TRABAJO INVESTIGACIÓN
Recepción: 08 Septiembre 2020
Recibido del documento revisado: 20 Enero 2021
Aprobación: 02 Abril 2021
DOI: https://doi.org/10.4067/S2452-55882022000200129
RESUMEN: La cefalea es uno de los motivos de consulta más frecuente en nuestros pacientes, presentando una alta prevalencia en niños en edades escolares y adolescentes. El objetivo de este reporte de casos es describir casos de niños entre 6 y 13 años, quienes presentan cefalea tensional crónica. Al examen clínico se observa maloclusión, dolor a la palpación de músculos masticatorios y bruxismo. Todos los pacientes tenían características comunes en su personalidad, siendo perfeccionistas, estudiosos y preocupados. La terapia que se les realizó fue la confección de una férula oclusal orgánica, construida en relación céntrica, y se controlaron cada 15 días. Luego de un mes de tratamiento los pacientes mostraron una remisión total de las cefaleas y de la contractura muscular, llegando a la conclusión de que los planos de relajación sirven para aliviar la cefalea tensional en niños con bruxismo y maloclusión, siempre realizando un correcto diagnóstico previo.
PALABRAS CLAVE: Cefalea, Niños, Bruxismo, Férula oclusal, Maloclusión.
ABSTRACT: Headache is one of the most frequent reasons for consultation in our patients, with a high prevalence in school-age children of and adolescents. The objective of this case report is to present cases of children between 6 and 13 years old, who have chronic tension headache. On clinical examination, malocclusion, palpation of masticatory muscles and bruxism were observed. All the patients had common characteristics in their personality, being perfectionists, studious and concerned. The therapy consisted of the preparation of an occlusal splint, with partial or total coverage depending on the case, and they were monitored every 15 days. After one month of treatment, the patients showed a total remission of headaches and muscle contracture, concluding that occlusal splints can relieve tension headache in children with bruxism and malocclusion, always with a correct previous diagnosis.
KEY WORDS: Headache, Children, Bruxism, Occlusal splint, Malocclusion.
INTRODUCCIÓN
La cefalea es uno de los motivos de consulta más frecuente en nuestros pacientes. En la infancia, es el síndrome doloroso más frecuente y uno de los principales motivos de consulta en neuropediatría. La prevalencia va de 37-51% a los 7 años y de 57-82% entre los 7-15 años. La dificultad está en el diagnóstico, debido a que un niño presenta limitaciones para relatar las características de sus dolores, por lo que muchas veces es subdiagnosticada o mal tratada1,2.
Es muy común ver que este tipo de cefaleas se asocie con trastornos del sueño, ansiedad, bruxismo, entre otros3.
El bruxismo es una actividad muscular mandibular repetitiva, caracterizada por apriete y rechinamiento dentario, regulado por el sistema nervioso central e influido por factores periféricos, pudiendo ocurrir durante el sueño o vigilia.
Las parafunciones oromandibulares, los trastornos temporomandibulares, la maloclusión, los altos niveles de ansiedad y el estrés, podrían influir en el bruxismo. Es por esto precisamente la importancia de saber diagnosticar y derivar oportuna y correctamente4,5.
Los tratamientos son controversiales. Dentro de los no farmacológicos, se encuentran las férulas oclusales, las cuales deprograman la neuromusculatura reduciendo la actividad electromiográfica (EMG) de los músculos elevadores mandibulares y cervicales. Esto disminuye la hiperactividad, logrando estabilidad y eliminando el dolor muscular5,6.
DESCRIPCIÓN DE LOS CASOS CLÍNICOS Y DIAGNÓSTICO
Este trabajo tiene como objetivo presentar cinco casos clínicos de pacientes entre 6 y 13 años de edad, con cefalea tensional asociada a bruxismo y maloclusión. Se desarrolla desde que llega a la consulta, realizando una acabada anamnesis y examen clínico tanto extra como intraoral y finalmente cómo fueron tratados. Para esto, lo fundamental es realizar un diagnóstico acertado.
Todos los apoderados firmaron un consentimiento informado antes de realizar el tratamiento.
A continuación se describen los criterios que se utilizaron para establecer un buen diagnóstico en este tipo de casos.
