CLINICAL CASE
Received: 04 October 2020
Revised document received: 04 October 2020
Accepted: 08 November 2020
DOI: https://doi.org/10.4067/S2452-55882022000200152
ABSTRACT: Ludwig’s angina and necrotizing fasciitis are aggressive infectious manifestations that can present in the cervicofacial region. The severity of these entities depends, up to some extent, to the immunological state of the patient. Diabetes mellitus alters the immune system, allowing maxillofacial infections to progress aggressively. Bacillius spp. is a group of typically innocuous bacteria; however, they can unchain relevant infectious pathologies in immunocompromised patients. The purpose of this study is to describe a case of an uncontrolled diabetic patient with a Ludwig’s angina which progressed to a massive necrotizing fasciitis caused by bacillius spp. Explaining the severity of this class of infections and the special attention that should be paid to this type of case; Furthermore, when the culture reveals pathogens that are usually not involved in the development of this class of conditions.
KEY WORDS: Ludwig’s angina, Necrotizing fasciitis, Bacillus spp.
INTRODUCTION
Ludwig’s angina (LA) and necrotizing fasciitis (NF) are life-threatening complications of cervicofacial infections. In LA, the polymicrobial flora causes an aggressive form of cellulitis extending to the submandibular and submental areas bilaterally. NF is characterized by a progressive lysis and necrosis of the fasciae, usually leaving the muscular plane unharmed. Both entities create an important systemic toxicity and expand rapidly through the fascial spaces1. The immunological state greatly affects the severity of LA and NF, and diseases like diabetes mellitus (DM) are known for immunosuppressing the patient and allowing aggressive progressions of maxillofacial infections2. Bacteria commonly found in these infections include streptococcus spp, staphylococcus spp, klebsiella pneumoniae3, and in exceptional cases, bacillius spp can cause severe infections due to the production of necrotizing exotoxins. On a systemic level, the different consequences of these infections can evolve into a multiorgan failure, leading to the death of the patient4. In the following case report, we present an odontogenic NF in a diabetic patient; caused by bacillus spp. whose clumsy evolution led to death. Explaining the severity of this class of infections and the special attention that should be paid to this type of case; Furthermore, when the culture reveals pathogens that are usually not involved in the development of this class of conditions.
CASE REPORT
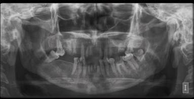
A 25-year-old patient attended presenting a bilateral and painful submandibular, sublingual and submental swelling with 3 days of evolution, associated with dyspnea, dysphagia, and odynophagia. His medical record was remarkable for an uncontrolled type I DM (this for socioeconomic reasons; the patient was not taking insulin therapy on a regular basis). Intraorally, multiple bilateral radicular rests associated with purulent discharge were observed (Figure 1), leading to the diagnosis of LA and thus, hospital admission was decided for a multidisciplinary management along with the internal medicine service. Insulin therapy and fluid-therapy along with an empirical IV triple antibiotic therapy was immediately started (vancomycin, ampicillin + sulbactam, and clindamycin) until culture results could be obtained. Within the first 24 hours of intrahospital stay, the status of the patient worsened: signs of sepsis were observed and the swelling extended to the infraclavicular area bilaterally. Also, areas of NF appeared in the submandibular and submental regions (Figure 2). Hence, on a first surgical intervention under general anesthesia, a surgical drainage along with debridement of the necrotic areas and extraction of the non-vital teeth was performed. The excised tissue was sent for histopathological analysis, confirming the diagnosis of NF and ruling out other entities like mucormycosis. A culture of the drained secretion was processed, revealing a moderate amount of bacillius spp sensitive to meropenem. After the intervention, the patient was immediately translated to the ICU and his status had a mild improvement.


24 hours later, however, the patient developed a diabetic ketoacidosis with septic shock, and the areas of NF kept extending through the neck and supraclavicular regions (Figure 3). A second surgical intervention along with the thoracic surgery service was decided and another surgical debridement was performed, showing the massive and deep extension of the infection, even involving muscular and vascular structures (Figure 4). 36 hours after the procedure, the patient died due to a multiorgan failure.


