TRABAJO INVESTIGACIÓN
Recepción: 21 Agosto 2020
Recibido del documento revisado: 11 Febrero 2021
Aprobación: 15 Marzo 2021
DOI: https://doi.org/10.4067/S2452-55882022000100039
Financiamiento
Fuente: FONDECYT
Nº de contrato: 1160015
Nº de contrato: 1120062
Descripción del financiamiento: FONDECYT 1160015 y 1120062: MJG, SA, CM, SG e IC
RESUMEN
Objetivos.: Identificar la presencia de Macrófagos en el infiltrado inflamatorio y VEB en células inflamatorias, correlacionándolos con las características histológicas de glándulas salivales labiales.
Metodología.: En biopsias de glándulas salivales labiales (8 pacientes y 7 individuos controles) se realizó inmunohistoquímica antiCD-68 para identificar macrófagos. El conteo de macrófagos y células inflamatorias se efectuó en relación a su distribución en las glándulas salivales. La presencia del virus fue evaluada mediante hibridación in situ e inmunohistoquímica para LMP1. Se utilizó el test t no pareado y de Mann-Whitney para comparar los grupos, y coeficiente de correlación de Pearson para correlacionar con parámetros histológicos.
Resultados.: Se observó un mayor número de macrófagos en el infiltrado inflamatorio de pacientes (p=0,001**). Los macrófagos se distribuyeron difusamente en las glándulas de controles y en los focos inflamatorios de pacientes. En ambos grupos no se detectó la presencia del virus Epstein-Barr.
Conclusión. : Los pacientes con síndrome de Sjögren presentaron mayor presencia de macrófagos y su incremento es a expensas del foco inflamatorio.
PALABRAS CLAVE: Síndrome de Sjögren, Glándula salival labial, Macrófagos, Virus Epstein-Barr.
ABSTRACT
Objectives.: Identify the presence of macrophages in the inflammatory infiltrate and Epstein-Barr virus in inflammatory cells, correlating them with the histological features of labial salivary glands.
Methodology.: In labial salivary glands biopsies of 8 patients and 7 control individuals, anti-CD-68 immunohistochemistry was performed to identify macrophages. The macrophages and inflammatory cells were counted in relation to their distribution in the salivary glands. The presence of the virus was evaluated by in situ hybridization for viral RNA and immunohistochemistry for latent membrane protein type 1. The comparison between both groups was made using the unpaired t-test and Mann-Whitney test. The correlations with histological parameters were established with the Pearson´s correlation coefficient.
Results. : A greater number of macrophages was observed in the inflammatory infiltrate of SS patients (p=0,001**). Macrophages in control individuals were diffusely distributed in the gland, while, SS in patients, they were mainly located in inflammatory foci. In both groups, no inflammatory or epithelial cells infected by the Epstein-Barr virus were identified.
Conclusion.: Patients with Sjögren’s syndrome had a greater presence of macrophages and their increase is at the expense of the inflammatory focus.
KEY WORDS: Sjögren’s syndrome, Labial salivary gland, Macrophages, Epstein-Barr virus.
INTRODUCCIÓN
El síndrome de Sjögren (SS) es una enfermedad multisistémica crónica, mediada inmunológicamente1, que se caracteriza por la producción de autoanticuerpos y la presencia de infiltrado linfocitario en las glándulas exocrinas. En esta enfermedad, se produce el deterioro progresivo de las glándulas exocrinas salivales y lagrimales (exocrinopatías), manifestándose con sensación de sequedad de las mucosas orales (xerostomía) y oculares (queratoconjuntivitis sicca). Sin embargo, a través del proceso inflamatorio, pueden afectarse otros órganos, desarrollando diversas alteraciones sistémicas como fatiga, artralgia, enfermedad pulmonar obstructiva crónica, glomerulonefritis, entre otras2.
El SS es la segunda enfermedad autoinmune más frecuente, afectando entre el 0,1 al 3% de la población mundial3. El SS afecta con mayor frecuencia a mujeres entre la cuarta y quinta década de vida, con una relación de 9:1 respecto de los hombres4.