Motivo de consulta
Todos los pacientes que acudieron consultaron por dolor de cabeza asociado o no a bruxismo nocturno auto relatado o relatado por los padres. Otros motivos de consulta, fueron dolor en la zona del ángulo mandibular y en las sienes, y derivaciones de neurólogos y/o otorrinolaringólogos.
Interrogatorio
A todos los pacientes se les aplicó un cuestionario, que en conjunto con el/la apoderado/a se respondió minuciosamente. El cuestionario se muestra en la Tabla 1.
Es importante mencionar que el bruxismo en niños puede estar asociado o exacerbado por trastornos y/o enfermedades sistémicas, como por ejemplo obesidad, reflujo gastroesofágico, amígdalas hipertróficas y adenoides (las cuales favorecen a que el paciente presente una respiración bucal) o por fármacos como las metilfenamidas. Esto se descartó al realizar la anamnesis.

Examen clínico
Examen muscular y articular
La palpación articular se realizó según el “Mapa del Dolor”, el cual fue creado el año 2001 por Mariano Rocabado. Este mapa divide el dolor en dos áreas, la articular y la muscular. Se muestra en la Figura 1.7 Solo un paciente tuvo dolor en la articulación témporo mandibular. En cuanto a la palpación muscular, se palpan los músculos: masetero, temporal, esternocleidomastoideo, occipitales, elevador de la escápula y trapecio, tal como lo describen en el libro de “Terapia de los puntos de activación” de Clair Davies y Amber Davies, el cual es un compendio de los estudios de Travell y Simons8.

Manipulación mandibular
Se utilizó la técnica bimanual en donde las manos del operador deben ubicarse a nivel del borde inferior de la mandíbula y mentón: los pulgares se ubican hacia la línea media sobre la sínfisis mandibular, y los 4 dedos restantes de cada mano se ubican en el borde inferior de la mandíbula, encontrándose el dedo meñique a nivel del gonion. Teniendo bien sujeta la mandíbula con ambas manos se ejecutan movimientos suaves de apertura y cierre (en un arco de 1 - 2 mm)9.
Se clasificó en manipulación muy fácil, fácil, moderada, difícil y muy difícil. Mientras más difícil la manipulación, indica mayor contractura muscular.
Registros
Se tomaron fotografías intra y extraorales. En 4/5 casos se realizó montaje en articulador panadent. Se registró el tipo de oclusión del paciente (clase molar I, II o III). La Tabla 2 muestra un resumen de los datos obtenidos en examen físico.

TRATAMIENTO
Todos los pacientes utilizaron una férula oclusal de acrílico de auto polimerización, superior o inferior, construida en relación céntrica en articulador Panadent, con guías desoclusivas horizontales, desoclusión posterior de 0.5 a 1mm, con contactos bilaterales más marcados en anterior y en posterior contactos tipo “punta de alfiler”. Se indicó su uso todas las noches y 4 horas durante el día por los primeros 15 días. Luego sólo de noche. Todos los pacientes tuvieron buena adhesión al tratemiento y no se reportaron casos adversos.
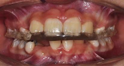
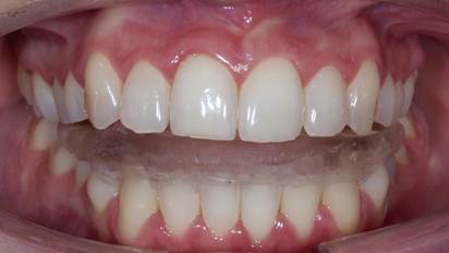
Cabe destacar que no se utilizó ningún fármaco para el dolor durante el tratamiento. En las Imágenes 1, 2 y 3 se muestra la foto de los planos instalados en boca en las respectivas denticiones.
RESULTADOS CLÍNICOS
Todos los pacientes se controlaron cada 15 días durante 3 meses y posterior a esto cada 6 meses. En cada control se ajustó nuevamente el plano hasta lograr nuevamente las características descritas inicialmente.
En el primer control, se les preguntó a los pacientes (y a sus padres) cuánto había disminuido su dolor. Todos afirmaron una disminución entre el 80-100% de sus dolores, pero aun presentaban nódulos y dolor a la palpación en los músculos masetero y temporal. Se realizaron masajes en dichos músculos, con movimientos profundos, cortos, repetitivos y lentos, en una misma dirección, con presión 7/10, según la técnica de la Terapia de los puntos de activación de Clair Davies y Amber Davies, el cual es un compendio de los estudios de Travell y Simons8.
