RESUMEN: El cistoadenoma es un tumor epitelial benigno de baja frecuencia en glándulas salivales, que habitualmente se presenta como una masa de crecimiento lento. En glándulas salivales menores se localiza habitualmente en labio, paladar y mucosa yugal, cuyo diagnóstico diferencial representa un desafío desde el punto de vista clínico. El propósito de este reporte es presentar 2 casos de cistoadenoma en paladar, con énfasis en sus características clínicas y diagnóstico diferencial.
PALABRAS CLAVE: Neoplasia de glándulas salivales, Paladar, Cistoadenoma, Reporte de caso.
ABSTRACT: Cystadenoma is an uncommon benign epithelial tumor of the salivary glands, which usually appears as a slow-growing mass. In minor salivary glands, it is usually located in the lip, palate and buccal mucosa, whose differential diagnosis is a clinical challenge. The purpose of this report is to present 2 cases of palate cystadenoma, with emphasis on their clinical characteristics and differential diagnosis.
KEY WORDS: Salivary gland neoplasm, Palate, Cystadenoma, Case report.
REPORTE CLÍNICO
Cistoadenoma de glándula salival menor en paladar: Reporte de dos casos y revisión de la literatura.
Cystadenoma of the minor salivary gland on the palate: Report of two cases and review of the literature.
Recepción: 02 Enero 2021
Recibido del documento revisado: 02 Enero 2021
Aprobación: 20 Enero 2021
El cistoadenoma es un tumor benigno de origen epitelial, de baja frecuencia y de crecimiento lento. Afecta con mayor frecuencia ovarios y páncreas; en la región de cabeza y cuello representa entre el 2 y 4,7% de todos los tumores de glándulas salivares. En parótida corresponde al 40-50% de los casos. En glándulas salivales menores, los lugares más comúnmente afectados son labio, mucosa yugal y paladar, este último representando sólo el 7% de los casos1,2,3. El cistoadenoma se presenta principalmente en adultos, leve predilección en mujeres4. Clínicamente, se observa como un nódulo, asintomático, cubierto por mucosa de aspecto normal, sin características distintivas. Sin embargo, en algunos casos puede exhibir una coloración azulada, de aspecto similar a mucocele o a una lesión vascular2.
Su patrón histológico normalmente es de un crecimiento multiquístico, aunque un 20% puede ser unilocular. Los quistes se encuentran separados por un delgado tejido conjuntivo fibroso. El lumen usualmente presenta proyecciones papilares de epitelio cuboidal y/o cilíndrico. A menudo puede presentar diferenciación oncocítica. Los tumores no presentan atipia, mitosis o patrón de crecimiento invasivo1. El tratamiento consiste en cirugía con resección completa de la lesión, a fin de evitar recurrencias3.
Dada la baja frecuencia del cistoadenoma y sus indistintas características clínicas, el objetivo del presente reporte es mostrar dos casos de cistoadenoma en mucosa palatina, con especial énfasis en sus características clínicas y diagnóstico diferencial.
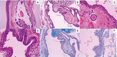
Reporte de Caso 1: Paciente de sexo femenino, 69 años, consulta por un aumento de volumen asintomático en paladar, de 10 años de evolución. La paciente presentaba hipertensión arterial e hipotiroidismo en tratamiento. Además, era desdentada total superior y portadora de prótesis removible. Al examen intraoral, presentaba tumoración de forma ovalada en paladar duro, de 12x7 mm, cubierto por mucosa normal, superficie lisa, límites definidos, base sésil y consistencia renitente (Figura 1). Se realizó biopsia con hipótesis clínica de adenoma pleomorfo.

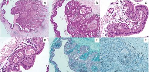
Al examen microscópico se presenta una muestra de mucosa oral compuesta por un epitelio plano pluriestratificado paraqueratinizado, en cuyo corion destaca una proliferación epitelial de estructura glandular, circunscrita por una fina capa de fibras colágenas. Las células epiteliales presentaban un crecimiento con patrón multiquístico, proliferación papilar intraluminal y estructuras tipo ducto. Las células que tapizaban internamente las cavidades quísticas, presentaban morfología oncocítica, otras cúbicas o cilíndricas ciliadas, con abundante infiltrado inflamatorio crónico linfoplasmocitario. No se observaron atipías ni mitosis. Márgenes de la lesión estaban comprometidos. El diagnóstico histopatológico fue cistoadenoma de glándula salival menor (Figura 2).

