Resumen
Antecedentes: La encefalitis autoinmune se presenta como un cuadro subagudo con fuerte asociación infecciosa en los niños. En los últimos 20 años, la frecuencia de casos no infecciosos ha aumentado de manera significativa
Caso clínico: Niño del sexo masculino de ocho años de edad previamente sano con neurodesarrollo normal, sin antecedente de consanguinidad, en quien se manifestó deterioro neurológico progresivo con encefalitis autoinmune-encefalitis límbica hasta disfunción hipotalámica.
Conclusión: En el caso referido se documentó un error innato del sistema inmunológico que generó cuadro clínico neurológico severo, con daño permanente e irreversible secundario a falta de memoria inmunológica en el contexto clínico amplio de una inmunodeficiencia común variable.
Palabras clave: Deterioro neurológico, Error innato del sistema inmunológico, Inmunodeficiencia común variable, Encefalitis autoinmune, Encefalitis límbica, Niños.
Abstract
Background: Autoimmune encephalitis occurs as a subacute condition with a strong infectious association in children. In the last 20 years, the frequency of non-infectious cases has increased significantly.
Clinical case: A previously healthy eight-year-old male child with normal neurodevelopment, without a history of consanguinity, manifested progressive neurological deterioration with autoimmune encephalitis-limbic encephalitis up to hypothalamic dysfunction.
Conclusion: In the mentioned case, it was documented that an inborn error of the immune system generated a severe neurological clinical picture, with permanent and irreversible damage, secondary to lack of immunological memory in the broad clinical context of a common variable immunodeficiency.
Key words: Neurological impairment, Inborn error of the immune system, Common variable immunodeficiency, Autoimmune encephalitis, Limbic encephalitis, Children.
Casos clínicos
Encefalitis autoinmune-encefalitis límbica. Caso clínico
Autoimmune encephalitis-limbic encephalitis. A Clinical case
Recepción: 15 Marzo 2020
Aprobación: 15 Junio 2020
Las urgencias neurológicas que reúnen la constelación de síntomas, alteraciones del estado de conciencia, síntomas neuropsiquiátricos, movimientos anormales, deterioro del lenguaje, disautonomías, cefalea, vómito o crisis convulsivas alertan al médico1 y suponen que existe daño severo en el sistema nervioso central. El síndrome encefálico implica un proceso inflamatorio del parénquima cerebral se manifiesta como un conjunto de síntomas y signos con disminución o alternancia del nivel de conciencia, que suele prolongarse por más de 24 horas. Este escenario está relacionado con causas agudas metabólicas, tóxicas e infecciosas, siendo está última la más común, vinculada a déficit temporal o permanente según el agente etiológico.2,3
La encefalitis autoinmune se presenta como un cuadro subagudo con fuerte asociación infecciosa en los casos pediátricos. Sin embargo, en los últimos 20 años la frecuencia de casos no infecciosos ha aumentado de manera significativa.4 Por evolución tórpida del paciente, susceptibilidad mayor a infección y autoinmunidad, se sospecha causa posible por lesión inmunológica. Se estudian los compartimientos de respuesta humoral y celular.
Niño de ocho años tres meses, natural y procedente de Bogotá, Colombia. Fue hospitalizado por cuadro clínico de cinco días de evolución de astenia, adinamia, hiporexia, somnolencia, cefalea global intensidad severa, vómito en proyectil (siete episodios), diplopia horizontal, asistencia para la marcha.
Sin antecedentes patológicos de relevancia, neurodesarrollo normal, en el ámbito escolar con buen desempeño, sin trastornos del sueño. El paciente mostró reacción adversa a cefalexina y amoxicilina. Poseía esquema de vacunación completo. Sin antecedentes familiares de inmunodeficiencias o enfermedades autoinmunes, enfermedades neurológicas progresivas o muertes inexplicables. No existía consanguinidad ni endogamia.