El segundo control se realizó al mes, donde se observó que todos los pacientes presentaron alivio del 100% de sus dolores. Los músculos de cabeza y cuello no presentaron nódulos ni dolor a la palpación. Esto se observa en la Tabla 3.




DISCUSIÓN
El bruxismo puede generar complicaciones como desgaste dentario, disfunción de la ATM, cefaleas, dolor de los músculos faciales, masticatorios, cervicales y de la espalda alta.
Su etiología es multifactorial. Se ha descrito que se relaciona con trastornos de ansiedad. Serra-Negra et al., encontraron que pacientes con alto nivel de responsabilidad y la neurosis eran factores determinantes en el desarrollo del bruxismo en niños4. En un estudio se observó una asociación importante entre bruxismo y rasgos de personalidad estresantes, ansiosos y tensos en niños entre 6 y 17 años de edad10. Todos los pacientes incluidos en este reporte presentaban un patrón común en sus personalidades (ansiosos, autoexigentes y perfeccionistas). A pesar de que en estos casos se obtuvo éxito en el tratamiento sin terapias psicológicas, es importante evaluar esta área y tratarla en caso de ser necesario, para así evitar recidivas a largo plazo.
Con respecto a la relación entre oclusión y bruxismo, algunos estudios han planteado una mayor prevalencia en pacientes con clase II y III de Angle, siendo mayor en clase II. Sin embargo, otros estudios no encontraron asociación significativa entre estos factores11-13. En este reporte de casos, todos los pacientes presentaban oclusión clase II molar y en el montaje en articulador panadent se evidenció contactos prematuros en todos los casos. Ninguno presentaba guías desoclusivas.
Dentro de los tratamientos no farmacológicos para el bruxismo, la terapia más usada son las férulas oclusales, las cuales han demostrado ser efectivas para disminuir el dolor. Su mecanismo de funcionamiento es actuar en la musculatura involucrada, borrando la memoria oclusal y de esta forma, relajar la musculatura para finalmente aliviar el dolor del paciente. Múltiples autores apoyan el uso de férulas oclusales, las cuales han demostrado mejorar la coordinación muscular y disminuir el dolor de los músculos masticatorios y cervicales4,14,15.
Alfaya y cols., realizaron un reporte de caso de una niña de 9 años, con fuerte dolor de cabeza, que fue tratada con férula oclusal acrílica, la cual se controló cada 15 días. Después de un mes, los síntomas habían desaparecido16.
Se estudió que en pacientes con síntomas de TTM y/o dolor de cabeza, cuello y hombro, los cuales fueron tratados con una férula de estabilización controlada cada 2 semanas, se generó una disminución de sus dolores17.
En los casos presentados también pudimos ver cómo la confección de un plano oclusal con múltiples puntos de contacto simétricos y guías desoclusivas generó disminución de dolores de cabeza y remisión de dolores musculares. Cabe destacar que para la eliminación de nódulos musculares se realizó masajes de dichos músculos.
Durante dentición mixta o permanente el uso de férulas acrílicas rígidas pueden disminuir las fuerzas parafuncionales y distribuirlas5.
Se realizó un estudio de 30 niños entre 7 y 10 años de edad, tratados con férula oclusal, se observó una reducción en el bruxismo informado por los padres de un 76.7%. Además, hubo una reducción significativa de sus dolores de cabeza y molestias musculares. Resultados similares se encontraron en un caso clínico de una niña de 5 años con dolores de cabeza crónicos debido al bruxismo18.
Por otra parte, evaluaron niños más pequeños (3 a 4 años) y observaron que después del uso de una férula oclusal rígida hubo una reducción del 20% en el bruxismo informado por los padres. Se recomienda realizar un control periódico durante el tratamiento, para evitar problemas en el crecimiento óseo y en la erupción dentaria19.
Tal como fue visto en el estudio realizado, al controlar a los pacientes 2 semanas después de instalar el plano oclusal, se vio una disminución del 80% de sus síntomas y a las 4 semanas del 100%.
