REPORTE CLÍNICO
Recepción: 05 Junio 2020
Recibido del documento revisado: 21 Octubre 2020
Aprobación: 30 Agosto 2020
DOI: https://doi.org/10.4067/S2452-55882022000100079
Financiamiento
Fuente: ANID
Nº de contrato: PAI79160076
RESUMEN: La pérdida de un diente resulta en la pérdida de volumen de tejidos duros y blandos lo que dificulta lograr resultados estéticamente satisfactorios. Con el fin de disminuir la morbilidad que provoca un injerto autólogo en el sellado del alveolo se puede reemplazar por una matriz reabsorbible de colágeno. El presente reporte de caso evaluó clínica e histológicamente una matriz colágena de porcino, en la regeneración de tejido blando, durante la instalación de un implante inmediato a una extracción dentaria. A los 6 meses clínicamente se obtuvo un tejido con una apariencia estética final óptima e histológicamente se evidenció la formación de un tejido epitelial y conjuntivo compatible con la de una mucosa normal.
PALABRAS CLAVE: Matriz colágena porcina, Preservación alveolar, Injerto tejido blando.
ABSTRACT: Tooth loss results in loss of hard and soft tissue volume, making it difficult to achieve aesthetically pleasing results. In order to decrease the morbidity caused by an autologous graft in the alveolus seal, it can be replaced by a resorbable matrix of collagen. The present case report evaluated clinically and histologically a porcine collagen matrix, in soft tissue regeneration, during the installation of an implant immediately after dental extraction. At 6 months, clinically, a tissue with an optimal final aesthetic appearance was obtained and histologically, the formation of an epithelial and connective tissue compatible with that of a normal mucosa was evidenced.
KEY WORDS: Porcine collagen matrix, Socket preservation, Soft tissue graft.
INTRODUCCIÓN
Realizar una exodoncia en el sector estético es un procedimiento complejo, debido a que conduce a una reabsorción y remodelado óseo que genera cambios dimensionales de la cresta alveolar, afectando particularmente al contorno vestibular1,2. En consecuencia, la pérdida de volumen de tejidos duros y blandos dificulta lograr resultados estéticamente satisfactorios2.
Actualmente, se ha descrito como un procedimiento efectivo en disminuir el grado de reabsorción horizontal y vertical del reborde alveolar después de una extracción dental, evaluar el fenotipo del paciente y realizar una preservación alveolar utilizando aloinjertos, xenoinjertos o aloplastos cubiertos por una membrana reabsorbible2.
En determinados casos clínicos se puede instalar un implante inmediato a la extracción en conjunto con materiales de relleno óseo, pero si el implante no recibe un pilar de cicatrización, o un provisorio sobre el implante, se expone el tejido duro injertado y el implante a una posible contaminación química o bacteriana, producto de la herida abierta al medio oral, resultando en un período de cicatrización prolongado e incluso puede comprometer los resultados estéticos del tratamiento3.
Con el fin de mejorar el concepto de preservación alveolar, se ha descrito el uso de injertos de tejido blando que tienen como función sellar el alveolo, contener el material de injerto óseo y mejorar el tejido blando antes o simultáneo a la colocación de implantes. Este tipo de injerto cuando es de origen autólogo requiere de un segundo sitio quirúrgico, lo que aumenta la morbilidad del procedimiento, con el riesgo de necrosis4.
Hace algunos años se introdujo el uso clínico de una matriz tridimensional reabsorbible de colágeno de origen porcino (Geistlich Mucograft® Seal, Geistlich Pharma AG, Suiza) diseñada específicamente para la regeneración de tejidos blandos en la cavidad oral y para el reemplazo de injertos autólogos. Se fabrica como una matriz de colágeno puro tipo I y tipo III. Consta de dos capas funcionales: una capa compacta que permite suturar y protege el injerto en situaciones de cicatrización abierta y otra capa porosa que favorece la estabilización de un coágulo de sangre, promoviendo el crecimiento celular y la vascularización temprana acelerando la cicatrización de los tejidos blandos5.
El propósito del presente reporte es evaluar clínica e histológicamente una matriz colágena de porcino, en la regeneración de tejido blando, durante la instalación de un implante inmediato a una extracción dentaria.
INFORME DEL CASO
Selección del caso.