El diagnóstico del SS se realiza aplicando diferentes criterios. Uno de los criterios utilizados es del consenso Americano-Europeo del 2002, que consta de 6 parámetros, 4 objetivos y 2 subjetivos. El análisis histopatológico de glándulas salivales y la presencia a nivel sérico de autoanticuerpos anti-Ro, y anti-La, son fundamentales para la clasificación diagnóstica5, ya que al menos uno de estos criterios debe estar presente para que el paciente se clasifique como SS.
Desde un punto de vista histológico las glándulas salivales (GS) de estos pacientes presentan acúmulos de células inflamatorias, constituidos por poblaciones celulares que varían de acuerdo con la severidad de las lesiones6. Las células inflamatorias más abundantes son los linfocitos T y B, correspondientes al 90% de la población celular, mientras que 10% restante lo componen los macrófagos (Mø), células dendríticas y natural killers7. Los mecanismos que subyacen al grado de infiltración y predominio celular del infiltrado entre los pacientes no han sido descritos. Sin embargo, se ha asociado el grado de infiltración con la presencia de manifestaciones sistémicas extraglandulares, sugiriendo que estos pacientes constituyen un subfenotipo más severo de la enfermedad7. Dentro de las complicaciones extraglandulares más severas que pueden presentar los pacientes SS, es el mayor riesgo de desarrollar neoplasias malignas8, existiendo una asociación con el desarrollo de linfomas de tipo no Hodgkin. Se ha reportado que entre un 4,3%-5% de los pacientes SS podrían padecer esta neoplasia9.
Los Mø forman parte del sistema fagocítico mononuclear. De acuerdo a su fenotipo funcional los Mø se clasifican en “M1”, con cualidades microbicidas, antitumorales y potentes productores de factores proinflamatorios; y los “M2” que presentan funciones antiinflamatorias y regulan el proceso de reparación tisular10.
Los Mø se encuentran en bajo porcentaje en los infiltrados inflamatorios de GS de pacientes con síndrome de Sjögren. Sin embargo, estos producen y liberan mediadores inflamatorios que se asocian con daño en el tejido glandular11. Los Mø se reclutan con anterioridad a los linfocitos en las GS, como se ha observado en modelos animales, promoviendo de esta forma un mayor reclutamiento de células inflamatorias12. Por otro lado, los Mø son potentes productores de citocinas bajos condiciones inflamatorias y contribuyen al proceso autoinmune local.
Zhao et al. 13 observaron que los Mø que infiltran las GS de pacientes SS, eran positivos para CXCL13+, una quimiocina que recluta a las células B que expresan CXCR5 y a las células T foliculares auxiliares. Esto favorecería el desarrollo de centros germinales ectópicos. Además, evidenciaron un recuento elevado de Mø (CXCL13+), asociado a mayor infiltración linfocítica glandular.
Adicionalmente, diferentes autores muestran que la proporción de Mø es bastante variable. Sin embargo, Mannousakis et al encontraron un aumento en el número de Mø en el infiltrado de GS menores de pacientes SS, relacionado con un aumento de volumen de las glándulas salivales mayores (parotidomegalia)14 e hipocomplementemia C414. Mientras que Christodoulou et al lo relacionó con el desarrollo de linfomas7.
El Virus Epstein-Barr (VEB) es un ADN virus de la familia del Herpes (HHV-4), que se transmite por la saliva, con una seroprevalencia a nivel mundial de un 95%15. El VEB emplea el receptor CD21 para infectar y permanecer en las células B durante toda la vida del individuo, debido, entre otras cosas, a que posee un eficaz mecanismo de evasión inmunitaria16. El VEB puede desempeñar un papel en el desarrollo del SS ya que presenta tropismo por las GS y linfocitos B, favoreciendo el desorden autoinmunitario e induciendo la apoptosis celular. Estos eventos benefician el desenmascaramiento antigénico que conduciría a la activación de células T y B autorreactivas, a través de un proceso denominado “mimetismo molecular”17. Varios estudios han reportado un aumento en la presencia del VEB en GS menores de pacientes SS comparados con individuos controles18,19, mientras que otros no lo han evidenciado20.
De acuerdo a estos antecedentes, el objetivo de este estudio fue identificar las presencia de macrófagos e infección por el VEB en el infiltrado inflamatorio de glándulas salivales labiales de pacientes SS. Adicionalmente, se evaluó la asociación entre el número de macrófagos y el compromiso inflamatorio de las biopsias de GS labiales de pacientes SS.