Por lo tanto, es importante que haya un compromiso del paciente y los padres con el tratamiento, para poder realizar un seguimiento adecuado.
CONCLUSIONES
Todos estos factores están interrelacionados entre sí, pero es importante entender que un factor por sí solo no produce bruxismo, cefalea ni un trastorno témporomandibular, sino que es un conjunto de factores. Es por esto que el odontólogo general o especialista debe tener los conocimientos básicos para poder establecer un diagnóstico preciso o derivar oportunamente, para así tratarlo lo antes posible y evitar que perpetúe el problema.
En los casos presentados, el uso de férulas junto con masajes en los músculos masticadores mostró una completa remisión de sus dolores de cabeza y musculares asociados a bruxismo. Cabe destacar que, para el éxito a largo plazo, el seguimiento del paciente y la corrección de su mala mordida son indispensables. En caso de que aun no se haya corregido la oclusión del paciente, el uso del plano de forma nocturna en periodos de alta tensión es indispensable.
(Esta técnica de diagnóstico y tratamiento fue creada por el Dr. Gonzalo Gutiérrez Álvarez)
Bibliografía
Arroyo H. Migraña y otras cefaleas primarias en la infancia y la adolescencia la nueva clasificación internacional de cefaleas (II edicion) de la sociedad snternacional de cefaleas. Medicina (B Aires). [Internet]. 2007 [cited 2020 Jul 26] ; 67(6 Supl 1):623-30. Disponible en: Disponible en: http://www.scielo.org.ar/scielo.php?script=sci_arttext&pid=S0025-76802007000700011&lng=es.
Casasbuenas O. Cefalea en niños. En: ACN Digitally signed by ACN DN: CN = ACN, C = CO, O = Asociacion colombiana de neurologia Reason: I have reviewed this document Location: Bogota-Colombia [Internet]. [cited 2020 Jul 26]. Disponible en: Disponible en: http://www.acnweb.org/guia/g3cap3.pdf
Capetillo G, Torres E. Bruxismo, estrés y ansiedad. En estudiantes de la Universidad Veracruzana [Internet]. [cited 2020 Jul 26]. Disponible en: Disponible en: http://cdigital.uv.mx/handle/123456789/34770
Firmani M, Reyes M, Becerra N, Flores G, Weitzman M, Espinosa P. Sleep bruxism in children and adolescents Rev Chil Pediatr. [Internet]. 2015[cited 2020 Jun 23];86(5):373-9 Diponible en: 2015[cited 2020 Jun 23];86(5):373-9 Diponible en: https://www.revistachilenadepediatria.cl/index.php/rchped/article/view/3258/2988
Mota López BA, Gómez González NS. Caso Clínico Bruxismo en niños: a propósito de un caso. Odontol Pediátr. (Madrid) [Internet]. 2016 [cited 2020 Jul 26];24:220-7. Disponible en: Disponible en: https://www.odontologiapediatrica.com/wp-content/uploads/2018/05/318_06_CasoClinico_301_Mota.pdf
Becerra N, Valencia E, Salinas JC, Cazenave L, Firmani M. Efecto de los dispositivos oclusales sobre la vía aérea en pacientes con bruxismo. Rev Clin Periodoncia Implant Rehabil Oral. [Internet]. 2016 [cited 2020 Jul 25];9(1):66-73. Disponible en: Disponible en: http://www.scielo.cl/scielo.php?script=sci_arttext&pid=S0719-01072016000100012&lng=es. http://dx.doi.org/10.1016/j.piro.2015.11.002.
Rocabado M. Mapa Del Dolor Articular [Internet]. 2001 [cited 2020 Aug 3]. Disponible en: https://www.youtube.com/watch?v=ncFHewAcTK4
Davies C, Davies A, Simons D. The Trigger Point Therapy Workbook. 3o edition. Oakland: Sirio; 2004. p. 93-99
Ramírez TJ, Secchi RA. Registro de Relación céntrica utilizando la técnica power centric. Rev Fac Odontol Univ Valparaiso. 1998;2(2):121-3.