Paciente sexo femenino, 61 años de edad, ASA I, quien acude a la Facultad de Odontología de la Universidad de Chile consultando por trauma dentoalveolar en diente 1.2 rehabilitado con prótesis fija unitaria metal cerámica. El examen imagenológico muestra área radiolúcida periapical (Figura 1).

Primera fase quirúrgica: Exodoncia atraumática, instalación de implante inmediato en sitio infectado y uso de matriz colágena de origen porcino.
Se indicó a la paciente premedicación antibiótica con Amoxicilina 875mg (Optamox, Laboratorio Pharma Investi, Chile), paciente inició esquema 24 horas previo a la cirugía, tomando 1 comprimido recubierto cada 12 horas durante 7 días.
Una vez realizado el procedimiento quirúrgico inicia protocolo analgésico con 125 mg de Clonixinato de Lisina (Nefersil, Laboratorio Pharma Investi, Chile) cada ocho horas durante 3 días.
Se realiza sindesmotomía con periótomo y posteriormente extracción vertical atraumática del diente 1.2 con extractor dental Neodent® (Neodent, Curitiba, Brasil), luego se acondiciona mecánicamente el alveolo dentario con cuchareta y abundante irrigación con solución salina fisiológica para eliminar tejido inflamatorio e infeccioso que pudiera haber quedado posterior a la exodoncia (Figura 2).

Clínicamente el alveolo post extracción se mantuvo indemne y con su arquitectura gingival conservada, excepto en apical en donde hubo una pequeña perforación de la tabla vestibular en relación a la lesión apical. Se realizó la instalación inmediata yuxtaósea de un implante Straumann Bone Level Tapered® (Basilea, Suiza) de 3.3 x 12mm, y posteriormente se rellenó el espacio entre la tabla ósea vestibular y el implante (gap) con un xenoinjerto de origen bovino (Geistlich Bio Oss®, Geistlich Pharma AG, Suiza), el cual fue cuidadosamente condensado (Figura 3). Finalmente se cerró el contorno de entrada al sitio implantario con una matriz colágena de origen porcino (Geistlich Mucograft® Seal, Geistlich Pharma AG, Suiza) de 8 mm, posicionando su capa compacta, delgada y lisa en relación al epitelio y su capa porosa no compacta en relación al sitio implantario. La matriz fue recortada de acuerdo a las medidas del alveolo, teniendo en cuenta que fuera levemente más grande, de modo que no quedara suelta dentro del alveolo, sino con una leve retención y autocontenida. Para garantizar su posición se suturó mediante un punto colchonero horizontal cruzado, utilizando Nylon 5-0 (Ethilon®, Johnson & Johnson de Chile S.A, Chile), sin perforar la matriz colágena (Figura 4). Finalmente para mantener la estética del sector anterior se instaló un provisorio adhesivo tipo Maryland.


Evaluación clínica del tejido regenerado.
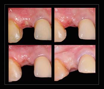
Se evaluó clinicamente la regeneración de tejido blando a partir de la matriz de colágeno porcino colocada en el alveolo, utilizando la escala de evaluación de cicatriz de Stony Brook7. En esta escala se describen 5 categorías a evaluar: 1) Ancho, 2) Altura, 3) Color, 4) Marcas de sutura y 5) Apariencia general. Esta escala fue utilizada para la evaluación clínica durante los controles de la 1a semana, 3a semana, 5a semana y a los 6 meses, posteriores a la colocación de la matriz colágena porcina (Figura 5).

Segunda fase quirúrgica: Cirugía de conexión y toma de biopsia.
Luego de 6 meses se procedió con la cirugía de conexión, se realizó una incisión lineal supracrestal sin tocar las papilas adyacentes con un elevador micro Buser, se levantó un pequeño colgajo de espesor total en el cual se expuso la tapa de cierre del implante, la cual fue retirada y mediante una técnica de expansión se puso un pilar de cicatrización de 3.5 mm de altura y 3.6 mm de conicidad. Luego de 2 minutos de expansión se retiró el pilar de cicatrización y se cambió por un pilar provisorio de Corona Tam Straumann® (Basilea, Suiza) y se personalizó el perfil de emergencia con Resina Flow según los principios de Su H. y cols.6. Simultáneamente a la cirugía de conexión, se tomó una biopsia de tejido mucoso tomando epitelio y conectivo, mediante una incisión supracrestal paralela a la incisión de la conexión, la muestra fue sometida posteriormente a un estudio histopatológico. Antes de comenzar la rehabilitación se realizó una radiografía retroalveolar de control, la cual confirmó la preservación alveolar, ya que el implante presenta una posición apicoronal yuxtaósea, además la imágen confirma la eliminación del proceso apical (Figura 6).