MATERIALES Y MÉTODOS
Pacientes y Controles
La muestra fue reclutada por conveniencia. La glándulas salivales labiales (GSL) fueron obtenidas de 15 individuos. Ocho pacientes fueron diagnosticados con síndrome de Sjögren primario siguiendo los criterios de clasificación propuestos por el Consenso Americano-Europeo del 20025 y siete individuos controles, que presentaban sintomatología sicca (xerostomía y ojo seco), y que no cumplían con los criterios de clasificación diagnóstica para SS (ver Tabla 1) y cuyo estudio histopatológico de la glándula salival labial era normal o presentaba sialoadenitis crónica difusa leve. Se excluyeron individuos con radioterapia de cabeza y cuello, Infección por virus de la hepatitis C, síndrome de inmunodeficiencia adquirida, linfoma preexistente, sarcoidosis, enfermedad de injerto contra huésped o que utilizaran medicamentos anticolinérgicos.

Previo a la biopsia, los pacientes firmaron un consentimiento informado, aprobado por el comité de Ética de la Facultad de Medicina de la Universidad de Chile (Nº 010 - 2016) y del Servicio de Salud Metropolitano Oriente.
Biopsias
Las GS labiales se obtuvieron en ambos grupos, mediante la técnica descrita por Daniels et al20. El procedimiento fue realizado por el mismo operador (SG). Se recolectaron las glándulas y fueron fijadas inmediatamente en para-formaldehído tamponado al 1% e incluidas posteriormente en parafina.
Detección de Macrófagos y VEB
Análisis inmunohistoquímico de macrófagos (CD-68) y de la proteína de fase latente de membrana 1 del VEB (LMP-1):
Las muestras fueron desparafinadas por medio de EZ Prep® y calor e hidratación con buffer Reaction Buffer®; se realizó la recuperación antigénica, por 1 hr. con Ultra CC1® (Buffer Tris pH 7,6 ± 0,2); y se inhibió la actividad de la peroxidasa endógena con H2O2; a continuación, se agregó el anticuerpo primario incubado en instrumento BenchMark ULTRA, por 16 minutos a 37 °C para CD-68 (Confirm anti-CD68 (KP-1), Roche Tissue Diagnostics) y a 36°C por 80 minutos para LMP-1 (CS1-4, Cell Marque, Sigma-Aldrich). Finalmente, se utilizó el sistema de detección ultraView™ Universal DAB Detection Kit® (antiCD-68) y OptiView DAB IHC Detection Kit® (anti LMP-1). La contratinción se realizó con Hematoxylin II (Roche Tissue Diagnostics)®, por 8 minutos para CD-68 y 12 minutos para LMP-1 y postcontratinción con Bluing Reagent (Roche Tissue Diagnostics®), por 8 minutos.
Hibridación in situ para detectar al Virus de Epstein-Barr
Se realizó hibridación in situ para identificar el ARN no codificante del VEB denominado EBER. Posterior a la desparafinación e hidratación, se realizó el acondicionamiento celular utilizando CC1® (buffer Tris pH 7,6 ± 0,2), 100°C, durante 64 mins. Se aplicó proteasa ISH 2, por 16 minutos. A continuación, se aplicó la sonda INFORM EBER Probe (Roche Tissue Diagnostics), y posteriormente se detectó mediante el sistema ISH iVIEWBlue Detection Kit (Roche Diagnostics®). Finalmente se efectuó la contratinción con Red Counterstain II (Roche Tissue Diagnostics), durante 4 minutos.
Se utilizó como control positivo para la detección de LMP-1 y EBER secciones de linfoma de Hodgkin y linfoma T/NK, ambos VEB+, respectivamente.
Recuento células positivas para macrófagos y VEB:
- El recuento se realizó manual e independientemente, por dos observadores ciegos. Ambos observaron la glándula completa correspondiente a cada placa con un aumento de 40x, con el fin de identificar macrófagos o células inflamatorias infectadas por VEB. Se utilizó el software Image J (http:// imagej.nih.gov/ij/) para determinar el número total de células inflamatorias presentes en cada glándula. Se consideraron como positivas aquellas células cuya morfología correspondía con la descrita para los macrófagos21. El recuento fue realizado tanto de aquellos macrófagos presentes en el infiltrado inflamatorio difuso de pacientes SS y controles, así como en el infiltrado periductal de las GSL de pacientes SS.
