras tres circunscritas, de las que dos (parotidea y laríngea) corresponden a la extremidad cefálica y la tercera a la base del cuello (prescapular); no obstante bajo el punto de vista práctico, se alude a menudo a regiones más concretas, como la braquiocefálica, esternocefalica, retro-auricular, faríngea y traqueal [20]. La región dorsal del cuello (RDC) se prolonga desde la región de la nuca hasta las estribaciones del tórax y la espalda (Regiones interescapulares y prescapular adyacente). En el caballo (Equus caballus), se hace progresivamente más extensa a medida que se acerca a la base del cuello, de manera que en el caballo comprende toda la superficie que viene designándose en el exterior como “tablas del cuello”, también destaca el borde dorsal del cuello que da implantación a las cerdas del cuello o “crinera”, el cual está determinado por el cordón de la nuca (ligamento cervical). Dicho cordón ligamentoso y los músculos adyacentes constituyen la base anatómica de la región [11, 12, 20]. La RDC es uno de los lugares anatómicos para la deposición de grasa en el caballo. El acumulo de grasa en esta región se considera como un signo de obesidad en el caballo [15]. Esta representa una característica física prominente y asociada al síndrome metabólico de la adquisición de tejido adiposo en el cuello [3,8]. Las deformaciones del cuello han sido descritas inicialmente como defectos en la cual se han empleado nombres coloquiales [10,11]. Se distingue el cuello recto o piramidal, las deformaciones del borde superior que se puede observar suavemente arqueado (coloquialmente lo denominan cuello de gato o de pichón), así como el defecto del borde superior del cuello de ser muy grueso/engrosado por el abundante depósito de grasa provisto de una crinera abundante, y por efecto de la debilidad de la región se muestra algo caído en alguno de sus lados (gato o gatillo vencido hacia la derecha o hacia la izquierda), los cambios en la convexidad del borde superior del cuello y que se acentúa en su punto de unión con la cabeza (coloquialmente denominado cuello de cisne), cuando su borde superior es ligeramente cóncavo y el inferior convexo (coloquialmente nombrado como cuello al revés o de ciervo) [22]. La deformación del borde dorsal del cuello (DBDC), es una condición que tiene gran repercusión clínica y económica [19], que se presenta en caballos de Pura Raza Española y en otras razas como la Lusitana. Un reporte preliminar describe la DBDC en burros (Equus africanus asinus), de raza Andaluza [10]. Recientemente, un estudio describe la cresta del cuello como un defecto en caballos de Pura Raza Española, que afecta a un 8,89% de la población en todo el mundo, con una heredabilidad moderada de aproximadamente 0, 37%. [21]. Este defecto es inhabilitado y descalificado del libro genealógico de la raza [21]. En relación al Reglamento de Concursos Morfológicos-Funcionales de Caballos y Yeguas de Pura Raza Española Año, 2013 (Asociación Nacional de Criadores de Caballo de Pura Raza Española) [16]. A continuación se describen las características generales del caballo de Pura Raza Española: Eurimétrico mesolineo y de perfil convexo a recto, de conformación proporcionada, notable armonía y de gran belleza con apreciable dimorfismo sexual. El cuello: debe ser de tamaño y longitud medios, ligeramente arqueado y musculado (manos, en las yeguas). Bien insertado en la cabeza y tronco. Crin abundante y sedosa. Este Reglamento recientemente ha sido actualizado en 2016 [17]. A pesar de los avances de investigación genéticos de esta condición, son requeridos estudios que permitan comprender del desarrollo de la DBDC (Cresty Neck: CN), en équidos. Los aspectos morfológicos en la DBDC no han sido descritos en su totalidad y la biopsia muscular en dicha región puede jugar un importante papel en el desarrollo de esta condición en caballos, con miras a establecer un método diagnostico predictivo. El objetivo de este estudio fue describir los cambios morfológicos, histológicos e inmunohistoquimicos de biopsias de musculo de équidos con DBDC.
Población: Fueron estudiados 150 caballos (Eqqus caballus), 90 caballos (78 castrados y 12 enteros) y 60 yeguas, de las razas Pura Raza Española (84/150), Hispano Árabe (33/150), Lusitano (19/150), Cruzados (14/150), con edades comprendidas entre 5-15 años, todos los caballos fueron seleccionados con DBDC, con grados variables de severidad [1], en las Comunidades Autónomas de Andalucía y Extremadura, España, durante el periodo Enero-Marzo 2016.