La rehabilitación definitiva se realizó 2 meses después de la conexión y consistió en una prótesis fija metal cerámica cementada.

Estudio Histopatológico:
En la segunda fase quirúrgica, se obtuvo una biopsia de 2x3 mm de profundidad. La muestra fue lavada con suero fisiológico y fijada por inmersión en formalina al 10% pH7, durante 48h a 4°C. Luego, la muestra fue incluida en parafina para obtener cortes histológicos seriados de 5 µm de espesor. Posteriormente los cortes fueron teñidos con protocolo de rutina de Hematoxilina de Harris/Eosina y con la tinción histoquímica de Picrosirius red (Sirius red F3B o Rojodirecto 80, Aldrich) para la observación de las fibras colágenas de Tipo I (birrefringencia naranja amarillenta a naranja y rojo) y Tipo III (birrefringencia verde o verdoso amarillenta). Finalmente las imágenes fueron adquiridas en el microscopio óptico Zeiss Axio LAb A1, con la cámara Canon EOS Rebel-T3, software EOS Utility y en luz polarizada para la coloración Picrosirius red.
Resultados Clínicos
La evolución de la regeneración de tejido blando a partir de una matriz de colágeno porcino, fue paulatina y no se apreció la pérdida de la matriz injertada, con la consecuente migración progresiva del epitelio sobre ésta. Las primeras semanas se observaron en la superficie del epitelio partículas del xenoinjerto (Geistlich Bio Oss®, Geistlich Pharma AG, Suiza), las cuales fueron removidas.
Según la escala de evaluación de cicatriz de Stony Brook 7, los resultados clínicos variaron desde un puntaje de 0 para la 1a semana de control, en donde estuvo marcado por un ancho mayor a 2 mm de herida, una depresión en la zona central, un enrojecimiento de la zona quirúrgica, marcas de las suturas y una pobre apariencia estética inicial.
La 3a semana el puntaje fue de 2, marcado por un ancho menor a 2 mm de herida, una depresión en la zona central, un enrojecimiento de la zona quirúrgica, sin marcas de las suturas y una pobre apariencia estética inicial.
La 5a semana el puntaje fue de 3, marcado por un ancho menor a 2 mm de herida, una depresión en la zona central, un leve enrojecimiento de la zona quirúrgica, sin marcas de las suturas y una buena apariencia en la estética inicial.
A los 6 meses el puntaje fue de 5, marcado por un ancho menor a 2 mm de herida, sin depresión en la zona central, sin enrojecimiento de la zona quirúrgica, sin marcas de las suturas y una buena apariencia en la estética inicial.
Resultados Histopatológicos
Biopsia de mucosa masticatoria a 10X H/E, se observa un epitelio plano estratificado paraqueratinizado normal (Figura 7A) con queratinocitos con núcleo (Figura 7B). El epitelio tiene proyecciones papilares finas hacia el conectivo, el cual presenta un tejido conectivo fibroso irregular normal, con fibroblastos (células ovoides a fusadas) (Figura 7C) y vasos sanguíneos (Figura 7B). No se constata presencia de infiltrado inflamatorio.
Biopsia de mucosa masticatoria a 10X Picrosirius red (Figura 7D). En la lámina propia se identifica corion papilar (subepitelial), con tejido conectivo más laxo y menor densidad. La fibra de colágeno principal es tipo I y con presencia de algunas áreas de colágeno tipo III (verde amarillento) (Figura 7E). Hacia la profundidad de corte, en el corion reticular, las fibras colágenas están más organizadas en comparación al corion papilar (superficie). Nuevamente con alta densidad de fibras de colágeno tipo I (rojo amarillento) y algunos ases dispersos de colágeno tipo III (verde) (Figura 7 F).

DISCUSIÓN
Se ha descrito que la preservación de la cresta alveolar luego de una extracción dentaria resulta en una reabsorción significativamente menor tanto vertical como horizontalmente en comparación con la cicatrización natural del alveolo2,8. Sin embargo, no hay evidencia científica clara de la superioridad de ningún procedimiento de injerto de tejido duro o blando.