- Se utilizó la siguiente ecuación para determinar la proporción de macrófagos en cada lámina:
Nº total de macrófagos
Nº total de células inflamatorias *100
Análisis Estadístico:
Una vez contabilizadas las células, se determinó el promedio y la desviación estándar en cada grupo y se compararon. Se realizo test Shapiro-Wilks para evaluar normalidad de los datos obtenidos. En los datos que presentaron distribución normal se utilizó el test t Student no pareado, mientras que en aquellos datos que no presentaron distribución normal se utilizó el test de Mann-Whitney. Los análisis de correlación se realizaron obteniendo el coeficiente de correlación de Pearson. Se utilizó el programa STATA v 16.0 y se fijó una significancia estadística de 0.05.
RESULTADOS
Aumento en el número de Mø en el foco inflamatorio de GSL de pacientes SS
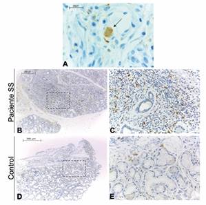
La glicoproteína CD68 se encuentra en la membrana plasmática y citoplasma de Mø y monocitos. En GS labiales de pacientes SS y controles, observamos que la señal inmunohistoquímica se encontró en ambas localizaciones en células que presentan morfología de Mø (Figura 1 A). Sólo un individuo fue negativo para la inmunotinción.
Al analizar la localización que presentaban los Mø en las GS labiales de los pacientes SS, estos se encontraban dispersos en el estroma glandular y en el foco inflamatorio periductal (Figura1 B y C). En los individuos controles, Los Mø se distribuyeron de manera dispersa en toda la GS labial (Figura 1 D y E).

Al comparar el número de Mø entre ambos grupos, se encontró que los pacientes presentaron 9 veces más Mø que los controles (valor-p=0.001) (Tabla 2, Figura 2A). El número de células inflamatorias totales también fue mayor en pacientes en comparación con controles (valor-p=0,002)(Tabla 2, Figura 2B). Posteriormente, se comparó la proporción de Mø presentes en las glándulas salivales labiales de pacientes SS e individuos controles, no encontrando diferencias significativas (valor-p=0,5) (Tabla 2).


Al comparar la proporción de Mø dispersos (fuera del foco periductal) en las GS labiales de los pacientes SS y el total de Mø (dispersos en toda la glándula) en individuos controles, no se encontraron diferencias estadísticamente significativas (valor-p=0,7) (Figura 2 C). Además, al comparar la proporción de Mø en el foco inflamatorio periductal versus los dispersos en el estroma glandular en los pacientes SS, encontramos una mayor proporción de Mø en el infiltrado periductal (valor-p=0,04) (Tabla 3, Figura 2 C). Cabe destacar el gran infiltrado inflamatorio disperso que también presentan los pacientes SS (Tabla 3).

El aumento en el número de Mø se correlaciona con el grado de inflamación glandular.
Al correlacionar el número de macrófagos con el número de células inflamatorias, coincidente con un mayor score de foco, observamos que a medida que aumenta el grado de inflamación es mayor el número de Mø, aumento que es estadísticamente significativo (r=0,83; valor-p=0,01) (Figura 2D). Si bien las células inflamatorias aumentan tanto en el foco como dispersas, el incremento de Mø es fundamentalmente a expensas de su aumento en el foco inflamatorio periductal. Adicionalmente, encontramos que, a mayor edad, disminuyen en nuestra muestra el número de células inflamatorias en ambos grupos (r=-0,643 en pacientes, valor-p=0,08) y disminuye el número de Mø en los pacientes SS (r=-0,52 en pacientes, valor-p=0,18).
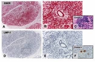
Inmunodetección negativa para el VEB en pacientes SS
Al analizar por medio de hibridación in situ (EBER) e inmunohistoquímica (LMP-1) las biopsias de GSL de los individuos controles (n=7) y pacientes SS (n=8), no se detectó la presencia del VEB, al compararlos con sus respectivos controles positivos (Figura 3).