Estudio clínico-morfológico: A cada equino se le realizó un examen clínico mediante la inspección detallada y la palpación siguiendo el protocolo descrito para equinos [1]. Se realizó un estudio morfológico considerando la condición corporal (puntas óseas: espina de la escapula, costillas, tuberosidad coxal y tuberosidad isquiática, así como específicamente el peso, mediante una balanza digital para equinos (marca Jack Modelo Mann Scales Inc, EUA), siguiendo el protocolo de adiposidad para la evaluación del borde dorsal del cuello (BDC) descrito para equinos [1]. Se categorizó la variable deformación mediante la siguiente clasificación: Grado de deformación 0: No hay apariencia visual de cresta (Tejido sobre el ligamento cervical). No hay cresta palpable. Grado de deformación 1.- No hay apariencia visual de cresta pero se puede palpar un ligero acumulo adiposo. Grado de deformación 2.- Cresta apreciable visualmente, pero el acúmulo de grasa se deposita equitativamente desde la nuca a la cruz. La cresta se puede palpar y se inclina de un lado a otro. Grado de deformación 3.- Cresta engrosada y más grande. La grasa se deposita mayoritariamente en el medio del cuello dando una apariencia del montículo. La cresta se palpa en una mano y empieza a perder flexibilidad hacia los lados. Grado de deformación 4.- Cresta muy grande y engrosada que no es posible palpar con una mano por su gran tamaño, se mueve fácilmente de un lado a otro. La cresta puede tener arrugas o pliegues perpendiculares a la línea superior. Grado de deformación 5.- La cresta es tan grande que se cae permanentemente hacia un lado. Se midió la distancia de una línea recta desde la nuca a su borde craneal de la cruz. La circunferencia del cuello se midió con una cinta métrica perpendicularmente a esta línea al 25; 50 y 75% de la distancia entre estas dos estructuras, las cuales se les ha designado como D1, D2, y D3, respectivamente. La circunferencia media del cuello se calculó mediante la media de estas tres medidas [3.4].
Biopsia: La técnica de biopsia de la RDC en equinos básicamente consistió en la toma de muestras mediante un sistema de biopsia ajustable, se colectaron seis muestras (punch), en la RDC (craneal, media y caudal) del musculo esplenio, del lado derecho e izquierdo, con una profundidad de 2-3cm. [13]. La técnica se describe detalladamente a continuación: 1.- Una vez realizada la exploración clínica, palpación y medidas morfológicas del diámetro y largo del cuello. 2.- Delimitación del área para la toma de muestra (RDC derecha e izquierda: craneal, media y caudal) 3.- Toma de muestras mediante la técnica de biopsia (sistema de biopsia ajustable) las cuales se toman un número de seis muestras (punch), en la región dorsal del cuello (RDC) (craneal, media y caudal), específicamente el musculo esplenio, del lado derecho e izquierdo. Aproximadamente de 2-3cm. de profundidad. Los planos anatómicos dorso-laterales de la región del cuello se describen a continuación: Primer Plano: piel y subcutis en el borde dorsal, la cresta adiposa de la nuca. Segundo Plano: ramos dorsales cutáneos de los nervios cervicales y la fascia cervical superficial englobando a la porción cervical del músculo trapecio. Tercer Plano: cordón de la nuca, músculos romboides y omotransverso y la rama dorsal del nervio accesorio. Cuarto Plano: musculo esplenio y serrato ventral del cuello. Quinto Plano: Fascia profunda del cuello, músculos semiespinal de la cabeza y longisimos de la cabeza, atlas y cuello. Sexto Plano: lamina de la nuca (porción laminar del ligamento cervical) y los músculos espinal, multifido e intertransverso del cuello. Desinfección de los puntos de toma de muestra para biopsia. 4.- Las muestras una vez obtenidas se fijaron en un recolector identificado, con medio de fijación formol al 10% y/o glurataldehido [13,14].
Análisis histopatológico e inmunohistoquimico: los fragmentos de tejido fueron procesados por los métodos histológicos convencionales y teñidos con la coloración de rutina hematoxilina y eosina. Las biopsias fueron clasificadas por los patrones de reconocimiento descritos en la literatura [12]. Adicionalmente fue empleada la tinción de Tricromico de Masson con el objetivo de delimitar la fibra de colágeno y elásticas, tejido conjuntivo, muscular y fibras musculares. Las preparaciones histológicas fueron observadas al microscopio óptico (Olimpus, CX23, Japón). Se empleo el anticuerpo Desmina (abcam, AntiDesmin antibody ab8592, EUA), (dilución 1:100), para el estudio inmunohistoquimico, dado que es un filamento intermedio se encuentra en las células del músculo liso, esquelético y cardiaco [5,18].