A la hospitalización, el paciente se encontraba alerta, orientado en tiempo, espacio y persona; seguía órdenes complejas, su lenguaje era adecuado en contenido y velocidad, no presentaba afasias ni agnosias. La oftalmoscopia bilateral fue normal, se observó isocoria reactiva de 3 mm, reflejo fotomotor positivo, reflejo consensual bilateral, sin oftalmoparesias. Durante la exploración negó diplopía, aunque indicó que la presentaba en forma intermitente. Se observó simetría facial, lengua y úvula centradas; el paciente indicó presencia de reflejo nauseoso. La fuerza cervical se encontraba conservada, el tono y la fuerza muscular eran normales en las cuatro extremidades, reflejos normales, respuesta plantar flexora, marcha sin alteraciones, sin signos encefálicos, meníngeos o cerebelosos, ni movimientos anormales.
La evolución fue tórpida a las 48 horas, con deterioro neurológico progresivo; el lenguaje se tornó incoherente, ecolálico y el estado de conciencia fluctuaba de agitación severa a somnolencia y estupor. Los movimientos de los ojos eran anormales. El paciente fue traslado a la unidad de cuidados intensivos pediátricos, donde se registró hipertensión arterial sistémica, hipotiroidismo e hiponatremia asociada a síndrome de secreción inadecuada de hormona antidiurética y crisis convulsivas focales no provocadas. El estado neurológico evolucionó a mínima conciencia, síndrome distónico y trastorno deglutorio (gastrostomía).
Consisitió en corticosteroides (30 mg/kg de metil-prednisolona, tres dosis), plasmaféresis (cuatro recambios) e inmunoglubulina humana (2 g/kg de IgG intravenosa). Ante pobre respuesta se administraron 375 mg/m2 de superficie corporal de rituximab (cuatro dosis) y 500 mg de ciclofosfamida (dos dosis). En el Cuadro 1 se resumen los estudios de diagnóstico y tratamiento. El paciente fue egresado con manejo médico y recomendaciones de terapia física y respiratoria en casa, con diagnóstico de encefalitis autoinmune-encefalitis límbica.

El paciente reingresó cuatro meses después por fiebre de ocho días de evolución asociada a tos productiva y crisis convulsiva. Por radiografía de tórax se documentó engrosamiento peribronquial bilateral con tendencia a consolidación del lóbulo superior derecho y opacidades alveolares bilaterales con predominio central y basal (ampicilina-sulbactam). El panel viral indicó positividad a influenza A y B (oseltamivir); en el cultivo del catéter central se identificó Klebsiella oxytoca multisensible (ampicilina-sulbactam).
Por persistencia de fiebre durante la hospitalización se diagnosticó disfunción termorreguladora hipotalámica como secuela de la encefalitis autoinmune, dado que la temperatura corporal se modificaba con la del ambiente. Se solicitó valoración por inmunología clínica.
El perfil inmunológico indicó IgG baja (3.5), linfocitos LBCD19+ ausentes (absolutos y porcentuales), linfocitos T CD3 normales (1.953), NK normales (154), CD8 normales (1.001), CD4 normales (479-39.8 %), CD4/CD8 bajos (0.76). La prueba de citomegalovirus indicó IgG de 204 (+) y la del virus de Epstein-Barr, IgG de 4.75 (+) e IgM de 0.03. En las subclases de IgG se encontró G1 y G2 altas (16.84 y 8.73 g/L), así como G3 y G4 normales (0.8 y 0.73). También se registró linfopenia leve sostenida (830 células/μL) y leucocitos totales normales (5600).
Por los resultados anteriores se sospechó error innato del sistema inmunológico en órgano blanco (sistema nervioso central), defecto en células B, falla de memoria inmunológica, por posible variante de inmunodeficiencia común variable. Se indicó inmunoglobulina intravenosa para suplir el déficit y para inmunomodulación (1 g/kg). Posterior al egreso de la segunda hospitalización se indicaron pruebas de laboratorios control cada seis meses (Cuadro 2).

En 2007, Dalmau5 describió un caso de encefalopatía autoinmune causada por anticuerpos antirreceptor N-metil-D-aspartato en un paciente con teratoma de ovario. Este hallazgo desató un cambio radical en el abordaje de este trastorno y significó la apertura al estudio de otros cuadros de encefalitis y su asociación con síndromes paraneoplásicos. La encefalopatía autoinmune se asocia a producción de anticuerpos contra diferentes receptores del sistema nervioso central; su ausencia no excluye la posibilidad de alteración inmunológica y una prueba positiva no siempre implica un diagnóstico específico.2,4,6 Los criterios publicados en 2016 por Francesc Graus se exponen en el Cuadro 3.7

No obstante, el abordaje neurológico de la encefalitis autoinmune engloba criterios clínicos, de líquido cefalorraquídeo, imágenes, cambios en el electroencefalograma, como presencia de "cepillo-delta" extremo por antirreceptor de N-metil-D-as-partato,8,9 por lo que se hace necesario buscar otras causas probables como las de origen inmunológico que puedan esclarecer la evolución clínica.