DISCUSIÓN
En nuestro trabajo encontramos que los pacientes SS presentaron un mayor número de células inflamatorias y de Mø con respecto a los individuos controles, al igual que lo reportado por Christodoulou et al7. Estudios previos de biopsias de GS labiales de pacientes SS, demostraron que las células más abundantes que conforman los infiltrados inflamatorios periductales, corresponden a linfocitos T en estadios iniciales, y linfocitos B, que incrementan a medida que es mayor la severidad de la respuesta inflamatoria14. Estos linfocitos constituyen el 90% del infiltrado celular en los pacientes SS. Dentro del 10% restante, encontramos a los Mø en el infiltrado inflamatorio de pacientes SS, que se han asociado inicialmente a lesiones más severas o infiltrados inflamatorios con formación de estructuras tipo centros germinales7.
El aumento de Mø fue similar al encontrado en otros reportes, sin embargo, en estos se analizaron las poblaciones celulares inflamatorias que se encuentran en la totalidad de la GS, sin diferenciar aquellas células relacionadas al foco inflamatorio de las que se encuentran dispersas en el tejido glandular6,7,14,22. Nosotros determinamos la localización y distribución de los Mø, teniendo en cuenta el foco inflamatorio periductal, y aquellos que se encontraban dispersos en la glándula, con el fin de determinar si el aumento de Mø encontrado en los pacientes, era a expensas del infiltrado inflamatorio periductal o al infiltrado inflamatorio disperso.
Al observar la distribución que presentaban los Mø en los pacientes SS, estos se encontraban en el infiltrado inflamatorio disperso y periductal. Sin embargo, los Mø se distribuyeron principalmente en el infiltrado periductal (Figura 2). Esto coincide con lo reportado por Ciccia et al23 y Manoussakis et al14.
Las biopsias de nuestros pacientes SS, junto con los acúmulos celulares inflamatorios periductales (sialoadenitis linfocítica focal), presentaron, además, un importante número de células mononucleares dispersas en toda la muestra, como lo reportado por Llamas-Gutiérrez et al24. La proporción de macrófagos dispersos en las GSL, fue semejante entre individuos controles y pacientes SS. Los pacientes SS presentaron diferencias al comparar los porcentajes de Mø localizados en el foco con aquellos dispersos. Por lo que, el incremento de los macrófagos en los pacientes SS, fue a expensas de aquellos localizados en el foco inflamatorio. Es por esta razón que los pacientes con mayor score de foco presentaron un mayor número de Mø.
Al relacionar la edad con el número de Mø en nuestros pacientes, se observó que los individuos más jóvenes presentaban un mayor infiltrado inflamatorio y de Mø, coincidiendo con los resultados obtenidos por Ramos-Casals et al. 25 Ellos concluyeron que los pacientes SS jóvenes, se asociaban con una mayor presencia de desórdenes linfoproliferativos y parótidomegalia, factores asociados a un mayor riesgo de desarrollar linfomas en pacientes SS. Por otro lado, Kapsogeorgou et al, realizaron un estudio histopatológico analizando biopsias de pacientes SS efectuadas en dos oportunidades, con una diferencia promedio de 55 meses, no encontrando diferencias en las poblaciones celulares que componían el infiltrado inflamatorio ni en la severidad de estos. Es importante señalar que, durante el intervalo de tiempo entre la primera y segunda biopsia, los pacientes recibieron tratamiento médico22.
En un estudio de Christodoulou et al7, encontró que la presencia de Mø fue significativamente mayor en los infiltrados de GS labiales de pacientes SS que desarrollaron linfoma tipo MALT (Tejido linfoide asociado a mucosa). Este resultado es similar a lo publicado por Manoussakis et al 14, quienes reportaron que los pacientes SS presentan mayor número de Mø por sobre los individuos controles. Este incremento, lo asociaron al aumento de volumen de glándulas salivales mayores y a hipocomplementemia C4. Estos parámetros clínicos y serológicos se describen como factores de riesgo para el desarrollo de linfomas en pacientes SS. De los 21 pacientes SS que estudiaron Manoussakis et al, 1 paciente desarrolló linfoma de tipo MALT, y al analizar su biopsia de GS se demostró un score de foco de 12, y una gran presencia de Mø. Si bien ninguno de los pacientes SS de nuestro estudio ha desarrollado linfomas, es necesario determinar el número de Mø, el que se ha establecido como un factor de riesgo histopatológico de desarrollo de linfoma en estos pacientes.