Análisis morfométrico: se empleo el programa Imagen Tools (http://compdent.uthscsa.edu/dig/itdesc.html), con imágenes digitalizadas de biopsias de musculo en sus respectivos grados del 0-5. El procedimiento consiste en trazar una línea sobre la gratícula, se seleccionó la unidad de medida (µm) y se registró la longitud de línea. Una vez calibrado el programa, se maximizó la imagen de interés y se seleccionó el icono, para medir las variables (superficie y profundidad). En cada medición se registraron los datos morfométricos correspondientes a las variables en una hoja de resultados del programa y automáticamente se obtuvieron la media y la desviación estándar de las mediciones realizadas. Se realizó un análisis estadístico ANOVA de las variables raza, medidas del cuello. Adicionalmente un análisis de covarianza de las variables estudiadas (grado de deformidad, medidas morfométricas, edad, raza y el sexo).
Los resultados obtenidos evidencian deformación del BDC Cresty Neck (CN) en todos los equinos estudiados, con predominio del grado 3 (67%) (FIG. 1), grado 4 (25%) (FIG. 2) y grado 5 (8%).


No se observaron equinos con los grados 0-2. Los resultados se presentan en detalle en la siguiente (TABLA I).

M: media, SD: Desviación Estándar (µm).
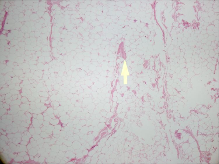
El análisis histopatológico evidencia los siguientes patrones: Grado 3.- caracterizado por vacuolas de grasa abundantes coalescentes en el espacio intermiofibrilar y con infiltración grasa moderada en tejido muscular (lipomatosis moderada) (67%) (FIG. 3).

Grado 4.- Se observaron vacuolas de grasa abundantes en el espacio intermiofibrilar con tendencia a la coalescencia y con infiltración grasa en tejido muscular (lipomatosis marcada) (25%). Grado 5.- caracterizado solo por vacuolas de grasa, no se evidencia tejido muscular (lipomatosis severa) (8%). La coloración Tricromico Masson fue positiva (+++), en todos los casos evidenciando la tinción de las fibras de colágeno, y el conectivo en general y fibras musculares. Se observó con mayor intensidad en los grados 3-4 y menor intensidad en el grado 5. El anticuerpo Desmina fue negativo para los grados 3, 4 y 5 (Desmina Negativo---). No se observaron diferencias significativas (P) morfológicas, histológicas, inmunohistoquimicas entre las razas estudiadas. Se observó el mismo patrón histológico para cada grado. Los resultados estadísticos muestran una correlación negativa entre el grado de deformidad y las medidas morfométricas de la biopsia (-0,71), así como en el resto de las variables estudiadas. En referencia al ANOVA, se muestra en la (TABLA II).


Los resultados obtenidos evidencian un importante número de casos de DBDC en equinos Pura Raza Española, HispanoÁrabe, Lusitanos y en razas Cruzadas. La mayor severidad de deformación (Grado 5), se presentó en caballos de raza Lusitano (15%) y Cruzados (14%), de Pura Raza Española (10%), considerando el sexo en machos castrados y en un solo caballo entero, sin embargo, en caballos Hispano-Árabe no fueron observados caballos con Grado 5 de deformación. En hembras presentaron menor severidad de deformación comparativamente con los machos. Estadísticamente no presentaron correlación entre la deformidad del cuello y el sexo, solo se consideró la raza para este reporte y no otras variables. Estudios genéticos recientes sugieren que la heredabilidad estimada para la puntuación CN, en caballos de Pura Raza Española, es bien moderada y de magnitud similar a la estimada por otros rasgos morfológicos lineales es esta raza aproximadamente 0,37 [21]. En general, las correlaciones genéticas entre la puntuación de la cresta del cuello y otros rasgos conformacionales fueron bajos [21]. En relación a la edad se observó la deformación del BDC a partir de los 5 años, el coeficiente de correlación entre edad y grado de deformación fue de 0,941, esto parece indicar una correlación entre a edad y la severidad de la deformación del cuello. A mayor edad mayor grado de deformación en ambos sexos. Estos resultados parecen coincidir con otros estudios en caballos de Pura Raza Española, que sugieren que la cresta del cuello está asociada a factores sistemáticos, tales como la edad, el sexo, el color del pelaje y la conformación de los miembros [21]. Otros estudios que asocian la obesidad con la cresta del cuello, reportan una prevalencia del grado de adiposidad del cuello ≥ 3/5, mayor al final del invierno, que al final del verano [7]. Este estudio fue realizado a finales del invierno, por lo tanto se puede asociar a la época al incremento del grado de deformidad, aunque los equinos estudiados no han sido evaluados en otra época del año para su respectiva comparación. Se requieren más estudios para dilucidar la influencia potencial de la época del año sobre la interpretación e investigación de la cresta dorsal del cuello, y la variabilidad estacional de la