ABSTRACT: Nowadays, maxillary midline diastema (MMD) can be treated with different multidisciplinary approaches. When restorative dentistry is needed, glass-matrix ceramic materials is one of the best choices, since they present good optical behavior and high survival rates in the anterior dentition. To obtain an adequate interphase, and color integration are one of the main restorative goals, and for that purpose, specific finishing and polishing procedures must be employed to avoid staining and ensure the restoration’s color stability. In the case report presented in this article, a single lithium disilicate ceramic fragment was performed to close a MMD produced by the shape alteration of one of the maxillary central incisors. Also, the finishing and polishing procedure is discussed.
KEY WORDS: Ceramic, Midline diastema closure, Ceramic fragment, Lithium disilicate, Partial laminate veneer.
CLINICAL CASE
Midline diastema closure using a lithium disilicate glass ceramic fragment: increased long-term color stability”
Received: 03 June 2020
Revised document received: 21 October 2020
Accepted: 30 November 2020
Closing a maxillary midline diastema are commonly asked for in the dental office by patients who seek for esthetic treatments. Different options are offered to close the diastema: direct and indirect restorations, ceramic laminate veneers, or partial laminate veneers, also called sectional veneers or ceramic fragments. To correctly treat a MMD, clinicians must be aware of its etiological causes, as well as the multidisciplinary approaches that can be performed1,2.
The progress in dental materials and the knowledge of bonding to dental substrates have made possible to restore MMDs using glass-matrix ceramics with little to no tooth preparation, conserving sufficient dental structure and thus ensuring optimal bonding to enamel, as well as allowing for long-lasting results3. For this purpose, ceramic laminate veneers have demonstrated strength, longevity, biocompatibility, and esthetics, and are also conservative. When a choice is given to the patient, most of them will choose the least amount of tooth structure removal. Patients are highly motivated to have no dental reduction while achieving as many of his treatment goals as possible4.
No-prep veneers is a trendy option due to its tooth structure minimum wear or maximum preservation, however, it has been frequently criticized for some potential limitations including esthetic outcomes and periodontal complications4. Non-prep partial laminate veneers, also called sectional or partial veneers, are a small fragment of glass type ceramic indicated for the treatment and reconstruction of teeth fractures, closing diastemas, re-anatomization of conoid teeth, restoring canine guidance and correcting tooth morphology5. High-quality no-prep veneers or ceramic partial laminate veneers also, can be more challenging to perform than conventional veneers, and a combination of good case selection, margins’ position, adhesive principles, clinical, and technician experience is paramount for a long-term result4.
As ceramic partial laminate veneer restorations do not need for a classical finishing line, the existing adhesive interface may be of concern since there is no clearly visible adaptation between the tooth substrate and the ceramic fragment, leading to possible biofilm accumulation and color pigmentations within the interface5.
Since there is a lack of evidence documented regarding this type of procedure, the following case report describes a step-by-step technique in which a MMD was restored using a lithium disilicate partial laminate veneer in a single maxillary central incisor.
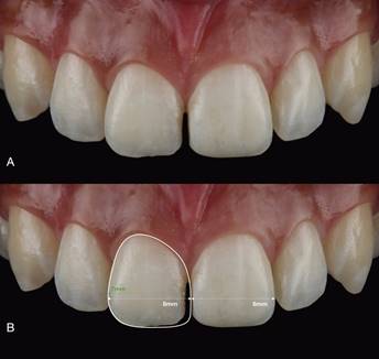
A 27-year-old female patient presented with a chief esthetics complaint produced by the presence of maxillary midline diastema between both upper central incisors. After anamnesis, clinical examination, radiographs, photographs and study stone models, it was concluded by a digital analysis tool the alteration in shape and size of tooth 11 (Fig. 1). After explaining the patient about the advantages and disadvantages of every treatment alternative, it was decided to perform a single ceramic partial laminate veneer to restore tooth 11 in order to close the MMD.

A die model was obtained by a one-step impression with polyvinyl siloxane with two consistencies (Elite HD Putty Soft and Elite HD Light Body, Ivoclar Vivadent), in which a lithium disilicate partial laminate veneer (IPS e.max PRESS, Ivoclar Vivadent) was made using an A1 HT ingot and characterized by cut-back technique with a nanofluorapatite ceramic (Power Enamel, IPS e.max Ceram, Ivoclar Vivadent) (Fig. 2).