Con respecto al Virus de Epstein-Barr, no detectamos la presencia del virus en las biopsias de pacientes SS (n=8) ni en las de los individuos controles (n=7). El reporte de Croia et al19, reportó la presencia de células infectadas por el VEB, en biopsias que presentaron centros germinales ectópicos asociados a intensos infiltrados inflamatorios. La posible explicación a la ausencia del VEB en nuestra muestra puede atribuirse a la ausencia de estructura tipo centros germinales ectópicos en las GSL analizadas, además, ninguno de los pacientes había desarrollado un linfoma hasta la fecha del estudio. Se siguiere realizar los mismos análisis en biopsias de pacientes SS que presenten estructuras tipo centro germinal o en aquellos pacientes que hayan desarrollado linfoma.
Nuestro trabajo presenta ciertas limitaciones tales como el reducido número de pacientes estudiados, y sólo haber identificado mediante inmunomarcación macrófagos y no otras poblaciones celulares que conforman el infiltrado inflamatorio. Es necesario continuar investigando las poblaciones de células inflamatorias en los pacientes SS, teniendo en cuenta su localización y además, las diferentes interleuquinas que interaccionan entre estas células y las células epiteliales en la GSL. El obtener esta información permitirá relacionar estos hallazgos con características clínicas de los pacientes, como el ESSDAI, con el fin de establecer el riesgo potencial de desarrollo de linfomas en estos pacientes.
CONCLUSIÓN
Los pacientes con síndrome de Sjögren presentaron mayor presencia de macrófagos con respecto a los individuos controles. Este incremento es a expensas de los macrófagos presentes en el foco inflamatorio. El aumento de los macrófagos se correlaciona directamente con el grado de infiltración inflamatoria en las glándulas salivales labiales de los pacientes SS. En nuestra muestra no detectamos infección del virus Epstein-Barr en ningún individuo.
Bibliografía
Moutsopoulos HM. Sjögren´s Syndrome: Autoimmune Epithelitis. Clin Immunol Immunopathol. 1994;72(2):162-5.
Seror R, Ravaud P, Bowman SJ, Baron G, Tzioufas A, Theander E, et al. EULAR Sjögren’s syndrome disease activity index: Development of a consensus systemic disease activity index for primary Sjögren’s syndrome. Ann Rheum Dis. 2010;69(6):1103-9.
Rodríguez JI, Martínez G, Rodríguez NI, Achapa MG, Solis JM. Dental perspective on Sjögren’s syndrome: literature review. J Oral Res [Internet]. 2015;4(3):211-22.
Mavragani CP, Moutsopoulos HM. Sjögren syndrome. CMAJ. 2014 Oct 21;186(15):E579-86.
Vitali C, Bombardieri S, Jonsson R, Moutsopoulos HM, Alexander EL, Carsons SE, et al. ; European Study Group on Classification Criteria for Sjögren’s Syndrome. Classification criteria for Sjögren’s syndrome: a revised version of the European criteria proposed by the American- European Consensus Group. Ann Rheum Dis . 2002;61:554-8.
Fragoulis GE, Fragkioudaki S, Reilly JH, Kerr SC, McInnes IB, Moutsopoulos HM. Analysis of the cell populations composing the mononuclear cell infiltrates in the labial minor salivary glands from patients with rheumatoid arthritis and sicca syndrome. J Autoimmun. 2016;73:85-91.
Christodoulou MI, Kapsogeorgou EK, Moutsopoulos HM. Characteristics of the minor salivary gland infiltrates in Sjögren’s syndrome. J Autoimmun . 2010;34(4):400-7.
Nikiphorou E, Yang C-D, Bredemeier M, Alunno A, Leone MC, Giacomelli R, et al. Lymphoma and lymphomagenesis in primary Sjögren’s Syndrome. Front Med. 2018;5(5):1-7.
Pontarini E, Lucchesi D, Bombardieri M. Current views on the pathogenesis of Sjögren’s syndrome. Curr Opin Rheumatol. 2018;30(2):215-21.