En 1994, Landsberg y Bichacho9 utilizaron un injerto gingival para cerrar el alveolo post extracción. Otros autores10 han descritos diferentes modificaciones al procedimiento de injerto de tejido blando para sellar el alveolo, contener el material de relleno óseo y proteger el implante. Con respecto a esto, Cardaropoli y cols.11 describieron en un estudio de regeneración alveolar, que la porción coronal del alveolo post extracción tenía retardada su cicatrización, con un predominio de infiltrado inflamatorio producto de la contaminación del medio oral y de la saliva, y que por lo mismo la regeneración en la porción apical y media del alveolo era más rápida que en la porción coronal.
Las diferentes técnicas de sellado mediante injerto de tejido blando tienen diversas ventajas de acuerdo con la modificación de la técnica que se realice, en especial si es que se tuneliza tejido conectivo en vestibular, ya que cambia el fenotipo en esta zona. Sin embargo, sin importar la modificación que se utilice todas presentan una desventaja común que es la toma de injerto desde un segundo sitio quirúrgico generalmente del paladar o la tuberosidad.
Fickl y cols.12 en un estudio retrospectivo de caso control reportaron que la preservación de la cresta alveolar utilizando un xenoinjerto bovino y una matriz de colágeno porcino para sellar alveolos condujo a una formación de tejido cicatricial, costos y tiempo de tratamiento significativamente menores para la regeneración de tejidos blandos, en comparación con un xenoinjerto bovino y un injerto de encía libre del paladar, mediante la técnica de punch. Sin embargo, no existió diferencia significativa en la apariencia estética de las 2 técnicas.
En el presente reporte los resultados clínicos de la utilización de un xenoinjerto como relleno óseo y de una matriz colágena de origen porcino dieron como resultado la preservación alveolar, lo cual se confirmó mediante un control radiográfico el cual demostró la eliminación de la lesión apical preexistente y la mantención del nivel óseo, ya que el implante mantuvo el nivel yuxtaóseo de posicionamiento inicial. Además de una regeneración completa de tejido blando. Los resultados clínicos variaron desde un puntaje de 0 para la primera semana de control, en donde estuvo marcado por un ancho mayor a 2 mm de herida, una depresión en la zona central, un enrojecimiento de la zona quirúrgica, marcas de las suturas y una pobre apariencia estética inicial, a un puntaje final de 5 a los 6 meses, según la escala de evaluación de cicatriz Stony Brook7, con una apariencia estética final óptima del tejido regenerado.
Jung y Cols.13 compararon la preservación alveolar mediante un xenoinjerto y el sellado mediante una matriz colágena de origen porcino y un xenoinjerto sellado mediante un injerto de tejido blando mediante la técnica de punch, en ambos casos midieron parámetros óseos del hueso alveolar post-extracción y en el seguimiento a los 6 meses, no encontrando diferencias significativas entre las dos técnicas.
Otra opción de sellado para preservación alveolar simultánea a la instalación de un implante es la descrita por Basualdo y cols.14 quienes describieron una modificación a la técnica regenerativa de preservación alveolar “ice cream cone”, en la cual la membrana colágena era suturada mediante vectores de inserción por fuera de la tabla vestibular y una membrana de L-PRF también tunelizada con vectores de inserción quedaba por fuera de la membrana colágena sellando y protegiendo la membrana colágena.
En el presente trabajo los cortes histólogicos, muestran un tejido mucoso de características normales, con la presencia de un epitelio paraqueratinizado, vasos sanguíneos y ausencia de infiltrado inflamatorio. Además, se confirmó la presencia de fibras colágenas tipo I y III. Esto tiene especial relevancia, ya que demuestra histológicamente que la matriz colágena porcina fue un andamiaje adecuado para la migración epitelial y formación de un epitelio totalmente compatible con una mucosa masticatoria normal. En el espesor del conjuntivo, se observa la invasión por fibroblastos del paciente, lo que sugiere una síntesis de matriz conjuntiva por parte de éstos. Sin embargo, se necesitan estudios complementarios para evaluar el reemplazo total o parcial de las fibras colágenas porcinas, por fibras colágenas humanas.
Los resultados clínicos del presente caso concuerdan con los de Sanz y cols.15, que mostraron en un estudio clínico realizado en 20 pacientes, que la utilización de una matriz colágena porcina aumenta el ancho de una banda de tejido queratinizado de forma predecible.