The fitting and adjustment of the ceramic restoration was proved clinically using a translucent try-in paste (Variolink Esthetic Try-In Paste Neutral, Ivoclar Vivadent) which also allowed the verification of color integration between the restoration and the tooth enamel surface (Fig. 3A).
Bonding procedure was performed under rubber dam isolation (Fig. 3). Enamel surface was first cleaned with airborne-particle abrasion (Aquacare, Velopex). 35% phosphoric acid was then applied for 30 seconds (Ultra-etch, Ultradent Products Inc.), rinsed-off with water for the same time, and air-dried. A thin layer of a 2-step adhesive system (Optibond S, Kerr) was softly applied and gently air-dried to evaporate the solvents (Fig. 3B). No light curing was performed at this time, leaving the adhesive uncured.

The inner surface of the ceramic restoration was conditioned with 9,5% hydrofluoric acid for 20 seconds (Porcelain Etchant, Bisco), and cleaned with 97% alcohol under ultrasonic bath for 5 minutes. Silane coupling agent was applied and heated at 100ºC for 60 seconds (Monobond Plus, Ivoclar Vivadent), a thin layer of ceramic bonding was applied (Heliobond, Ivoclar Vivadent) and a small amount of resin cement was charged into the conditioned surface (Variolink Esthetic LC Neutral, Ivoclar Vivadent). No light curing was performed at this stage.
Once the teeth surface and the ceramic restoration were conditioned, the restoration was positioned over the tooth using light finger pressure (Fig. 3C). The excesses of resin cement were eliminated using a clean brush. 30 seconds of light curing at low power mode (650 mW/cm2 of intensity, Bluephase, Ivoclar Vivadent, Liechtenstein) was performed to ensure the maintenance of the correct positioning of the restoration, and then a final 60 seconds of high power program (1200 mW/cm2, Bluephase, Ivoclar Vivadent, Liechtenstein) was done to ensure the correct degree of conversion of monomers of the resin cement (Fig. 3D). Resin cement excesses were cleaned with a brush and patient was supposed to be back after a week for polishing, however she did not show up for the control session.
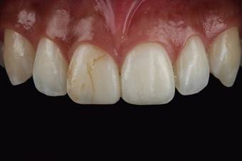
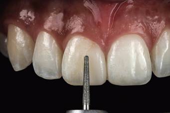
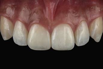
After 3 months of the adhesive luting procedure, ceramic partial laminate veneer margins and the tooth was presented with staining on its surface (Fig. 4), thus, finishing and polishing procedures needed to be performed to bring back the quality and esthetic of the restoration. The finishing procedure started using a diamond bur at high speed to reduce vestibular volume of the restoration (Fig. 5), verifying the maintenance of tooth shape (Komet 8850.314.016), being careful for not touching sound enamel. A coarse diamond wheel for ceramics was used to smoothen the fragment restoration and the interface surface at low speed using soft pressure (Blue Coarse Twist, Diapol® Twist RA, EVE, Germany) (Fig.6A), followed by a medium diamond cup (Medium cup Diapol®, EVE Germany) (Fig.6B) and a fine diamond wheel for surface gloss of the interface (Yellow Coarse Twist, Diapol® Twist RA, EVE, Germany) (Fig.6C). A final image was taken after 18-months for controlling the restoration, showing esthetic margins and perfect color stability (Fig. 7).




Maxillary midline diastemas can be treated with different restorative approaches. The present clinical case described the use of a glass-matrix ceramic partial laminate veneer as a first restorative treatment choice for closing a MMD in a single tooth, since the shape of tooth 1.1 was altered. According to the digital planning, there was no need to restore tooth 2.1.
Direct composite resins for this cases may be a viable option that requires of a highly trained clinician for higher esthetic outcomes. In the presented case, a ceramic partial laminate veneer was chosen because of surface gloss properties maintenance, less biofilm accumulation and less surface degradation. Also, as this case was managed by the laboratory technician through the indirect method, better contact point control could be achieved and also the ceramic characterizations of the incisal edge can be controlled with confidence of the working cast model. Under no circumstances was laminate veneers chosen for this treatment due to the need to prepare the enamel, leading to further removal of healthy enamel unnecessarily.