adiposidad en la cresta de la nuca [7]. Los aspectos morfológicos (diámetro del cuello), evidencian una media de 105,78, SD (desviación estándar) 15,55, V (Varianza) 241,92. El coeficiente de correlación entre deformidad y medidas morfológicas evidencia que fue negativo, así como para medidas del cuello y medidas morfométricas -0,172, también fue negativo. Estudios en el BDC relacionados con ligamento cervical y adiposidad, no muestran diferencias significativas (P) relacionadas con la raza, la edad y el sexo [6]. En relación a la técnica de biopsia, muchos estudios han intentado dilucidar la causa de esta condición, sin embargo ha sido limitado obtener muestras de las estructuras anatómicas de la RDC, es por ello la necesidad de crear esta técnica de biopsia que permita el abordaje para la toma de muestras de la RDC y por ende el estudio morfológico descriptivo que permita valorar el estado del componente anatómico (piel, tejido graso y musculo) de esta región en caballos [13]. No se evidenciaron complicaciones asociadas a la toma de muestra en los equinos estudiados. El análisis histopatológico caracterizado por lo patrones descritos en la literatura [14], mostró los siguientes grados: Grado 3, Grado 4 y Grado 5, los Grados 0-2, que corresponden a caballos normales, sin CN, no fueron observados. Estas observaciones microscópicas permiten describir procesos metabólicos degenerativos asociados a infiltración grasa (lipomatosis), progresiva en el tejido muscular de la RDC que se incrementa proporcionalmente al grado de infiltración grasa. Estos cambios metabólicos degenerativos se corroboran desde el punto de vista inmunohistoquimico que, describen el proceso degenerativo que desarrolla la miofibrilla muscular, caracterizada por aumento del espacio intercelular, pérdida del citoesqueleto celular y pérdida de las bandas Z, asociada a la infiltración grasa (lipomatosis), en los equinos estudiados. Existen severas controversias entre clínicos, genetistas y productores que consideran a la DBDC-CN como un defecto. Las observaciones clínicas-histopatológicas-inmunohistoquímica permiten confirmar que la DBDC-CN es una condición patológica específicamente, un trastorno metabólico degenerativo caracterizado por acúmulo de los lípidos que puede presentarse en equinos. Son necesarios estudios complementarios: bioquímicos, inmunohistoquimicos, ultraestructurales y moleculares con el objeto de estandarizar la biopsia de la RDC, consensuado con un sistema de gradación de la celularidad como patrón predictivo en equinos que a futuro pueda emplearse como examen pre-compra. La obesidad parece estar relacionada con el desarrollo de la DBDC [2], sin embargo es posible observar esta condición en caballos que no presentan obesidad [13]. Observaciones reportadas por veterinarios especialistas en equinos sugieren que la obesidad es un problema creciente en la población equina de compañía [1]. La resistencia a la insulina (IR), el síndrome metabólico equino (EMS) y la disfunción de la parte intermedia de la glándula pituitaria (PPID), son trastornos que tienen en común una alteración del metabolismo de cortisol [9], laminitis y muchos de estos trastornos posiblemente puedan estar relacionados con la DBDC. Clínicamente no se observaron otras patologías subyacentes como IR, EMS, PPID, mielopatia estenotica cervical (MEC), osteoartrosis cervical (OA), en los caballos estudiados.
Los cambios morfológicos, histológicos e inmunohistoquimicos de biopsias de musculo de equinos con DBDC observados fueron procesos metabólicos degenerativos asociados a infiltración grasa (lipomatosis), progresiva en el tejido muscular de la RDC que se incrementa proporcionalmente al grado de infiltración grasa. Estos cambios metabólicos degenerativos se observaron en la miofibrilla muscular, caracterizada por aumento del espacio intercelular, pérdida del citoesqueleto celular y pérdida de las bandas Z, asociada a la infiltración grasa (lipomatosis), en los equinos estudiados. En hembras se observó menor severidad de deformación comparativamente con los machos. En relación a la edad se observó la deformación del BDC a partir de los 5 años, el coeficiente de correlación entre edad y grado de deformación fue de 0,941, esto parece indicar una correlación entre a edad y la severidad de la deformación del cuello. Las observaciones clínicas-histopatológicas-inmunohistoquímica permiten confirmar que la DBDC-CN, es una condición patológica específicamente, un trastorno metabólico degenerativo caracterizado por acúmulo de los lípidos que puede presentarse en equinos.
Los autores agradecen el invaluable aporte del Departamento de Anatomía y Anatomía Patológica Comparadas de la Universidad de Córdoba, España y a la colaboración de la Asociación de Veterinarios Especialistas de Équidos de España (AVEEE).
aamorales13@gmail.com



M: media, SD: Desviación Estándar (µm).