Debido al compromiso del borde quirúrgico, se realizó una segunda intervención y se envió nuevamente a análisis histopatológico confirmando el diagnóstico previo, esta vez, sin márgenes comprometidos. La paciente se ha mantenido en controles periódicos, inicialmente cada 3 meses, luego cada 6 meses y por último 1 vez al año para evaluar en caso de que exista alguna recidiva.
Reporte de Caso 2: Paciente sexo femenino, 62 años, derivada por un aumento de volumen en paladar a patología oral. Fumadora de 6-8 cigarrillos diarios, presentaba hipertensión arterial en tratamiento, angiolipoma renal operado, así como también depresión. En tratamiento farmacológico con losartán, litio y paroxetina.
Al examen intraoral era desdentada total superior y parcial inferior, con múltiples lesiones cariosas y portadora de prótesis. A nivel palatino presentaba nódulo en límite de paladar duro-blando hacia la derecha, próximo a línea media, redondeado, azul, superficie lisa, fluctuante, 5 mm de diámetro, indoloro, con un tiempo de evolución desconocido (Figura 3). Se realizó ecografía de paladar por sospecha de malformación vascular, que concluye lesión de aspecto quístico en el sector posterior derecho de paladar duro, con contenido denso (Figura 4).


Se realizó biopsia excisional. Al examen microscópico se observó muestra formada por epitelio de mucosa oral, en cuyo conjuntivo destaca múltiples cavidades quísticas y una cavidad central de mayor tamaño bordeada por epitelio cúbico y cilíndrico, en sectores pseudoestratificados, ciliado, con esbozos de proyecciones papilares hacia el lumen y células con diferenciación apocrina. Se observan, próximas a esta cavidad, otros sectores con cavidades quísticas de similares características, pero de menor diámetro, y acinos de glándulas salivales mucosas de aspecto normal. Los márgenes se encuentran comprometidos y no se observa cápsula. El diagnóstico histopatológico fue de neoplasia de glándula salival sugerente de cistoadenoma (Figura 5).

En una segunda intervención se realizó exéresis completa de la lesión, con diagnóstico histopatológico de neoplasia residual en proceso fibroso cicatricial. Clínicamente ha presentado una evolución favorable, con controles periódicos durante 1 año y luego paciente no acude a control.
El cistoadenoma en glándulas salivales menores es poco frecuente, corresponde entre 0,7- 8,1% de los tumores de glándulas salivales5. En el presente artículo presentamos dos casos de cistoadenoma, ambos con localización palatina. Se ha descrito una frecuencia de cistoadenoma de un 65% en glándulas salivales mayores y un 35% en glándulas salivales menores6-8. Sólo el 7% se presenta en paladar2. En este tipo de lesiones es fundamental la toma de biopsia, ya que la presentación maligna de tumores de glándulas salivales menores puede verse desde un 35% a un 80% en paladar9.
Algunos reportes plantean un rango de edad que varía desde los 12 a los 89 años, con un promedio de edad a los 50 años, y predominio en mujeres. En ambos casos expuestos en este reporte coinciden en el género femenino, sin embargo, excedían la edad promedio reportada1,5.
Clínicamente se presenta en glándulas salivales menores como un nódulo de superficie lisa, frecuentemente con apariencia quística, de crecimiento lento e indoloro, usualmente menor a 1 cm diámetro1,5.
Dentro de los diagnósticos clínicos diferenciales más habituales podemos mencionar al mucocele, absceso submucoso, linfomas extranodales, schwannoma, neurofibroma y tumores de glándulas salivales benignos como el adenoma pleomorfo8,10.