Due to ceramic partial laminate veneer’s small thickness (0,3 or less), it is possible to restore tooth shape abnormalities with a minimal invasive approach, with little to no tooth preparation. The fact that no tooth structure is removed means intermediate provisional restorations are not required4. Moreover, the failure rate of dentin-bonded veneers is much greater than those bonded to enamel, as this substrate promotes increased strength and long-term durability6. Glass-matrix ceramics are the most used as ceramic partial laminate veneers, which presents higher wear resistance than resin composite materials7, as well as increased maintenance of gloss and luster, color stability and less biofilm accumulation8.
Bonding interfaces from full crowns, used as ceramic partial laminate veneers are different within each other. When dealing with ceramic partial laminate veneers, fitting is performed in undefined margins, thus, it is recommended that the laboratory create slight excesses over the tooth to improve adjustment5, and there is no edge to edge junction from the tooth surface and the restorations, which represents a continuous area of adhesive interface6. Since light-cured adhesive resin cements present low filler charge, staining of the adhesive interface can be expected, as well as wear in the long-term. It has been recommended the use of pre-heated composite resin as luting agent due to its higher filler content, however, its film thickness is greater than from resin cements9, and try-in is not possible as try-in pastes are not available, thus color selection may be a problem9. In the present clinical case, staining of the interface was observed after 3 months of the adhesive luting procedure of the restoration.
The chromatic change observed could be due to hydrolytic degradation of either the adhesive system or the resin cement used for bonding of the ceramic partial laminate veneer10. At the time of luting the ceramic, the water in the system may have been incorporated by hydrophilic groups in the resin cement or adhesive system and cause degradation11. The presence of TEGMA in the materials also contributes to color degradation due to release of large quantities of monomers in an aqueous medium12. The contact of such components with the oral environment, which gets into contact with common colorful foods and drinks, can cause color changes in resinous materials.
Although noticeable unaesthetic staining was observed after a short term period, in the present case, polishing helped on solving the chromatic changes and promoting an initial esthetic situation back again. No-prep veneers are indicated for a selected number of cases only, while a higher number of cases do require some kind of tooth modification and preparation13. Discoloration of adhesive resin cements can be caused by intrinsic or extrinsic factors, such as the material itself, polymerization type, photoinitiator, filler type, beverages and foods. In the present clinical case, after bonding a ceramic laminate veneer, cleaning of the excesses was performed only with a brush, it was previously mentioned that in this situation staining occur more easily, and it can be decreased when the oxygen-inhibited layer of the adhesive resin cement is removed after polymerization by the polishing procedure13.
Finishing the excesses of ceramic over the tooth as well as resin cement and adhesive excesses must be carefully performed with burs, always taking into account to reduce ceramic material and not tooth enamel. Also, as diamond burs leaves irregular and rough surfaces, thus polishing the ceramic and also the interface is mandatory to ensure a smooth and luster surface and it must be performed with diamond for ceramics finishing cups or wheels indicated for the selected ceramic system. It has been emphasized that a small rough surface or minimal porous surface with 0,2 micrometers (Surface Ra Values) could lead to biofilm accumulation in any surface14, turning the once imperceptible interface, now visible. This needs to be controlled in time, and re-polishing must be considered once a year during control appointments to ensure the quality and survival of the restoration.
Finally, occlusion must also be carefully considered, since high stress could be distributed at direct oclusal and inclined forces15, thus, direct contact to the interface must be avoided to ensure the integrity of the restoration.
Ceramic partial laminate veneers, sectional veneers or ceramic fragments are a suitable option to restore maxillary midline diastema with optimal esthetic results when indicated. Bonding procedures must be highly respected to increase survival rates, and polishing procedures must be performed using the correct polishing system indicated for the specific ceramic type selected. The authors strongly indicated that, when performing ceramic fragments, appropriate polishing must be performed in the interface after cementation, and periodic controls and proper maintenance of the restorations must be performed for assurance of long lasting results.
None.
* Corresponding author: Gerardo Durán | Facultad de Ciencias de la Salud, Universidad Arturo Prat, Iquique, Chile. | Email: gerardo.duran.ojeda@gmail.com