Murray PJ, Wynn TA. Protective and pathogenic functions of macrophage subsets. Nat Rev Immunol. 2011;11(11):723-37.
Zhou D, McNamara NA. Macrophages: Important players in primary Sjögren’s syndrome? Expert Rev Clin Immunol. 2014;10(4):513-20.
Roescher N, Lodde BM, Vosters JL, Tak PP, Catalan MA, Illei GG, et al. Temporal changes in salivary glands of non-obese diabetic mice as a model for Sjögren’s syndrome. Oral Dis. 2012;18(1):96-106.
Zhao J, Kubo S, Nakayamada S, Shimajiri S, Zhang X, Yamaoka K, et al. Association of plasmacytoid dendritic cells with B cell infiltration in minor salivary glands in patients with Sjögren’s syndrome. Mod Rheumatol. 2016;26(5):716-24.
Manoussakis MN, Boiu S, Korkolopoulou P, Kapsogeorgou EK, Kavantzas N, Ziakas P, et al. Rates of infiltration by macrophages and dendritic cells and expression of interleukin-18 and interleukin-12 in the chronic inflammatory lesions of Sjögren’s syndrome: Correlation with certain features of immune hyperactivity and factors associated with high risk of lymphoma development. Arthritis Rheum. 2007;56(12):3977-88.
Young LS, Yap LF, Murray PG. Epstein-Barr virus: More than 50 years old and still providing surprises. Nat Rev Cancer. 2016;16(12):789-802.
Capone G, Calabrò M, Lucchese G, Fasano C, Girardi B, Polimeno L, et al. Peptide matching between Epstein-Barr virus and human proteins. Pathog Dis. 2013;69(3):205-12.
Lucchesi D, Pitzalis C, Bombardieri M. EBV and other viruses as triggers of tertiary lymphoid structures in primary Sjögren’s syndrome. Expert Rev Clin Immunol. 2014;10(4):445-55.
Croia C, Astorri E, Murray-Brown W, Willis A, Brokstad KA, Sutcliffe N, et al. Implication of Epstein-Barr virus infection in disease-specific autoreactive B cell activation in ectopic lymphoid structures of Sjögren’s syndrome. Arthritis Rheum atol. 2014;66(9):2545-57.
Venables PJW, Teo CGEE, Baboonian C, Griffint BE, Hughes RA. Persistence of Epstein-Barr virus in salivary gland biopsies from healthy individuals and patients with Sjogren’s syndrome. Clin Exp Immunol.1989;75(3):359-64.
Daniels TE. Labial salivary gland biopsy in Sjögren’s syndrome. Assessment as a diagnostic criterion in 362 suspected cases. Arthritis Rheum . 1984;27(2):147-56.
Pawlina W, Ross MH. Histology: a text and atlas: with correlated cell and molecular biology. Lippincott Williams & Wilkins; 2015.
Kapsogeorgou EK, Christodoulou MI, Panagiotakos DB, Paikos S, Tassidou A, Tzioufas AG, et al. Minor salivary gland inflammatory lesions in Sjögren syndrome: Do they evolve? J Rheumatol. 2013;40(9):1566-71.
Ciccia F, Guggino G, Rizzo A, Bombardieri M, Raimondo S, Carubbi F, et al. Interleukin (IL)-22 receptor 1 is over-expressed in primary Sjogren’s syndrome and Sjögren-associated non-Hodgkin lymphomas and is regulated by IL-18. Clin Exp Immunol . 2015;181(2):219-29.
Llamas-Gutierrez FJ, Reyes E, Martínez B, Hernández-Molina G. Histopathological environment besides the focus score in Sjögren’s syndrome. Int J Rheum Dis. 2014;17(8):898-903.
Ramos-Casals M, Cervera R, Font J, García-Carrasco M, Espinosa G, Reino S, et al. Young onset of primary Sjögren’s syndrome: clinical and immunological characteristics. Lupus. 1998;7(3):202-6
Notas
Notas de autor
* Correspondencia Autor: Sergio González | Dirección: Alameda 2013, Santiago, Chile. | Teléfono: +56(2) 2328 1771 | E-mail: sergio.gonzalez@mayor.cl
Declaración de intereses