De Luca Canto G, Singh V, Conti P, Dick BD, Gozal D, Major PW, et al. Association between sleep bruxism and psychosocial factors in children and adolescents: A systematic review [Internet]. Clin Pediatr (Phila). 2015 [cited 2020 Jun 23]. 54(5):469-78. Disponible en: Disponible en: https://journals.sagepub.com/doi/10.1177/0009922814555976?url_ver=Z39.88-2003&rfr_id=ori%3Arid%3Acrossref.org&rfr_dat=cr_pub++0pubmed&
Sari S, Sonmez H. The relationhip between occlusal factors and bruxism in permanent and mixed dentition in Turkish children. J Clin Pediatr Dent. [Internet]. 2001 Apr [cited 2020 Jun 24];25(3):191-4. Disponible en: Disponible en: https://meridian.allenpress.com/jcpd/article/25/3/191/76428/The-relationhip-between-occlusal-factors-and
Gonçalves LPV, de Toledo OA, Otero SAM. The relationship between bruxism, occlusal factors and oral habits. Dental Press J Orthod. 2010;15(2):97-104.
Ribeiro-Lages MB, Martins ML, Magno MB, Masterson Ferreira D, Tavares-Silva CM, Fonseca-Gonçalves A, et al. Is there association between dental malocclusion and bruxism? A systematic review and meta-analysis [Internet]. J Oral Rehabil. 2020 [cited 2020 Jun 24]. 47(10):1304-18. Disponible en: https://onlinelibrary.wiley.com/doi/10.1111/joor.12971
Sinchi C. Comparación clínica de los tratamientos con férulas oclusales VS. tratamiento farmacológico ¨Ibuprofeno¨ VS. crioterapia ¨Cloruro de Etilo¨ en los trastornos musculares de la A.T.M. [Internet]. [Guayaquil]: Universidad Católica De Santiago De Guayaquil ; 2009 [cited 2020 Jul 26]. Disponible en: Disponible en: http://repositorio.ucsg.edu.ec/handle/3317/905
Santander H, Mc S, Valenzuela S, Mj F, Fuentes A, Mf G, et al. Después de cien años de uso: ¿las férulas oclusales tienen algún efecto terapéutico? After a century of use: do the occlusal appliances have any therapeutic effects? Rev Clin Periodoncia Implant Rehabil Oral . [Internet]. 2011 [cited 2020 Jul 26];4(1):29-35. Disponible en: Disponible en: http://www.scielo.cl/scielo.php?script=sci_arttext&pid=S0719-01072011000100007&lng=es. http://dx.doi.org/10.4067/S0719-01072011000100007.
de Almeida Alfaya T, Nivoloni Tannure P, Barcelos R, Castro DIP E, Uemoto L, Vinícius Depes GOUVÊA C. Clinical management of childhood bruxism. Rev Gaúch Odontol. [Internet]. 2015 [cited 2020 Jun 24];63(2):207-12. Disponible en: Disponible en: https://www.scielo.br/j/rgo/a/Kd79pm39nNqFBQrrdRJm3zy/?lang=en
Wayne S, L Parnell T, Charles G, Thomas D. The effect of specially designed and managed occlusal devices on patient symptoms and pain: a cohort study. Gen Dent. [Internet]. 2015;63(2):46-52. Disponible en: https://www.bioesthetics.com/sites/default/files/newspdf/appliance_therapy.pdf
Chisini LA, San Martin AS, Cademartori MG, Boscato N, Correa MB, Goettems ML. Interventions to reduce bruxism in children and adolescents: a systematic scoping review and critical reflection. Eur J Pediatr. [Internet]. 2020 Feb [cited 2020 Jun 24];179(2):177-89. Disponible en: Disponible en: https://link.springer.com/article/10.1007/s00431-019-03549-8
Restrepo C, Medina I, Patiño I. Effect of occlusal splints on the temporomandibular disorders, dental wear and anxiety of bruxist children. Eur J Dent. [Internet]. 2011 [cited 2020 Jul 26];5(4):441-50. Disponible en: Disponible en: https://www.ncbi.nlm.nih.gov/pmc/articles/PMC3170028/
Notas
Notas de autor
* Correspondencia Autor: Constanza Carmash | Dirección: Los Algarrobos 2304, Las Condes, Santiago, Chile | Teléfono: +569 8338 0698 | E-mail: cvcarmash@miuandes.cl
Declaración de intereses