CONCLUSIÓN
La utilización de una matriz colágena de origen porcino para sellar el alveolo y regenerar el tejido blando, permitió apreciar a los 6 meses clínicamente un tejido con una apariencia estética óptima e histológicamente se evidenció la formación de un tejido epitelial y conjuntivo compatible con la de una mucosa normal.
AGRADECIMIENTOS
Edgar Sandoval fotografía clínica. Fotografías histológicas Prof. Dra. Maria Angélica Torres. Procesamiento de muestras Prof. Cristian Peñafiel. Análisis histológico Dra. Constanza Vera perteneciente a Proyecto ANID PAI79160076, que financia a la Dra. Soledad Acuña-Mendoza.
Bibliografía
Araujo M, Lindhe J. Dimensional ridge alterations following tooth extraction. An experimental study in the dog. J Clin Periodontol. 2005;32:212-18.
Troiano G, Zhurakivska K, Lo Muzio L, Laino L, Cicciù M, Lo Russo L. Combination of bone graft and resorbable membrane for alveolar ridge preservation: A systematic review, meta-analysis, and trial sequential analysis. J Periodontol. 2018;89:46-57.
Landsberg C. Implementing socket seal surgery as a socket preservation technique for pontic site development: surgical steps revisited - A report of two cases. J Periodontol . 2008;79(5):945-54.
Griffin T, Cheung W, Zavras A, Damoulis P. Postoperative complications following gingival augmentation procedures. J Periodontol . 2006;77:2070-9.
Ghanaati S, Schlee M, Webber M, Willershausen I, Baerbeck M, Balic E. et al. Evaluation of the tissue reaction to a new bilayered collagen matrix in vivo and its translation to the clinic. Biomed Mater. 2011;6(1):015010.
Su H, Gonzalez-Martin O, Weisgold A, Lee E. Considerations of implant abutment and crown contour: Critical contour and subcritical contour. Int J Periodontics Restorative Dent. 2010;30:335-43.
Singer A, Arora B, Dagum A, Valentine S, Hollander J. Development and validation of a novel scar evaluation scale. Plast Reconstr Surg. 2007;120:1892-7.
Vignoletti F, Matesanz P, Rodrigo D, Figuero E, Martin C, Sanz M. Surgical protocols for ridge preservation after tooth extraction: A systematic review. Clin Oral Implants Res. 2012;23 (Suppl 5):22-38.
Landsberg CJ, Bichacho N. A modified surgical/prosthetic approach for optimal single implant supported crown. Part I- The socket seal surgery. Pract Periodontics Aesthet Dent. 1994;6:11-7.
Stimmelmayr M, Allen E, Reichert T, Iglhaut G. Use of a combination epithelized-subepithelial connective tissue graft for closure and soft tissue augmentation of an extraction site following ridge preservation or implant placement: Description of a technique. Int J Periodontics Restorative Dent . 2010;30:375-81.
Cardaropoli G, Araújo M, Lindhe J. Dynamics of bone tissue formation in tooth extraction sites. An experimental study in dogs. J Clin Periodontol . 2003;30(9):809-18.
Fickl S, Kauffmann F, Stappert CF, Kauffmann A, Schlagenhauf U. Scar tissue formation following alveolar ridge preservation: A case control study. Int J Periodontics Restorative Dent . 2018;38(1):e1-e7.
Jung R, Philipp A, Annen B, Signorelli L, Thoma D, Hämmerle C. et al. Radiographic evaluation of different techniques for ridge preservation after tooth extraction: A randomized controlled clinical trial. J Clin Periodontol . 2013;40(1):90-8.
Basualdo J, Ivankovic M, Kuzmicic J, Fernández E. Atraumatic extraction and immediate implant placement into infected site with the “ice cream cone” technique and L-PRF: A case report. Rev Clin Periodoncia Implantol Rehabil Oral. 2018;11(1): 43-6.
Sanz M, Lorenzo R, Aranda JJ, Martin C, Orsini M. Clinical evaluation of a new collagen matrix (Mucograft prototype) to enhance the width of keratinized tissue in patients with fixed prosthetic restorations: A randomized prospective clinical trial. J Clin Periodontol . 2009;36(10):868-76
Notas de autor
* Correspondencia Autor: Javier Basualdo Allende | Dirección: Av. Santa María 0596. Providencia, Santiago, Chile. | Teléfono: +56989046734 | E-mail: javierbasualdo@odontologia.uchile.cl
Declaración de intereses