DISCUSSION
Several studies associate LA with NF. Kavarodi et al.1 reported the evolution of an LA into a cervicofacial NF on a 28-year-old male diabetic patient, describing the important role of diabetes in this process. Ferrero et al.5 studied the relevance of a rapid diagnosis of NF correlating the clinical characteristics with the histopathology, which should show a polymorphonuclear infiltrate of the dermis and fascia, fibrinoid thrombosis and angeitis with necrosis of the vascular walls, as found in our case. Regarding the bacteriological aspect, these infections include a mixed polymicrobial flora, predominantly anaerobic, with some species like streptococcus viridans for LA and streptococcus spp, staphylococcus spp and klebsiella pneumoniae for NF6,7,8. In our case, the result of the culture showed a moderate amount of bacillius spp, which is normally found on the ground, and its virulence is due to the production of toxins and its capsule9. Although the majority of these species are considered saprophytic, recent medical investigations have described a progressive number of infections caused by bacillius spp, especially in immunocompromised patients. Pigrau and Larrosa4, describe most of the infections caused by these species being of mild nature, but in some cases, they can produce an extensive fascial and muscular destruction. We could not find any studies about a cervicothoracic NF related to bacillius spp, being able to find us before the first described in the literature.
For the treatment of this pathology, the most proposed approach is an aggressive surgical debridement of the necrotic tissue along with antibiotic therapy5, just as performed in our case. Such debridement should be done respecting the muscular plane, which is not commonly affected by the infection due to its high vascularity. Nevertheless, the platysma muscle of the patient presented in this study was completely compromised and some areas of the inferior border of the mandible were exposed.
Odontogenic infections can evolve into severe complications such as LA and NF which in turn can progress into the death of the patient and, thus, they should not be underestimated; a proper diagnosis and management ought to be done as soon as possible especially in patients with alterations of their immune system. Also, species such as bacillius spp, often considered as innocuous, should be taken into consideration when managing this kind of cases.
References
Kavarodi AM. Necrotizing fasciitis in association with Ludwig’s angina - A case report. Saudi Dent J. 2011; 23:157-160.
Gordon N, Connelly S. Management of head and neck infections in the immunocompromised patient. Oral Maxillofac Surg Clin North Am. 2003;15(1):103-10.
Zheng L, Yang C, Zhang W, Cai X, Kim E, Jiang B. et. al. Is there association between severe multispace infections of the oral maxillofacial region and diabetes mellitus? J Oral Maxillofac Surg. 2011;70:1565-72.
Pigrau S, Larrosa E. Infecciones por Corynebacterium spp. y Bacillus spp. Medicine. 2006;9:3274-81.
Ferrer Y, Oquendo P, Aslin L, Morejón Y. Diagnosis and treatment of necrotizing fasciitis. Medisur. 2014; 12:365-76.
Sebastian A, Antony P, Mathew J, Arun B, Jubin S, Abraham K. Institutional microbial analysis of odontogenic infections and their empirical antibiotic sensitivity. J Oral Biol Craniofac Res. 2019; 9:133-38
Ogle OE. Odontogenic Infections. Dent Clin North Am. 2017; 61(2):235-52.
Nagaveni N, Umashankara U. Microflora of Orofacial Space Infections of Odontogenic Origin in Children - A Bacteriological Study. J Interdiscipl Med Dent Sci. 2014; 2:118.
Fernández A, Reina G, Rubio M, Leiva J. Infecciones por Corynebacterium spp., Bacillus spp. y Listeria spp. Medicine . 2018;12(49):2901-9
Notes
Author notes
* Corresponding author: Enmanuel Parra | Department of Oral and Maxillofacial Surgery. Dentistry Service. University Hospital of Maracaibo. 16th Avenue. Zulia, Venezuela. | Telephone number: +584242036077 | Email: enmanuelparra04@gmail.com
Conflict of interest declaration