Las presentaciones clínicas reportadas en la literatura comparten con nuestros casos la apariencia nodular y superficie lisa. Respecto a la consistencia, existe variabilidad en nuestros casos, el primero tenía una consistencia firme, lo que llevó a plantear la hipótesis de adenoma pleomorfo, mientras que el segundo caso presentaba consistencia fluctuante y coloración azulada, simulando una malformación vascular o un carcinoma mucoepidermoide11. En dichos casos, muchas veces la ecotomografía aporta valiosa información diagnóstica, dada sus bien conocidas ventajas12, especialmente en el estudio de lesiones pequeñas y superficiales con transductor lineal de alta frecuencia, en donde otros métodos de diagnóstico por imágenes presentan grandes limitaciones, especialmente en cuanto a artefactos, resolución espacial y de contraste13. En el caso 2 se solicitó un estudio por ultrasonografía, para descartar una posible lesión vascular y permitió orientarnos hacia un tumor de glándula salival.
A nivel histopatológico, el cistoadenoma se caracteriza por un crecimiento benigno, multiquístico y papilar prominente, bien circunscrito o encapsulado3,5,6. Puede presentar epitelio cuboidal, plano, columnar y raramente escamoso. Son comunes los cambios oncocíticos o mucinosos en el epitelio y ocasionalmente pueden ser predominantes. Algunos autores proponen que en estos casos el tumor debería ser nombrado como cistoadenoma oncocítico o mucinoso. En ocasiones el diagnóstico diferencial histopatológico es complejo, discriminando en la identificación de infiltrado en el parénquima de la glándula salival o alrededor del tejido conectivo con epitelio quístico o sólido8. En ambos casos presentados no se observaron atipias celulares o mitosis, ni tendencia a infiltración local de células en nidos rodeando el estroma. La apariencia clínica del segundo caso, se explica a través de la histopatología encontrada, con la presencia de una gran cavidad quística, que justifica su consistencia fluctuante y color azulado.
Entre los diagnósticos diferenciales histológicos están el quiste de retención mucosa o ectasia ductal, pero que a diferencia del cistoadenoma, solo está formado por una cavidad quística5; el Tumor de Warthin, también conocido como Cistoadenoma papilar linfomatoso, pero que a diferencia del cistoadenoma, contiene abundantes folículos linfoides asociados al epitelio tumoral1. Respecto a las variantes malignas, deben ser distinguidos del cistoadenocarcinoma mucinoso y el carcinoma mucoepidermoide de bajo grado5.
La cirugía es el tratamiento por excelencia para el cistoadenoma y la mayoría de los casos se tratan con una excisión quirúrgica simple, pero con la profundidad suficiente para llegar hasta el tejido glandular, asegurándose de eliminar toda la lesión. La recurrencia en el sitio quirúrgico se ha reportado en algunas ocasiones, pero en general se considera que es debido a la extirpación parcial de la lesión14. En los casos mencionados, las lesiones tenían en el primer caso una cápsula delgada y en el segundo ausencia de cápsula, lo que dificultó la extirpación, ya que ambas biopsias presentaron compromiso del borde quirúrgico. Por esto, es importante la comunicación entre anatomo patólogo y cirujano, y mantener un seguimiento exhaustivo de estos pacientes dependiendo de la localización del tumor y su tamaño.
Conclusión: Los tumores en paladar deben siempre considerar entre sus hipótesis diagnósticas neoplasias de glándulas salivales, benignas o malignas, por lo que realizar estudios imagenológicos y biopsia es fundamental. Además es importante que exista una buena comunicación entre el equipo tratante. Anatomo patólogo, cirujano y radiólogo deben trabajar en conjunto para llegar a un correcto diagnóstico y tratamiento exitoso. El cistoadenoma es poco frecuente en esta localización, corresponde a una neoplasia benigna y se deben mantener controles por riesgo de recidiva.
* Correspondencia Autor: Andrea Paz Maturana-Ramírez | Departamento de Patología y Medicina Oral | Dirección: Olivos 943, Independencia, Santiago, Chile. 8380492. | Tel: +56229781707 | E-mail: andreamaturanar@gmail.com