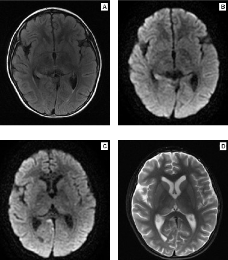
La encefalopatía límbica se caracteriza por cuadro súbito asociado a confusión, déficit de memoria, cambios de humor y, a menudo, convulsiones. El desarrollo subagudo de pérdida de memoria a corto plazo se considera el sello distintivo de este trastorno;7 los criterios diagnósticos se describen en el Cuadro 4 y los hallazgos por imagen de resonancia magnética cerebral se aprecian en la Figura 1.


En el paciente reportado no se documentó el anticuerpo antirreceptor de N-metil-D-aspartato. Sin embargo, el compromiso límbico1 podría estar relacionado con un tipo de encefalitis antirreceptor AMPA, antirreceptor GABAB, antirreceptor LGI1 (asociado a hiponatremia), antirreceptor CASPR2, o bien, antirreceptor dopamina-2 (compromiso de ganglios basales y movimientos anormales).
Por evolución clínica y de laboratorios se sospechó lesión inmunológica asociada a cuadro fenotípico de encefalitis autoinmune-encefalitis límbica. El perfil inmunológico indicó patrón de linfocitos B defectuoso por marcada disminución de subpoblaciones de memoria, con y sin cambio de isotipo.10
Se propuso como posibilidad diagnóstica de exclusión, inmunodeficiencia común y variable con compromiso autoinmune de sistema nervioso central, hipogamaglobulinemia y disminución marcada de células de memoria, que orienta a reacción germinal insuficiente probablemente por bloqueo en la transición de células T1 a T2.11
Se describe que las células pro-B derivadas de médula ósea (CD19− CD10+/− CD20− CD22+ CD24− vpreB-Igα+/−) se diferencian a pre-B (CD19+ CD10+ CD20- CD24+ verb+ Igα+ intracelular μ+) y posteriormente a células B inmaduras o transicionales (CD19+ CD10+ CD20 CD24++ IgM+).
Solamente de 10 a 20 % de estas células B transicionales abandonan la médula ósea, convirtiéndose en células B de transición tipo1 (IgMhi IgD− CD21− CD23+) y células B de transición tipo 2 (IgMhi IgD+CD21intCD23+). Estas células B transicionales pueden convertirse en células B de zona marginal (CD27+ CD38− IgMhi IgD−), célula B folicular sin infección (CD27− CD38+ IgMint), diferenciándose posteriormente en célula B de memoria (plasmablasto), con cambio de isotipo (CD27+ CD38+ CD24++ IgM− IgD−).12 El compartimento de las células B es muy dinámico a lo largo de la vida y los defectos de estas células pueden variar según la edad. El marcador CD19 es una glucoproteína que se expresa exclusivamente en todo el desarrollo de las células B. El recuento disminuido de los linfocitos B de memoria persiste en los pacientes con inmunodeficiencia común variable.
En este caso, documentamos un error innato del sistema inmunológico por cuadro clínico neurológico severo con daño permanente e irreversible, secundario a falta de memoria inmunológica por lesión de los linfocitos B en el contexto clínico amplio de una inmunodeficiencia común variable.
Consideramos importante informar a los médicos pediatras sobre la presencia de este tipo de enfermedades, no necesariamente relacionadas con patología oncológica, paraneoplásica o puramente infecciosa.
Debemos empezar a pensar en las enfermedades raras para que dejen de serlo. El tamizaje inmunológico se debe considerar en todo paciente con una enfermedad grave compleja de difícil resolución. La intervención especializada de un equipo transdisciplinario y el manejo correcto y oportuno desde el primer contacto pueden significar un cambio fundamental en términos de morbimortalidad y calidad de vida de los pacientes.
*Correspondencia: María Claudia Ortega-López mcol19@yahoo.com




